Transverse testicular ectopia: a case report on preoperative misdiagnosis in two siblings
Highlight box
Key findings
• Preoperative evaluations and planning should consider the possibility of transverse testicular ectopia (TTE) in children with a diagnosis of cryptorchidism, especially in those with an inguinal mass on the opposite side and those whose siblings have TTE.
What is known and what is new?
• TTE is a rare congenital abnormality. The correct preoperative diagnosis can be easily missed.
• TTE can occur in siblings. Diagnostic laparoscopy should be performed in children with a preoperative diagnosis of cryptorchidism.
What is the implication, and what should change now?
• Clinicians should rule out TTE in children with a preoperative diagnosis of cryptorchidism.
Introduction
Transverse testicular ectopia (TTE), also known as crossed testicular ectopia, testicular pseudo-duplication, unilateral double testis, and transverse aberrant testicular maldescent (1), is a rare congenital abnormality characterized by both testes descending through a single inguinal canal into the same hemiscrotum. Physical examination often reveals unilateral scrotal emptiness with a contralateral inguinal mass (2). TTE is rare condition, with an incidence of approximately 1 in 4 million children (3). Clinical diagnosis of this condition can be challenging, with only approximately 35% of TTE cases diagnosed preoperatively, and another 65% identified during inguinal hernia or cryptorchidism surgery (4). TTE is generally not considered a genetic or inherited disease, and cases of TTE in siblings is presumed to be even rarer, given the lack of available date on published case reports and reviews.
Here, we report the clinical presentation and treatment strategies of two siblings with TTE. Both patients had preoperative misdiagnoses of cryptorchidism and inguinal hernia, and the final TTE diagnosis was confirmed during the laparoscopic evaluations. We wish to share our experiences and remind clinicians not to miss the diagnosis of TTE in siblings. We present this article in accordance with the CARE reporting checklist (available at https://acr.amegroups.com/article/view/10.21037/acr-24-254/rc).
Case presentation
Case 1
In June 2021, a 1-year-old boy was diagnosed with right cryptorchidism and left inguinal hernia. Physical examination revealed a normal testis palpable in the left scrotum, while a soft tissue mass was palpable at the inner ring of the left inguinal canal. Ultrasonography revealed an empty right scrotum, consistent with cryptorchidism. Cystic tissue was observed from the left groin to the middle of the perineum and two testicular echoes, with sizes of 14×9×9 and 13×9×9 mm3, respectively. Color Doppler flow imaging (CDFI) revealed no abnormal blood flow in the left inguinal canal.
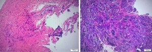
Laparoscopic examination of the child demonstrated patency of the left internal inguinal ring. The left spermatic cord slipped into the left inner inguinal ring, and the right spermatic cord also crossed into the left inner inguinal ring, with the right testis ectopic found to be in the left inguinal canal. Two testes were observed at the left inner ring opening, a follicle-like structure was found on the surface of both testicles (Figure 1A), and the residual Müllerian duct (5×3 mm2) was identified where the left testis and spermatic cord were connected to the right testis and spermatic cord. This was visible on the surface of both poles of the testes (Figure 1B). No other female gonads were identified. Since the bilateral spermatic cord and vas deferens were closely accompanied by Müllerian duct residue, it was considered that resection might damage the testicular blood supply and vas deferens; thus, we decided to retain the Müllerian duct residue. A small 1-cm incision was made in the skin of the left scrotum. By dissociating the deep fascia underneath, the bilateral testes were pulled out (Figure 1C). Testicular fixation was performed through the septum of the scrotum (Ombredanne operation). The bilateral testes were fixed inside the left and right scrotum (Figure 1D). Laparoscopic ligation of the left internal ring was also performed. Bilateral gonad biopsy and postoperative pathological examination revealed bilateral gonadal dysplasia of the testicular tissues (Figure 2). Chromosome examination showed 46XY. The serum sex hormone levels were within normal ranges. Postoperative diagnoses were TTE with persistent Müllerian duct syndrome (PMDS). The boy was followed up for 36 months at the clinic, with no other complaints.
Case 2
In August 2023, a boy aged 9 months and 19 days, who was the younger brother of case 1, was admitted to our department. Physical examination revealed no testicular mass in the right scrotum or inguinal area. Instead, a testicular-like tissue was found in the left scrotum, and a non-tender mass was palpated in the left inguinal area (Figure 3A). The left testis was normal in size, approximately 12×6×14 mm3, with a smooth surface and uniform echogenicity. The epididymis was normally present bilaterally. A testicular-like echo was observed in the left lower inguinal segment, approximately 20×8×10 mm3. CDFI revealed no abnormal blood flow (Figure 3B), but did reveal a mass in the left inguinal region with intestinal echoes. Ultrasound examination revealed an empty right scrotum with no testicular echo in the right scrotum and groin area (Figure 3C). The preoperative clinical diagnoses were right cryptorchidism and left indirect inguinal hernia.
Under laparoscopy, two testes with normal sizes and morphologies were found in the left scrotum. The left vas deferens and spermatic cord entered the internal inguinal ring; the right vas deferens and the spermatic cord crossed into the left internal inguinal canal (right transverse ectopic testis). Both internal inguinal rings were patent. No residual Müllerian duct tissue was found at the junction of the testis and spermatic cord on either side. Subsequently, a 1-cm transverse incision was made in the left scrotum. The skin and membrane were sequentially cut open to make access to the scrotum cavity (Figure 4A). Testicular fixation (Figure 4B) was performed through the septum of the scrotum (Ombredanne operation). The postoperative diagnosis was TTE. The boy was followed up for 6 months at the clinic, with no issues reported.
All procedures performed in this study were in accordance with the ethical standards of the institutional and/or national research committee(s) and with the Declaration of Helsinki and its subsequent amendments. Written informed consent was obtained from the patients’ parents for the publication of this case report and accompanying images. A copy of the written consent is available for review by the editorial office of this journal.
Discussion
TTE is a congenital abnormality of the reproductive system in which both testes descend and migrate through the same inguinal canal to reach the ipsilateral hemiscrotum (2). Affected patients are often initially misdiagnosed with unilateral cryptorchidism and contralateral inguinal hernia (2). The two reported cases both received preoperative diagnosis of cryptorchidism, before being confirmed to have TTE following laparoscopic evaluation.
TTE was first described by Von Lenhossek in 1886 (5). Although the exact pathogenesis and etiology of this condition remain unclear, it is considered that defects and abnormal attachment of the gubernaculum testis and premature closure of the affected inguinal ring lead to ipsilateral descent of both testes (6). Two testes originating from the same genital ridge may lead to ectopic testis (2). Some researchers also believe that TTE is related to the development of the vas deferens (7). A subset of TTE cases co-occurs with PMDS, in which a genetic mutation in the anti-Müllerian hormone (AMH) gene or its receptor may be involved in the development of TTE with PMDS (8).
In 1982, Gauderer (7) suggested that TTE could be classified into three types according to the associated anomalies. Type 1 is the most common type (40–50%) and is associated with inguinal hernia; type 2 is accompanied by PMDS (20–30%); and type 3 occurs with other anomalies, such as hypospadias, scrotal anomalies, fused vas deferens, horseshoe kidney, and testicular microlithiasis (4). In our present report, cases 1 and 2 were brothers with the same father and mother. However, case 1 had a type 2 TTE with PMDS, and case 2 had a type I TTE. The reasons for this are not yet clear, and further clinical research is needed. Investigation into their family history revealed that no other family members had the same illness, consistent with the general consensus that TTE is not a genetic or inherited disease (9).
Ultrasound is the first diagnostic modality for suspected testicular abnormalities (10). However, due to the atypical clinical presentations and its similarity to cryptorchidism and inguinal hernia, TTE can have a preoperative misdiagnosis rate up to 35% (4). In our study, both cases were misdiagnosed preoperatively as cryptorchidism and inguinal hernia, which was corrected to TTE during the laparoscopic evaluations. Therefore, careful preoperative examination should be performed in patients with a diagnosis of cryptorchidism to include the contralateral abdominal cavity, groin, scrotum, pubic bone, and perineum to avoid misdiagnosis or missed diagnosis. In addition, due to the high preoperative misdiagnosis rate of TTE, preoperative planning in children with a diagnosis of cryptorchidism should also consider TTE.
The principle of TTE treatment is to restore the normal anatomical position and reproductive function of the ectopic testes, reduce the risk of malignant transformation, and avoid future inferiority (3). Surgical treatment is the only effective treatment and should be administered immediately after diagnosis. Compared to traditional open surgery, laparoscopic exploration can not only evaluate anatomical structures in the abdominal cavity, inguinal canal, and any residual Müllerian duct, but can also treat coexisting and undegraded Müllerian ducts while fixing the testes (11). Additionally, laparoscopy can assess the length of the spermatic cord and free spermatic vessels and determine any other abnormalities on both sides of the vas deferens (11). In this study, both patients had an adequate length of spermatic cord. Avoiding the potential challenge of separating the two spermatic cords, we performed testicular fixation through the septum of the scrotum (Ombredanne operation) in both cases.
Currently, there is controversy relating to whether to remove residual Müllerian tubes during the surgical procedure for TTE with PMDS (4). Since the blood supply to the ectopic testis often closely adheres to the residue Müllerian duct, the vas deferens or testicular blood supply can be easily damaged when separating the Müllerian duct residue, leading to testicular atrophy and loss of normal physiological function (12). In this study, case 1 had TTE with PMDS. We did not remove the Müllerian duct so as to prevent possible damage to the vas deferens and testes.
The strength of our case report is the presentation of this rare illness in siblings, while the limitation is generalizing it to the general population. Further research is required to identify a better management approach to improve diagnostic TTE accuracy in these patients.
Conclusions
TTE can occur in siblings despite not being an inherited disease. Careful physical and ultrasound evaluation should be performed to rule out TTE in children with a preoperative diagnosis of cryptorchidism, especially in those with inguinal hernia on the opposite side and those with siblings with TTE. Laparoscopic exploration using orchidopexy is recommended. Postoperative follow-up evaluation is necessary to confirm the normal position and development of the testes.
Acknowledgments
The authors thank all of the patients who participated in the study and the staff of the participating hospital for their support.
Footnote
Reporting Checklist: The authors have completed the CARE reporting checklist. Available at https://acr.amegroups.com/article/view/10.21037/acr-24-254/rc
Peer Review File: Available at https://acr.amegroups.com/article/view/10.21037/acr-24-254/prf
Funding: This study was supported by
Conflicts of Interest: All authors have completed the ICMJE uniform disclosure form (available at https://acr.amegroups.com/article/view/10.21037/acr-24-254/coif). The authors have no conflicts of interest to declare.
Ethical Statement: The authors are accountable for all aspects of the work in ensuring that questions related to the accuracy or integrity of any part of the work are appropriately investigated and resolved. All procedures performed in this study were in accordance with the ethical standards of the institutional and/or national research committee(s) and with the Declaration of Helsinki and its subsequent amendments. Written informed consent was obtained from the patients’ parents for the publication of this case report and accompanying images. A copy of the written consent is available for review by the editorial office of this journal.
Open Access Statement: This is an Open Access article distributed in accordance with the Creative Commons Attribution-NonCommercial-NoDerivs 4.0 International License (CC BY-NC-ND 4.0), which permits the non-commercial replication and distribution of the article with the strict proviso that no changes or edits are made and the original work is properly cited (including links to both the formal publication through the relevant DOI and the license). See: https://creativecommons.org/licenses/by-nc-nd/4.0/.
References
- Pitchumani S, Padmanaban E, Achantani YK, et al. Transverse testicular ectopia with inguinal hernia in an adult—a case report. Egyptian Journal of Radiology and Nuclear Medicine 2021;52:154.
- Yang B, Xie CH, Wang YQ. Misdiagnosis and mistreatment of transverse testicular ectopia-two case report and review of literature. Medicine (Baltimore) 2023;102:e35850. [Crossref] [PubMed]
- Abdullayev T, Korkmaz M. Transvers testicular ectopia: A case report and literature review. Int J Surg Case Rep 2019;65:361-4. [Crossref] [PubMed]
- Zhou G, Yin J, Jiang M, et al. Clinical Characteristics, Ultrasonographic Findings, and Treatment of Pediatric Transverse Testicular Ectopia: A 10-Year Retrospective Review. Urology 2021;154:249-54. [Crossref] [PubMed]
- Von Lenhossek MN. Ectopia testis transversa. Anat Anz 1886;1:376-81.
- Naouar S, Maazoun K, Sahnoun L, et al. Transverse testicular ectopia: a three-case report and review of the literature. Urology 2008;71:1070-3. [Crossref] [PubMed]
- Gauderer MW, Grisoni ER, Stellato TA, et al. Transverse testicular ectopia. J Pediatr Surg 1982;17:43-7. [Crossref] [PubMed]
- Sun Z, Yang M, Zhuang Y, et al. Research progress on the pathogenesis of pediatric transverse testicular ectopia with persistent Mullerian duct syndrome. Asian J Surg 2023;46:5897-8. [Crossref] [PubMed]
- Li GL, Yao HY, Wang HL, et al. Clinical analysis of 8 cases of transverse testicular ectopia. Chinese Journal of Applied Clinical Pediatrics 2023;38:461-4.
- Ming X, Zhang JD, Guo T, et al. Clinical analysis and literature review of the diagnosis and treatment of testicular ectopia in children. National Journal of Andrology 2021;27:1047-9.
- Yang M, Lin X, Liu Z, et al. Transverse testicular ectopia with persistent Mullerian duct syndrome: Report and review of two cases. Andrologia 2022;54:e14637. [Crossref] [PubMed]
- Alamsahebpour A, Blachman-Braun R, Gupta A, et al. Laparoscopy and transseptal orchiopexy in the management of transverse testicular ectopia. Curr Urol Rep 2015;16:48. [Crossref] [PubMed]
Cite this article as: Wang L, Duan S, Meng H, Tang L, He L. Transverse testicular ectopia: a case report on preoperative misdiagnosis in two siblings. AME Case Rep 2025;9:152.

