Rectus sternalis—a rare anatomical variation found during mastectomy: report of two cases and literature review
Highlight box
Key findings
• We report two cases of rectus sternalis (RS) found during mastectomy. The first one is found to be bilateral, while the second one is unilateral muscle.
What is known and what is new?
• RS is part of the anterior chest wall musculature. It is rare, however, first described in 1726. In Saudi Arabia, a cadaveric study indicated that the prevalence of RS was 4%, yet the nationality of the cadavers was not described as Saudi Arabian.
• In this article, we report this rare muscle in two Saudi Arabian females.
What is the implication, and what should change now?
• Surgeons and researchers should pay more attention to the muscle, as it can mislead the diagnosis and play a role in reconstructive surgery.
Introduction
Rectus sternalis (RS) is a rare but a normal variant of the anterior chest wall musculature; in humans, it is occasionally found while it is part of the musculature of ruminants and horses (1,2). Although a formal description for it was not established until 1726 by Du Puy, it was reported to be observed for the first time by Cabrolius in 1604 (3). Since then, different names have been used to refer to it, such as RS, musculus sternalis, sternalis brutorum, presternalis, or thoracicus (4). It is mostly observed in Asians with an incidence of 11% (1). In Saudi Arabia, the prevalence was found to be 4% (5).
Surgeons should be attentive to its existence, and it should be considered in the differential diagnosis of breast or anterior chest wall masses. Intraoperatively, having the knowledge of this anatomical variation would ensure complete oncological resection of the breast tissue; and it can be used as coverage for the prosthesis in breast reconstruction surgery.
We report two cases of female right breast cancer undergoing mastectomy. The first case in King Fahad Specialist Hospital-Dammam was found to have bilateral RS anomaly, while the second case in Dammam Medical Complex was discovered to have a right RS. We present this article in accordance with the CARE reporting checklist (available at https://acr.amegroups.com/article/view/10.21037/acr-24-272/rc) (6).
Case presentation
Patient case 1
A 47-year-old premenopausal Saudi Arabian female presented to the Breast Oncology Surgery Department at King Fahad Specialist Hospital in Dammam with right breast mass. There was a mass occupying the whole right breast associated with erythema and with peau d’orange appearance of the skin, an accessory nipple in the inferior mammary line and palpable hard mobile axillary lymph nodes.
Mammogram, ultrasound and magnetic resonance imaging (MRI) for the breast, reported a well circumscribed hypoechoic mass almost involving the entire right breast associated with significant skin thickening, in keeping with locally advanced and multicentric cancer [breast imaging reporting and data system (BIRADS) VI]. Multiple abnormal right axillary lymph nodes with loss of fatty hilum were found, highly suggestive for metastasis. A computed tomography scan of the chest, abdomen, and pelvis (CT-CAP) and bone scan done for staging showed negative for distal metastasis. Core biopsy showed invasive ductal carcinoma, grade 3, estrogen receptor (ER) positive 80%, progesterone receptor (PGR) negative, human epidermal growth factor receptor 2 (HER2) negative (SCORE 1+), antigen Kiel 67 (KI-67) 70% and right axillary lymph node core biopsy confirmed metastatic breast adenocarcinoma.
The patient was labeled as T4N1M0 inflammatory right breast cancer for which she received neoadjuvant systemic therapy followed by a right modified radical mastectomy. Intraoperatively, during shaving the fibrofatty breast tissue off the pectoralis major muscle, we noticed muscle fibers medial and anterior to the pectoralis major muscle, just lateral to the sternum with minimal fibrofatty tissue of the breast obviously seen under it, which had been removed during shaving. After amputating the whole breast, a ribbony in shape, thin muscle parallel to the sternum with fibers running in a perpendicular fashion to the pectoralis major fibers was seen (Figure 1). The seen part was about 12 cm in length and 5 cm in breadth. The origin could not be assessed as it was superior to the margins of the raised flap but the insertion was in the rectus sheath. Then, the radical axillary dissection was carried out as per usual steps. The final surgical pathology report showed pathological complete response in the breast and axilla (ypTisN0).
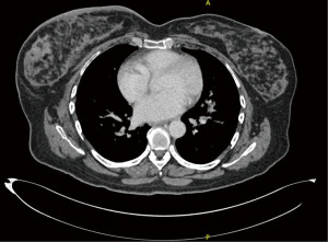
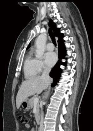
Retrospectively, we reviewed the patient’s mammogram, MRI and CT scan. All the images were consistent with a bilateral RS which is more obvious on the right side as the muscle fibers were longer and wider (Figures 2-4).
Patient case 2
A 50-year-old premenopausal Saudi Arabian woman with no known medical conditions presented to the clinic with one-year history of a right breast mass. One month prior to presentation to the hospital, she noticed nipple retraction but with no associated discharge. The patient’s medical history was unremarkable except for a family history of breast cancer found in two sisters, both diagnosed and treated in their second half of life. On examination of the right breast, a palpable mass was identified from the 8 to 10 o’clock position, measuring approximately 7 cm × 6 cm. It was located close to the skin but showed no evidence of direct invasion, accompanied by nipple retraction. Examination of the right axilla revealed multiple mobile lymph nodes.
Mammography demonstrated an irregular, dense mass with spiculated margins in the upper outer quadrant of the breast, measuring 2.2 cm × 1.2 cm and located 7.4 cm from the nipple. This mass corresponded to a palpable lesion marked by a ball bearing (BB) marker. Adjacent to this was a circumscribed, dense, rounded mass measuring 8.1 cm × 1.4 cm, situated 8.1 cm from the nipple. Prominent right axillary lymph nodes were also noted. Breast ultrasound revealed multiple masses in the 8 to 10 o’clock region, ranging in size from 0.5 to 2.3 cm, along with an enlarged, suspicious right axillary lymph node with a loss of fatty hilum, suggestive of multicentric disease. A staging CT scan showed no evidence of distant metastases. A true-cut biopsy of the right breast mass and axillary lymph nodes confirmed invasive ductal carcinoma with metastatic involvement of the lymph nodes. Biomarker analysis revealed the following results: ER: positive, strong (90% of cells with nuclear positivity), HER2/neu: negative (1+), E-cadherin: positive, and Ki-67: 15–20%.
The tumor board recommended neoadjuvant systemic therapy followed by a right modified radical mastectomy. During the surgery, while shaving the breast off the chest wall, linear muscle fibers were observed running superficial to the pectoralis major and parallel to the sternum (Figure 5). The fibers were found to be inserted into the rectus sheath, but the origin was obscured by fat at the superior medial surgical margin. A right axillary dissection was performed, and the patient recovered in stable condition. Final surgical pathology confirmed invasive ductal carcinoma with negative margins and metastatic involvement in 5 of 8 axillary lymph nodes. The largest metastatic deposit measured 5 millimeters.
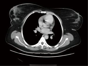
Retrospective review of her imaging revealed the presence of a unilateral RS muscle (Figures 6,7).
All procedures performed in this study were in accordance with the ethical standards of the institutional and/or national research committee(s) and with the Helsinki Declaration and its subsequent amendments. Written informed consent was obtained from the patients for publication of this case report and accompanying images. A copy of the written consent is available for review by the editorial office of this journal.
Discussion
Jelev and colleagues conducted a classification of the sternalis muscle in 2001 (7). They identified eight distinct configurations, featuring numerous variations dependent on the positions of muscle bodies and their points of attachment. Among these, four variants fall under type I, characterized by attachments solely to the lower ribs on one side of the chest, even when clavicular attachments are present bilaterally. The remaining four type II variants consistently exhibit attachments to the lower ribs on both sides of the chest, often extending across to attach to the contralateral clavicle. In the first described case, we found the patient fitting type II of Jelev et al.’s classification, while the second fit type I.
A study published in 2023 presented a rare case of bilateral sternalis muscles alongside the absence of the sternocostal part of the right pectoralis major muscle and a high origin of the pectoralis minor. The RS on both sides arose as fleshy fibers from the right external abdominal oblique muscle aponeurosis (8). Previous cases published in 2024 and 2021 described other presentations of the muscle: one as a bilateral branched muscle with medial and lateral slips, and the other as a unilateral branched muscle, respectively. One of the cases did not fit into any previously established classifications of the sternalis muscle, leading to the proposal of a modified classification system to encompass new branching patterns (9,10).
The sternalis rectus muscle is present in only 3–5% of humans and is found in a similar percentage (5–8%) in both sexes (1). The muscle receives its nerve supply from the internal or external thoracic or pectoral nerves in 55% of cases, intercostal nerves in 43%, and both in 2% of cases (11,12). Raikos et al. reported its presence more commonly unilaterally than bilaterally, with prevalence rates of 4.5% and 1.7%, respectively (11). The RS muscle is considered functionally inactive, as described by Mehta et al. (13). However, some researchers suggest that it contributes to chest wall movement during respiration (10).
The muscle is located between the anterior thoracic fascia and the pectoral fascia (14), originates from the sternum or infraclavicular area, and inserts into the rectus sheath, lower ribs, costal cartilages, or external oblique aponeurosis (11,15).
To our knowledge, only a few studies have investigated the RS in Saudi Arabia (5,16,17). Notably, none of these studies mentioned the nationality of the cadavers in whom the muscle was observed as Saudi Arabian. A study conducted in Riyadh, published in 2002, found that among 75 cadavers and 1,580 mammogram images, the muscle was identified bilaterally in only two male cadavers and unilaterally in one female cadaver. None of the mammogram cases showed a positive RS. The prevalence was calculated to be about 4% (5).
The innervation of the RS was initially believed in 1901 to arise from pectoral nerves (3,18). However, a 2004 study from Saudi Arabia reported, after dissecting 130 cadavers of German nationality, that two cadavers had bilateral RS with nerve supply from anterior cutaneous branches of the intercostal nerve, with no branches from the pectoral nerve. The incidence in German cadavers was 1.54% per body examined (17), compared to 4% in cadavers from Saudis (5). These findings highlight the need for further studies, particularly among native Saudis.
In our daily work as oncoplastic surgeons, we may receive referrals for patients presenting with chest wall swellings or perplexing mammographic findings, potentially attributed to the rarely seen RS muscle. This muscle can be misdiagnosed as a tumor on screening mammography or as a recurrence of breast cancer during routine follow-up after treatment (1,19). In such cases, MRI or CT imaging is essential for diagnostic clarity. Moreover, when identified in a cancer patient, the muscle holds significant clinical importance. If detected before surgery, it could serve as a valuable resource for reconstruction. Additionally, awareness of its presence is crucial during radiation therapy, as it influences the depth required for internal thoracic node radiation (1,11).
In terms of clinical significance, despite comprehensive documentation in medical literature and recognition by experienced anatomists, there is a lack of awareness of this muscle among healthcare professionals, including physicians, surgeons, oncologists, and radiotherapists, who manage anterior chest wall conditions (20). Bailey et al. conducted a survey involving physicians, medical students, surgeons, and faculty from various disciplines and discovered that this muscle was largely unfamiliar to them (19). This limited awareness can be attributed to the inadequate coverage of this muscle in most standard anatomical textbooks. However, as advanced diagnostic techniques and treatment options continue to emerge, the significance of this muscle has gained greater attention.
Conclusions
Comprehending the existence of the infrequent RS muscle can assist in dispelling any diagnostic concerns related to anterior chest wall tumors and breast cancer diagnosis and guide the determination of radiation therapy depth for patients with cancer. Additionally, it can hold potential value in surgical reconstructions for breast or head and neck procedures.
Acknowledgments
None.
Footnote
Reporting Checklist: The authors have completed the CARE reporting checklist. Available at https://acr.amegroups.com/article/view/10.21037/acr-24-272/rc
Peer Review File: Available at https://acr.amegroups.com/article/view/10.21037/acr-24-272/prf
Funding: None.
Conflicts of Interest: All authors have completed the ICMJE uniform disclosure form (available at https://acr.amegroups.com/article/view/10.21037/acr-24-272/coif). The authors have no conflicts of interest to declare.
Ethical Statement: The authors are accountable for all aspects of the work in ensuring that questions related to the accuracy or integrity of any part of the work are appropriately investigated and resolved. All procedures performed in this study were in accordance with the ethical standards of the institutional and/or national research committee(s) and with the Helsinki Declaration and its subsequent amendments. Written informed consent was obtained from the patients for publication of this case report and accompanying images. A copy of the written consent is available for review by the editorial office of this journal.
Open Access Statement: This is an Open Access article distributed in accordance with the Creative Commons Attribution-NonCommercial-NoDerivs 4.0 International License (CC BY-NC-ND 4.0), which permits the non-commercial replication and distribution of the article with the strict proviso that no changes or edits are made and the original work is properly cited (including links to both the formal publication through the relevant DOI and the license). See: https://creativecommons.org/licenses/by-nc-nd/4.0/.
References
- Katara P, Chauhan S, Arora R, et al. A unilateral rectus sternalis muscle: rare but normal anatomical variant of anterior chest wall musculature. J Clin Diagn Res 2013;7:2665-7. [Crossref] [PubMed]
- Petto AJ, Zimmerman DE, Johnson EK, et al. Exploring Anatomic Variants to Enhance Anatomy Teaching: Musculus Sternalis. Diagnostics (Basel) 2020;10:508. [Crossref] [PubMed]
- Kida MY, Izumi A, Tanaka S. Sternalis muscle: topic for debate. Clin Anat 2000;13:138-40. [Crossref] [PubMed]
- Loukas M, Bowers M, Hullett J. Sternalis muscle: a mystery still. Folia Morphol (Warsz) 2004;63:147-9.
- Saeed M, Murshid KR, Rufai AA, et al. Sternalis. An anatomic variant of chest wall musculature. Neurosciences (Riyadh) 2002;7:248-55.
- Gagnier JJ, Kienle G, Altman DG, et al. The CARE Guidelines: Consensus-based Clinical Case Reporting Guideline Development. Glob Adv Health Med 2013;2:38-43. [Crossref] [PubMed]
- Jelev L, Georgiev G, Surchev L. The sternalis muscle in the Bulgarian population: classification of sternales. J Anat 2001;199:359-63. [Crossref] [PubMed]
- Shekhawat D, Kumar D, Tubbs RS. Bilateral Sternalis Muscle With the Absence of Unilateral Sternocostal Part of the Pectoralis Major and Variation of Pectoralis Minor Muscles. Cureus 2023;15:e41653. [Crossref] [PubMed]
- Bahgat M, Khan AS, Alsemeh AE. Sternalis Muscle: A Cadaveric Case Report of a Rare Variant With Multiple Branching. Cureus 2024;16:e68263. [Crossref] [PubMed]
- Sahoo S, Banik S. Unilateral Sternalis With Double Slips: An Astounding Muscle, Often Unnoticed and Unknown. Cureus 2021;13:e14185. [Crossref] [PubMed]
- Raikos A, Paraskevas GK, Tzika M, et al. Sternalis muscle: an underestimated anterior chest wall anatomical variant. J Cardiothorac Surg 2011;6:73. [Crossref] [PubMed]
- O’Neill MN, Folan-Curran J. Case report: bilateral sternalis muscles with a bilateral pectoralis major anomaly. J Anat 1998;193:289-92. [Crossref] [PubMed]
- Mehta V, Arora J, Yadav Y, et al. Rectus thoracis bifurcalis: a new variant in the anterior chest wall musculature. Rom J Morphol Embryol 2010;51:799-801.
- Zaher W, Darwish H, Abdalla A, et al. Pakistan Journal of Medical Sciences. 2009 [cited 2024 Dec 9]. Sternalis: A Clinically Important Variation. Available online: https://www.pjms.com.pk/issues/aprjun109/article/casereport2.html
- Vaithianathan G, Aruna S, Rajila RH, et al. Sternalis “mystery” muscle and its clinical implications. Ital J Anat Embryol 2011;116:139-43.
- Ibrahim AF, Makarem SA, Darwish HH. Bilateral sternalis muscles. Neurosciences (Riyadh) 2005;10:171-3.
- Motabagani MA, Sonalla A, Abdel-Meguid E, et al. Morphological study of the uncommon rectus sterni muscle in German cadavers. East Afr Med J 2004;81:130-3. [Crossref] [PubMed]
- Kida MY, Kudoh H. Innervation of the sternalis muscle accompanied by congenital partial absence of the pectoralis major muscle. Okajimas Folia Anat Jpn 1991;67:449-55. [Crossref] [PubMed]
- Bailey PM, Tzarnas CD. The sternalis muscle: a normal finding encountered during breast surgery. Plast Reconstr Surg 1999;103:1189-90. [Crossref] [PubMed]
- Cherian SB, Gandhalam AJ. Rectus sternalis muscle: An anatomical variant of anterior chest wall Rectus sternalis muscle: An anatomical variant of anterior chest wall. OA Anatomy 2014;2:16.
Cite this article as: Alarfaj L, Almass AA, Takrouni A, Alajmi S. Rectus sternalis—a rare anatomical variation found during mastectomy: report of two cases and literature review. AME Case Rep 2025;9:150.

