Never too late to treat scoliosis—revision surgery after Harrington rod treatment in idiopathic scoliosis in a 57-year-old female: case report
Highlight box
Key findings
• Secondary changes after Harrington rod instrumentation shouldn’t be treated as a contraindication for surgery.
What is known and what is new?
• Harrington rod was able to correct the curvature in the coronal plane and the Cobb’s angle; however, it didn’t improve the sagittal balance and vertebral rotation. Additionally, posterior spinal fusion with unilateral instrumentation such as Harrington rods often leads to secondary problems below the fused region.
• Reoperation using bilateral instrumentation post-Harrington rod treatment can improve the patient’s symptoms and quality of life. Our case report presents how a reoperation can correct secondary problems caused by unilateral instrumentation and how to approach these patients.
What is the implication, and what should change now?
• As our case report shows, patients with fusion after Harrington rod instrumentation can be treated surgically, and with bilateral posterior spinal fusion can achieve great results and a better quality of life.
Introduction
The Harrington rods were the first implants successfully used to achieve correction in scoliosis patients (1). The implant was composed of a distraction rod with hooks that were placed in a sublaminar manner at the proximal and distal aspects of the scoliotic curvature. The Harrington rod combined with posterior arthrodesis had been a standard surgical treatment for scoliosis before segmental spinal instrumentation and pedicle screws were introduced. However, it could not correct the sagittal balance or the rotation of the vertebrae, opposing modern pedicle screw systems, which provide three-dimensional correction (2). We present a patient previously treated with a Harrington rod who presented with worsening symptoms and surgical management that we proposed. We present this case in accordance with the CARE reporting checklist (available at https://acr.amegroups.com/article/view/10.21037/acr-24-209/rc).
Case presentation
A 57-year-old female presented to the Department of Orthopaedics and Traumatology in Infant Jesus Clinical Hospital with a complicated history of Adolescent Idiopathic Scoliosis. At presentation in 2023, she reported persistent back pain [6/10 Visual Analogue Scale (VAS) at rest, 7/10 while standing] and numbness, both radiating to the left leg, causing gait abnormalities and disabling professional activity. The symptoms began in 2012 and have been progressing. She was prescribed tramadol with paracetamol (300 mg + 3 g/d) and gabapentin 900 mg/d to alleviate pain. Patient was disqualified from surgical treatment by other departments due to obesity, ongoing breast cancer treatment, and spondylodesis of the upper thoracic scoliotic curve—which in turn was considered a contraindication. Past bariatric surgery in 2021, the patient was seeking help for her worsening spinal condition.
At the age of 16 [1983], she presented with a right-sided thoracic curve at 71° Cobb angle and a left-sided thoraco-lumbar curve at 81° and was treated with a distraction Harrington rod from Th4 to L3 and a plaster cast. After five years, there was a significant correction with a Th6-Th11 curve of 49° and a Th12-L3 curve of 46°. The Harrington rod was removed due to a high risk of rod breakage during childbirth.
The patient came to our care in 2021, presenting with back pain, numbness, and pain radiating to the left leg. Due to the ongoing breast cancer treatment and obesity, preoperative conservative care was applied with physiotherapy and a lumbosacral brace with fastening tapes. When her oncological treatment was finished, she underwent bariatric surgery in 2021. Unfortunately, her symptoms were consistent and the lumbar curvature was progressing.
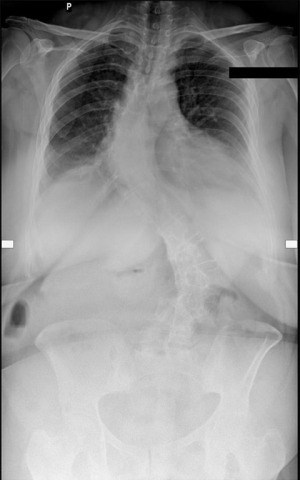
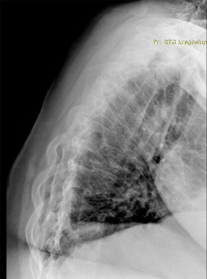
Radiographs obtained in 2023 (Figures 1,2) demonstrated progression of spine deformity with Cobb angle measurements of 60° in the thoracic region and 54° in the thoraco-lumbar spine with vertebral rotation. Computed tomography (CT) and magnetic resonance imaging (MRI) studies revealed fusion of the posterior elements of the vertebrae in Th5-L3, degenerative changes in Th12-L5 with herniated discs L3/L4, L5/S1. Secondary to the scoliosis, the spinal cord was pressed to the right wall of the spinal canal in section Th12-L3 and stenosis of the left intervertebral foramen with compression of the left intervertebral nerves at the level of L3/L4, L4/L5, L5/S1, which accounted for the patient’s neurological symptoms. The patient was diagnosed with type 2 adult scoliosis.
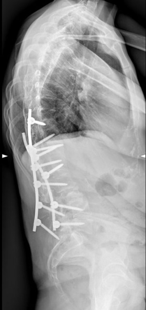
The patient was qualified for surgery due to the progression of the lower curvature and persistent pain. The surgical plan was to perform a posterior spinal fusion in the lumbar region while leaving the upper fused thoracic segment. The fusion levels were determined preoperatively using a “standing X-ray”. MRI was used to determine the spine levels of stenosis in the “flat lying” position as well as root compression at each level. CT was used to confirm the (I) successful fusion in the previously fused levels, (II) determine the entry point and angulation for the screws, (III) check the spine alignment in the lying position and compare it to the standing one in X-ray. Although not performed, the good practice would require determining bone density using H-Score (at least 85) to ensure proper screw purchase and introduction of teriparatide for a 3–6 month period. The patient underwent a Th9-L4 posterior instrumented spinal fusion with correction and derotation using the MESA2 transpedicular screw system with a titanium rod on the right and cobalt-chromium (Co-Cr) on the left. The screws were introduced using “free-hand technique”, fluoroscopy and neuromonitoring checks after each screw. Transverse processes and preoperative CT were used to determine the entry point and screw angulation at each point. The operative and postoperative periods were uneventful. The patient’s postoperative parameters were Cobb’s angle of the lower curve of 47°, sagittal vertical axis (SVA) decreased from 6.5 to 2.5 cm and the coronal balance (CB) from 3 cm right was reduced to 0. Pelvic tilt (PT) changed from 38.5 to 25.5 degrees; the change of sacral slope (SS) remained insignificant. Pelvic incidence-lumbar lordosis (PI-LL) mismatch decreased from 44 to 36.7 degrees.
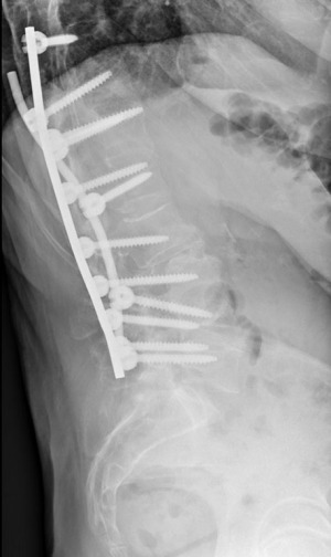
At 3-month post-surgery check-up, X-rays revealed that the spinal instrumentation had dislodged secondary to osteopenia and torsional forces. The left Co-Cr rod, due to its stiffness, which is higher than the titanium rod, was carrying higher forces onto the screws, which pulled the screws from L4 and L3 out of the pedicles (Figure 3). Revision surgery was performed, the loose screws were taken out and replaced in L4 and L5, and a new titanium rod was placed on this side. Cobb’s angle decreased to 42° after the surgery (Figures 4,5). The patient was discharged as no complications occurred.
At follow-up a month after the revision surgery, radiographs showed spinal instrumentation intact. The patient reported that the pain subsided and she no longer had radiating pain to the leg. Her mobility and gait have improved greatly, and she was able to return to work.
A follow-up three months post-revision surgery showed significant improvement. The patient reported no pain at rest and a 2/10 VAS while walking with no radiating pain. She stopped taking opioids and remained only on gabapentin. The patient was very satisfied with the results and was now waiting to start physiotherapy.
At a follow-up nine months post-revision surgery, the patient’s symptoms were stable with no pain at rest and a 2/10 VAS while walking without radiating pain. X-rays revealed the spinal instrumentation to be intact. We’re planning to follow-up with the patient in 6–8 months to monitor her condition.
All procedures performed in this study were in accordance with the ethical standards of the institutional and/or national research committee(s) and with the Helsinki Declaration and its subsequent amendments. Written informed consent was obtained from the patient for the publication of this case report and accompanying images. A copy of the written consent is available for review by the editorial office of this journal.
Discussion
Indications for surgical approach in skeletally immature patients are curves with Cobb angle ≥40° and for skeletally mature patients (I) Cobb angle ≥50°, (II) progression of the curvature as well as (III) pain and (IV) trunk deformities and asymmetry (3). For patients with a curve over 70° Cobb angle, decreased respiratory function should also be taken into consideration. Other relative indications include neurological symptoms such as radicular pain, neurogenic claudication, or other impairments of mobility (4). In the presented case above, all indications for surgery were met. Our main objective was to evaluate and correct the pain-producing pathology and stabilize the lumbar curvature, which was still progressing. As is noted in the literature, after Harrington instrumentation, patients often present with secondary problems below the thoracic fusion. Such as degeneration, spinal stenosis and pain at the transition from the fused segment (5). As the patient presented with a completely fused thoracic curve, the correction had to be carefully thought out (6). The most critical segment to consider was the lumbosacral junction as research shows fusion in this region is the hardest to achieve. It is also anticipated that when spared, this region enables some movement (7). Our decision was to stop the instrumentation at L5, leaving the lumbosacral junction, and monitor the patient. The decision of sparing the L5/S1 segment is controversial, as although we maintained L5/S1 mobility, according to Scoliosis Research Society (SRS) guidelines, fusion should have been extended to S1 and Ilium, which would prevent the screw pull-out and revision surgery. The results were satisfactory with a reduction in Cobb’s angle and sagittal balance, which should ensure the stability of the instrumentation while leaving some movement and mobility in the lumbosacral region (8).
As Harrington rod instrumentation was widely used 50 years ago, patients with secondary changes may still present and need reoperation. In those cases, the age or achieved posterior spinal fusion shouldn’t be treated as a contraindication for surgery. As demonstrated by our case report and literature (7), if reoperated, they can achieve significant improvement. There is a limitation to our study, as most cases are different; even though they may present with similar symptoms, the treatment plan that worked in our case may not be adequate for other patients.
Conclusions
The presented case report indicates that posterior fusion with Harrington rods in juvenile years may cause secondary problems below the fusion and shouldn’t be treated as a contraindication for surgery. As soon as patients meet criteria for surgery (I) Cobb angle ≥50°, (II) progression of the curvature as well as (III) pain and (IV) trunk deformities and asymmetry, they should not be left untreated. As more patients worldwide undergo surgical treatment of juvenile scoliosis, revision surgeries in adulthood—if necessary—should be performed in order not to exclude patients from everyday activities and work, as is presented by our case report.
Acknowledgments
None.
Footnote
Reporting Checklist: The authors have completed the CARE reporting checklist. Available at https://acr.amegroups.com/article/view/10.21037/acr-24-209/rc
Peer Review File: Available at https://acr.amegroups.com/article/view/10.21037/acr-24-209/prf
Funding: None.
Conflicts of Interest: All authors have completed the ICMJE uniform disclosure form (available at https://acr.amegroups.com/article/view/10.21037/acr-24-209/coif). A.Ś. reports cooperation with companies such as Stryker, Medtronic and GlobusMedical on attending meeting, presenting or teaching during events organized by them. Stryker, Medtronic and GlobusMedical are companies producing implants for spine surgery however my cooperation with them had no influence on the type of surgery performed in the described patient. The other authors have no conflicts of interest to declare.
Ethical Statement: The authors are accountable for all aspects of the work in ensuring that questions related to the accuracy or integrity of any part of the work are appropriately investigated and resolved. All procedures performed in this study were in accordance with the ethical standards of the institutional and/or national research committee(s) and with the Helsinki Declaration and its subsequent amendments. Written informed consent was obtained from the patient for the publication of this case report and accompanying images. A copy of the written consent is available for review by the editorial office of this journal.
Open Access Statement: This is an Open Access article distributed in accordance with the Creative Commons Attribution-NonCommercial-NoDerivs 4.0 International License (CC BY-NC-ND 4.0), which permits the non-commercial replication and distribution of the article with the strict proviso that no changes or edits are made and the original work is properly cited (including links to both the formal publication through the relevant DOI and the license). See: https://creativecommons.org/licenses/by-nc-nd/4.0/.
References
- Wattenbarger JM, Richards BS, Herring JA. A comparison of single-rod instrumentation with double-rod instrumentation in adolescent idiopathic scoliosis. Spine (Phila Pa 1976) 2000;25:1680-8. [Crossref] [PubMed]
- Grubb SA, Lipscomb HJ, Suh PB. Results of surgical treatment of painful adult scoliosis. Spine (Phila Pa 1976) 1994;19:1619-27. [Crossref] [PubMed]
- Maruyama T, Takeshita K. Surgery for idiopathic scoliosis: currently applied techniques. Clin Med Pediatr 2009;3:39-44. [Crossref] [PubMed]
- Aebi M. The adult scoliosis. Eur Spine J 2005;14:925-48. [Crossref] [PubMed]
- Vokes J, Menga E, Mesfin A A. 43-Year Follow-Up of Unilateral Harrington Rod Instrumentation and Limited Fusion for Adolescent Idiopathic Scoliosis. Cureus 2021;13:e14299. [Crossref] [PubMed]
- Stephan SR, Hassan FM, Mikhail C, et al. Revision of Harrington rod constructs: a single-center's experience with this homogenous adult spinal deformity population at a minimum 2-year follow-up. Spine Deform 2024;12:1441-52. [Crossref] [PubMed]
- Campos M, Dolan L, Weinstein S. Unanticipated revision surgery in adolescent idiopathic scoliosis. Spine (Phila Pa 1976) 2012;37:1048-53. [Crossref] [PubMed]
- Louie PK, Iyer S, Khanna K, et al. Revision Strategies for Harrington Rod Instrumentation: Radiographic Outcomes and Complications. Global Spine J 2022;12:654-62. [Crossref] [PubMed]
Cite this article as: Wrześniak Z, Kubisa M, Śliwka A, Łęgosz P. Never too late to treat scoliosis—revision surgery after Harrington rod treatment in idiopathic scoliosis in a 57-year-old female: case report. AME Case Rep 2025;9:145.






