Autoimmune enteropathy in adults: a case report and literature review
Highlight box
Key findings
• In patients with chronic diarrhea for more than 6 weeks and endoscopic indications of diffuse atrophy, experimental corticosteroid therapy may aid the diagnosis of autoimmune enteropathy (AIE) after failure of a gluten-free diet and exclusion of infectious enteritis or drug-induced enteritis.
What is known and what is new?
• AIE is a rare intestinal disorder with an unidentified etiology, characterized by an incidence rate of <1/100,000. It predominantly affects infants under 6 months of age. Diagnostic criteria in adults include: chronic diarrhea persisting for more than 6 weeks; malabsorption; histologic evidence of partial or complete villous atrophy; and the exclusion of other causes of villous atrophy.
• Patients with AIE should be treated with corticosteroid therapy as early as possible, and immunosuppressants should be considered when steroid resistance occurs. Prophylactic measures against corticosteroid-related complications (e.g., opportunistic infections) are essential.
What is the implication, and what should change now?
• Diagnosis of AIE remains challenging and requires a multidisciplinary approach, integrating clinical history, symptomatology, endoscopic findings, histopathology, and serological testing. Key clinical clues include refractory diarrhea unresponsive to dietary modifications and endoscopic evidence of villous atrophy, which should prompt consideration of AIE.
• Early recognition of AIE’s clinical and pathological features is critical for timely intervention. Long-term follow-up is essential to monitor disease progression, detect complications, and refine therapeutic strategies.
Introduction
Autoimmune enteropathy (AIE) is a rare disease characterized by refractory diarrhea, severe malabsorption, a lack of dietary rejection, atrophy of small intestinal villi, and immune-mediated intestinal mucosal damage (1,2), with a prevalence of usually <1/100,000 (3). In 1982, Walker-Smith and Unsworth first reported a case of an infant with clinical manifestations similar to those of celiac disease (CeD) but who could not be effectively treated with a gluten-free diet (GFD), they also reported that the disease was a hallmark type of immunoregulatory polyendocrinopathy enteropathy X-linked (IPEX) syndrome (4). In 2001–2006, Akram et al. (1) summarized the symptoms of 15 adult AIE patients and proposed a comprehensive set of diagnostic criteria for adults: chronic diarrhea lasting >6 weeks, malabsorption, specific small intestinal tissue features, including partial or complete villus atrophy and exclusion of other causes of villous atrophy. In 2018, a larger case study of 30 adult AIE patients conducted at the Mayo Clinic reported that characteristic histological findings and the absence of villous atrophy due to other causes are the main criteria for diagnosing AIE, and that the presence of anti-enterocyte antibodies (AEAs) and/or anti-goblet cell antibodies (AGAs) is not necessary for diagnosis (5). Adult AIE is often initially misdiagnosed as refractory CeD (RCD), and is also challenging to diagnose in patients with other types of villus atrophy and seronegative enteropathies because they all clinically present with malabsorption syndrome and have overlapping histopathological features (6). Currently, the main treatments for AIE include total parenteral nutrition combined with corticosteroids or immunomodulators (IMs) (7). However, approximately 2/3 of patients are dependent on or refractory to steroid treatment. Some patients even experience serious adverse reactions such as systemic infections (1). Given the rarity of AIE, a definitive diagnosis remains challenging, and there may be a significant delay between initial onset and the implementation of appropriate treatment. Knowledge of the clinical features and histopathology of AIE can facilitate timely diagnosis and improve long-term prognosis and survival (8). In this article, we report a case of AIE in an adult patient with intractable diarrhea and severe malnutrition, and highlight the diagnostic and therapeutic challenges associated with this disease. We present this article in accordance with the CARE reporting checklist (available at https://acr.amegroups.com/article/view/10.21037/acr-25-24/rc).
Case presentation
Chief complaints
A 60-year-old man was admitted to the Department of Gastroenterology at Nanjing Drum Tower Hospital due to intermittent abdominal pain with weight loss for more than a year.
History of present illness
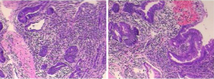
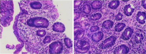
Beginning in October 2022, the patient experienced intermittent dull abdominal pain, which was relieved after defecation. At that time, the patient did not pay attention to the issue. In August 2023, the patient experienced edema in both lower extremities, which gradually worsened and was accompanied by fatigue and weight loss. In the previous year, the patient’s weight decreased by approximately 20 kg. During the course of the disease, the patient also experienced diarrhea with bloody stools (bright red in color, 1–2 times/day), which improved on its own after 4–5 days. In September 2023, a computed tomography (CT) scan of the abdomen and pelvis revealed thickening of multiple segments of the small intestine wall and multiple enlarged lymph nodes in the mesenteric area. Inflammatory changes were observed, and Crohn’s disease (CD) could not be ruled out. Gastroscopy revealed chronic nonatrophic gastritis with erosion and hiatal hernia of the esophagus. Colonoscopy revealed colorectal inflammation with multiple hyperplastic polyps. Concurrent pathological analysis revealed chronic inflammation of the gastric antrum mucosa, Helicobacter pylori (HP) (−), and hyperplastic polyps in the sigmoid colon. On October 17, 2023, the patient was admitted to our hospital for the first time. Laboratory tests revealed increased monocyte and eosinophil counts, decreased hemoglobin (Hb) level, no ova in the stool, fecal calprotectin (Fcal) concentration >1,000 µg/g, hypoalbuminemia, and electrolyte disturbance. Prostate-specific antigen (PSA), cancer antigen 125 (CA125), and cancer antigen 724 (CA724) levels were elevated, and the cytomegalovirus (CMV), Epstein-Barr virus (EBV), T-cell spot test (T-SPOT), autoantibody, and Clostridium difficile toxin assays yielded negative results. Double-balloon enteroscopy revealed congestion and edema of the small intestinal mucosa, atrophy of the villi, and white lichen-like hyperplasia in part of the mucosa. The villi grew in clusters locally, and the biopsy site was prone to bleeding. White chyle-like liquid was attached to the intestinal lumen, suggesting the presence of small intestinal mucosal lesions [possibly indicating follicular lymphoma (FL) or CD] (Figure 1). Concurrent pathological analysis revealed diffuse and obvious atrophy of villi in multiple segments of the small intestine, with lymphocytic infiltration in the intestinal glands and the absence of tumors (Figure 2). Considering the patient’s medical history and histological features, the possible diagnoses were dysplastic mucosal atrophy, CD, and chronic infectious enteritis. Immunohistochemistry was performed on biopsy samples, and the results were as follows: CMV (−); in situ hybridization EBV-encoded small RNA (EBER) (−); negativity for the special stains Grocott’s methenamine silver (GMS) and periodic acid-Schiff (PAS); and no evidence of CMV, EBV, or fungal infection. A diagnosis of CD was not supported. The small intestinal mucosa in the biopsy sample was significantly atrophied, and for the time being, dystrophic intestinal mucosal atrophy was considered. After beginning with a GFD, albumin (ALB) supplementation, and electrolyte maintenance, there was no improvement in the patient’s condition. Mesalazine was then used to control inflammation, the patient’s abdominal pain and diarrhea improved and he was discharged from the hospital. On November 2, 2023, the patient was readmitted due to worsening abdominal pain with diarrhea. He had loose yellowish watery stools (an average of 4–5 times/day, volume of approximately 2 L/day). His weight had dropped 6 kg since his last hospitalization.
History of past illness
The patient had hypertension for more than 10 years and was previously treated with sustained-release nifedipine tablets. He denied taking olmesartan, a history of autoimmune diseases, or a history of food and drug allergies.
Personal and family history
The patient had a smoking history of more than 30 years (more than 10 cigarettes per day). There was no family history of inherited diseases.
Laboratory examinations
Upon admission: the red blood cell (RBC) count was 3.74×1012/L, the Hb concentration was 112 g/L, the absolute monocyte count was 1.2×109/L, and the absolute eosinophil count was 0.54×109/L. Liver and kidney function were normal, with an ALB concentration of 26.5 g/L, Ca2+ level of 1.91 mmol/L, K+ level of 3.45 mmol/L, and C-reactive protein (CRP) level of 20.3 mg/L.
Before corticosteroid therapy: the RBC count was 3.68×1012/L, the Hb concentration was 110 g/L, the platelet (PLT) count was 362×109/L, the absolute monocyte count was 1.0×109/L, and the absolute eosinophil count was 0.01×109/L. The alanine aminotransferase (ALT) level was 212.2 U/L, the aspartate aminotransferase (AST) level was 169.6 U/L, and the ALB level was 27.4 g/L. Renal function was normal, and the Ca2+ level was 1.99 mmol/L.
After corticosteroid therapy: the RBC count was 4.16×1012/L, the Hb concentration was 128 g/L, the white blood cell (WBC) count was 12.3×109/L, the absolute neutrophil count was 7.7×109/L, the absolute monocyte count was 2.1×109/L, and the level of ALB was 27.3 g/L. Liver and kidney functions and electrolyte levels were normal.
Antibody spectrum tests for gastrointestinal diseases were performed, and the results were as follows: gliadin immunoglobulin A (IgA) (+), gliadin immunoglobulin G (IgG) (+), tissue transglutaminase IgA (−), tissue transglutaminase IgG (−), anti-Saccharomyces cerevisiae IgA (−), anti-Saccharomyces cerevisiae IgG (−), intrinsic factor IgG (−), and gastric parietal cell IgG (−).
Imaging examinations
Transanal electronic enteroscopy (November 3, 2023): as shown in Figure 3, the scope was advanced approximately 40 cm into the ileum, revealing a single 1.5-cm ileal ulcer with surrounding intestinal mucosal edema. No space-occupying lesions were identified. The ileocecal valve exhibited a characteristic lip-like morphology. Additionally, diffuse mucosal edema was observed in the colon, with scattered 0.3–0.6 cm granular elevations.
Pathological biopsy (November 7, 2023): as shown in Figure 4, active chronic enteritis with ulceration was observed in the distal ileum, while the sigmoid colon exhibited chronic active enteritis.
Standing abdominal plain film (November 7, 2023): no strong gas was observed below the diaphragm; however, dilated intestinal gas and local gas-liquid were observed in multiple regions.
Three-dimensional (3D) reconstruction of the small intestine by CT (November 7, 2023): mild local thickening of the ileal intestinal wall (up to about 5 mm thick), no changes in intestinal stricture, mild enlargement of the lymph nodes at the root of the mesentery( maximum short diameter of approximately 12 mm), a mass at the junction of the body and neck of the pancreas, mild dilatation of the intrahepatic bile ducts, multiple cysts in the liver, calcified lymph nodes in the hepatic portal area, cyst in the left kidney, thickening of the bilateral adrenal glands, and an enlarged prostate with calcifications.
CT angiography (CTA) of the superior mesenteric artery (November 7, 2023): the superior mesenteric artery and vein were normally shaped, with no obvious filling defects or dilatations, and no comb sign observed.
Treatment
After mesalazine was used to control inflammation and nutritional supplementation, the patient’s abdominal pain and diarrhea symptoms did not improve. After discussion of the difficult case, corticosteroid therapy was given on an experimental basis [November 8, 2023–November 13, 2023: methylprednisolone, 40 mg intravenous (iv) every 12 h; November 13, 2023–November 16, 2023: prednisone acetate tablets, 25 mg per os (po) twice a day (bid); November 16, 2023–November 23, 2023: methylprednisolone, 40 mg iv every day (qd)], supplementary treatments included electrolyte maintenance, and infusion of immunoglobulin (November 9, 2023–November 13, 2023) to enhance immunity.
Outcome and follow-up
After 16 days of corticosteroid therapy, the patient experienced no episodes of abdominal pain, and diarrhea 1 time/day, gradually decreasing to less than 0.5 L/day. On November 24, 2023, the patient was treated with a hormonal sequential therapy, including methylprednisolone (40 mg iv qd). During this period, the patient experienced intermittent bloody stools; therefore, beginning on December 4, 2023, the patient was given 40 mg of methylprednisolone (iv every 12 h) for intensive treatment. Later, the patient experienced severe abdominal pain and a high fever, with a peak temperature of 39.3 ℃. Scattered red spots and blisters were observed on the skin of the trunk, some of which were distributed in a circular pattern. On December 8, 2023, the patient was readmitted to our hospital. Laboratory tests revealed severe electrolyte imbalance, a pronounced increase in inflammatory parameters, and blood culture indicating Pseudomonas aeruginosa-related sepsis. The skin erythema was suspected to be linear IgA bullous dermatosis. Given that the patient could not tolerate enteral nutrition, he was given 40 mg of methylprednisolone (iv qd) combined with total parenteral nutrition support and targeted infection treatment. However, the therapeutic effect was not satisfactory. Although we considered the use of infliximab for experimental treatment, the patient refused. Eventually, the patient died of sepsis. The diagnostic and therapeutic process is illustrated in Figure 5.
Ethical statement
All procedures performed in this study were in accordance with the ethical standards of the institutional and/or national research committee(s) and with the Helsinki Declaration and its subsequent amendments. Written informed consent was obtained from patient’s families for the publication of this case report and accompanying images. A copy of the written consent is available for review by the editorial office of this journal.
Final diagnosis
AIE
The main clinical manifestations of AIE are refractory diarrhea, intractable hypoproteinemia, and no response to dietary adjustments. Characteristic histological features include blunted or atrophic villi, an increased number of apoptotic bodies, lymphocytic infiltration of the crypt epithelium, and the absence of goblet cells and Paneth cells. In this case, the patient had chronic diarrhea for >6 weeks, with severe malabsorption. Upon admission, he had severe abdominal pain and diarrhea 4–5 times/day, amounting to approximately 2–2.5 L/day. Repeated tests revealed low ALB levels, and iv ALB infusion was ineffective. After 9 days of corticosteroid treatment, the patient’s abdominal pain and diarrhea improved significantly, with diarrhea occurring 2 times/day, amounting to approximately 1 L/day. However, his abdominal pain worsened again afterward, which was thought to be caused by the reduction in the corticosteroid dose. At the time of discharge, there were no obvious symptoms of abdominal pain, and the patient experienced diarrhea 1 time/day, with a volume of approximately 0.5 L/day. The patient had no evidence of infectious enteritis, CD, CeD, or other causes of villus atrophy. CTA of the superior mesenteric artery ruled out intestinal obstruction, intestinal vascular embolism, etc. Histopathological examination revealed diffuse villus atrophy in multiple small intestinal segments, which could be effectively treated with corticosteroid therapy. On the basis of this patient’s condition, a diagnosis of AIE was made.
Discussion
In recent years, adult AIE has gradually gained attention, but it is still rare. Severe hyperemesis is a symptom of AIE, and patients may experience severe malabsorption and electrolyte abnormalities (9). Singhi et al. (10) reported 14 cases of AIE, and reported that all patients developed chronic refractory diarrhea. Notably, up to 83% of AIE patients may also have one or more other autoimmune diseases, such as autoimmune atrophic gastritis, hypothyroidism, type 1 diabetes, and autoimmune hepatitis (1). AIE is characterized as congestion and swelling of the intestinal mucosa, roughness, fragility and bleeding upon contact under endoscopy, and when large areas of the mucosa are damaged, granular elevations formed by alternating edema and atrophy can be observed. It can also manifest as mucosal peeling, fissure-like, fan-shaped or “mosaic-like” changes, accompanied by shortening or thickening of villi and atrophy of glands. The presence of crypt microabscesses suggests a diagnosis of AIE, although in many cases crypt microabscesses are not present (11). It has also been recognized that immunodeficiency syndromes [hypogammaglobulinemia and common variable immunodeficiency (CVID)] and certain drugs (olmesartan, nonsteroidal anti-inflammatory drugs, and mycophenolate mofetil) can mimic the clinical, serological, and histological features of AIE in adults (12).
The pathogenesis of AIE is still unclear, and it is generally believed that both humoral and cellular immunity play pivotal roles (13). A key mechanistic insight involves FOXP3 gene mutations, which disrupt the regulatory function of T cells. Specifically, aberrant expression or mutations in FOXP3 impair the balance between regulatory T cells (Tregs) and effector T cells, leading to uncontrolled immune activation. This dysregulation results in lymphocytic infiltration, excessive cytokine production, and subsequent direct cytotoxic effects or antibody-dependent cellular cytotoxicity (ADCC) (14). In addition, B-cell abnormalities contribute to AIE pathogenesis, as evidenced by its association with CVID and selective IgA deficiency in some cases (15).
There are currently no standard treatment guidelines for AIE. Improving nutritional status, maintaining electrolyte balance, and preventing complications are crucial. Early immunotherapy can reduce adverse events and mortality. Corticosteroids are often used as first-line drugs for immunotherapy (16). In 2007, the Mayo Clinic reported that approximately 60% of 15 adult AIE patients experienced symptom relief after 1–8 weeks of steroid treatment, but 66.7% of these patients are dependent on or resistant to steroids and require additional IMs to maintain remission (1). Sharma et al. (5) reported a clinical response rate of 85% in 30 adult patients with AIE to 9 mg of budesonide per day over an average follow-up period of 28 months (16). Steroid-resistant AIE requires the use of immunosuppressive agents such as tacrolimus, cyclophosphamide, and methotrexate (17,18). With the advent of biological agents, the outcomes of patients with severe AIE who do not respond to conventional immunosuppressive therapy have improved. Infliximab, adalimumab, vedolizumab, and abatacept are available treatment options (16). Another emerging treatment is the infusion of bone marrow mesenchymal stem cells. However, only one case of its application in adult AIE has been reported (19). In this case, autologous mesenchymal stem cells that had been expanded in vitro were injected into a 61-year-old AIE patient, but only short-term relief of gastrointestinal symptoms was achieved. Finally, when medical treatment is ineffective, surgical intervention can be performed. Currently, small intestine transplantation is considered a possible treatment strategy. In 2020, Soma et al. (20) reported ex vivo small intestine transplantation in a critically ill adult AIE patient for the first time; the treatment was found to quickly restore gastrointestinal absorption in the patient and to successfully cure AIE. Thus, this treatment represents another option for the treatment of refractory critically ill AIE patients.
Conclusions
This case describes a patient who was diagnosed with adult AIE after experimental corticosteroid therapy and exclusionary diagnosis. Although the patient eventually died of a severe infection, a comprehensive understanding of the clinical and pathological features of AIE is essential for early diagnosis and timely treatment. In addition, patients should be followed up and monitored to better understand the course of the disease and detect any new complications or comorbidities and thus, obtain more data and clinical information for the diagnosis and treatment of the disease.
Acknowledgments
None.
Footnote
Reporting Checklist: The authors have completed the CARE reporting checklist. Available at https://acr.amegroups.com/article/view/10.21037/acr-25-24/rc
Peer Review File: Available at https://acr.amegroups.com/article/view/10.21037/acr-25-24/prf
Funding: None.
Conflicts of Interest: All authors have completed the ICMJE uniform disclosure form (available at https://acr.amegroups.com/article/view/10.21037/acr-25-24/coif). The authors have no conflicts of interest to declare.
Ethical Statement: The authors are accountable for all aspects of the work in ensuring that questions related to the accuracy or integrity of any part of the work are appropriately investigated and resolved. All procedures performed in this study were in accordance with the ethical standards of the institutional and/or national research committee(s) and with the Helsinki Declaration and its subsequent amendments. Written informed consent was obtained from patient’s families for the publication of this case report and accompanying images. A copy of the written consent is available for review by the editorial office of this journal.
Open Access Statement: This is an Open Access article distributed in accordance with the Creative Commons Attribution-NonCommercial-NoDerivs 4.0 International License (CC BY-NC-ND 4.0), which permits the non-commercial replication and distribution of the article with the strict proviso that no changes or edits are made and the original work is properly cited (including links to both the formal publication through the relevant DOI and the license). See: https://creativecommons.org/licenses/by-nc-nd/4.0/.
References
- Akram S, Murray JA, Pardi DS, et al. Adult autoimmune enteropathy: Mayo Clinic Rochester experience. Clin Gastroenterol Hepatol 2007;5:1282-90; quiz 1245. [Crossref] [PubMed]
- Masia R, Peyton S, Lauwers GY, et al. Gastrointestinal biopsy findings of autoimmune enteropathy: a review of 25 cases. Am J Surg Pathol 2014;38:1319-29. [Crossref] [PubMed]
- Montalto M, D'Onofrio F, Santoro L, et al. Autoimmune enteropathy in children and adults. Scand J Gastroenterol 2009;44:1029-36. [Crossref] [PubMed]
- Walker-Smith JA, Unsworth DJ, Hutchins P, et al. Autoantibodies against gut epithelium in child with small-intestinal enteropathy. Lancet 1982;1:566-7. [Crossref] [PubMed]
- Sharma A, Choung RS, Wang XJ, et al. Features of Adult Autoimmune Enteropathy Compared With Refractory Celiac Disease. Clin Gastroenterol Hepatol 2018;16:877-883.e1. [Crossref] [PubMed]
- Carvalho AC, Pinho J, Cancela E, et al. Autoimmune Enteropathy: A Rare Cause of Chronic Diarrhea in an Adult Patient. ACG Case Rep J 2023;10:e01009. [Crossref] [PubMed]
- Walter JE, Farmer JR, Foldvari Z, et al. Mechanism-Based Strategies for the Management of Autoimmunity and Immune Dysregulation in Primary Immunodeficiencies. J Allergy Clin Immunol Pract 2016;4:1089-100. [Crossref] [PubMed]
- Umetsu SE, Brown I, Langner C, et al. Autoimmune enteropathies. Virchows Arch 2018;472:55-66. [Crossref] [PubMed]
- Chen CB, Tahboub F, Plesec T, et al. A Review of Autoimmune Enteropathy and Its Associated Syndromes. Dig Dis Sci 2020;65:3079-90. [Crossref] [PubMed]
- Singhi AD, Goyal A, Davison JM, et al. Pediatric autoimmune enteropathy: an entity frequently associated with immunodeficiency disorders. Mod Pathol 2014;27:543-53. [Crossref] [PubMed]
- McCabe P, Alli-Akintade L, Stondell J. Seronegative Adult Autoimmune Enteropathy in a Male Traveler. ACG Case Rep J 2017;4:e19. [Crossref] [PubMed]
- van Wanrooij RLJ, Neefjes-Borst EA, Bontkes HJ, et al. Adult-Onset Autoimmune Enteropathy in an European Tertiary Referral Center. Clin Transl Gastroenterol 2021;12:e00387. [Crossref] [PubMed]
- León F, Olivencia P, Rodríguez-Pena R, et al. Clinical and immunological features of adult-onset generalized autoimmune gut disorder. Am J Gastroenterol 2004;99:1563-71. [Crossref] [PubMed]
- Moes N, Rieux-Laucat F, Begue B, et al. Reduced expression of FOXP3 and regulatory T-cell function in severe forms of early-onset autoimmune enteropathy. Gastroenterology 2010;139:770-8. [Crossref] [PubMed]
- Cunningham-Rundles C, Bodian C. Common variable immunodeficiency: clinical and immunological features of 248 patients. Clin Immunol 1999;92:34-48. [Crossref] [PubMed]
- Gentile NM, Murray JA, Pardi DS. Autoimmune enteropathy: a review and update of clinical management. Curr Gastroenterol Rep 2012;14:380-5. [Crossref] [PubMed]
- Ahmed Z, Imdad A, Connelly JA, et al. Autoimmune Enteropathy: An Updated Review with Special Focus on Stem Cell Transplant Therapy. Dig Dis Sci 2019;64:643-54. [Crossref] [PubMed]
- Daum S, Sahin E, Jansen A, et al. Adult autoimmune enteropathy treated successfully with tacrolimus. Digestion 2003;68:86-90. [Crossref] [PubMed]
- Ciccocioppo R, Russo ML, Bernardo ME, et al. Mesenchymal stromal cell infusions as rescue therapy for corticosteroid-refractory adult autoimmune enteropathy. Mayo Clin Proc 2012;87:909-14. [Crossref] [PubMed]
- Soma D, Saxena R, Arman ME, et al. Isolated Intestine Transplantation for Autoimmune Enteropathy: A Case Report. Transplant Proc 2020;52:2835-8. [Crossref] [PubMed]
Cite this article as: Xu S, Dou X, Wang L, Yu C. Autoimmune enteropathy in adults: a case report and literature review. AME Case Rep 2025;9:99.

