Implant-based oral rehabilitation in patients with special needs: a case report
Highlight box
Key findings
• Successful full-arch dental rehabilitation involving multiple implants under general anesthesia (GA) in a poliomyelitis survivor with complex craniofacial deformities, asymmetric paralysis, etc.
What is known and what is new?
• Patients with special needs (PSN) face systemic disparities in accessing advanced dental care due to anatomical constraints, behavioral challenges, and prioritization of survival needs over oral health.
• This is the first known protocol for GA-assisted implant placement in post-polio syndrome patients. Dental implants serve as an equitable therapeutic option addressing both functional restoration and psychosocial well-being in special populations.
What is the implication, and what should change now?
• This case redefines oral rehabilitation standards for PSN by proving implant therapy’s technical feasibility and clinical value even in neurologically compromised patients. It challenges the historical exclusion of PSN from advanced dental interventions.
• We call to action for the dental community to expand access to advanced therapies for underserved populations. Future research should standardize GA protocols and evaluate long-term outcomes in this population.
Introduction
Poliomyelitis constitutes an acute infectious disorder induced by the poliovirus (1). Survivors of poliomyelitis experience persistent sequelae, such as muscular weakness, asymmetric paralysis, dysphagia, and joint deformities. These individuals represent a significant subgroup within the broader category of patients with special needs (PSN) (2,3). PSN are defined as individuals experiencing intellectual disabilities, physical disabilities, mental health issues, or complex medical conditions that significantly limit their ability to perform basic activities (4). In terms of oral health, PSN often suffer from poor oral hygiene due to inadequate self-care capabilities (5,6). Consequently, they frequently present with advanced and untreated dental conditions, making extraction the only viable treatment option during their initial consultation (7).
Recently, the predictability, strong stability, and numerous functional benefits of dental implants have expanded their indications, positioning implants as a crucial treatment option for edentulous conditions in PSN. However, the invasive nature of implant procedures presents several challenges. This is particularly critical in patients with poliomyelitis. Specific neuromuscular constraints, such as muscle atrophy and paralysis, alongside potential communication disorders and limited treatment compliance, significantly increase the complexity and risks of implant treatment (2,3). Additionally, increased sensitivity to sounds and vibrations in the oral and maxillofacial region complicates the administration of local anesthesia (LA) during awake procedures. Although general anesthesia (GA) offers uncooperative patients a viable technique, there is currently no standardized protocol for providing dental treatment under GA for PSN (8).
This article presents a case involving a poliomyelitis survivor who undergoes multiple dental implants and simultaneous maxillary sinus elevation surgery under GA. To our best, there are no relevant reports in the subpopulation, and we hope this study will serve as a reference for future cases. We present this case in accordance with the CARE reporting checklist (available at https://acr.amegroups.com/article/view/10.21037/acr-2025-110/rc).
Case presentation
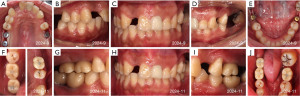
A 27-year-old woman with a childhood history of poliomyelitis presents at the Affiliated Stomatological Hospital of Zhejiang University. She understands sample instructions but cannot clearly express needs, has multiple caries-induced missing teeth affecting eating, and seeks chewing function restoration. The patient exhibits facial asymmetry, deviated mouth corners, and leftward mandibular movement on opening. She also displays asymmetric paralysis, muscle atrophy, and joint deformities (Figure 1). Intraoral examination discloses dentition defects of both arches (#16, #17, #12, #24, #26, #27, #36, #37, #46, #47) (Figure 2). Preoperative cone-beam computed tomography (CBCT) imaging indicates inadequate height of the maxillary alveolar bone (about 8 mm), with adequate quantity of the mandibular bone (Figure 3).
A comprehensive treatment plan is developed after joint consultations among oral implantology, oral and maxillofacial surgery, and anesthesiology. Considering the balance between economic considerations and masticatory efficiency, as well as the mesially inclined position of tooth #38, a single implant is planned to be placed in the left mandible to restore the edentulous space of #36 and #37. In addition, due to insufficient restoration space, #24 is not considered for further restoration. Meanwhile, in line with the patient and her family’s request to postpone treatment for #12, #12 is not included in the treatment in this case, as #24. Following a detailed explanation of the treatment plan, the patient’s family consents and signs the informed consent form. The preoperative electrocardiogram shows no abnormalities, while the chest X-ray indicates scoliosis. The laboratory results, including blood cell count, liver and kidney function test, remain within acceptable limits. Anesthesia evaluation is classified as American Society of Anesthesiologists (ASA) II, indicating good tolerance to GA.
Nasal tracheal intubation is selected for airway control to facilitate complete exposure to the surgical field. A cutting ball drill is used to contour the jawbone, completing the necessary jaw and alveolar bone adjustments. Given the inadequate height of the maxillary implant sites, a sinus lift is performed through the alveolar ridge: the sinus floor is elevated approximately 2 mm vertically, resulting in a fracture of the sinus floor. The elasticity and integrity of the mucosa are confirmed before placing a submerged 4.1 mm × 10 mm implant (Institut Straumann BL, Basel, Switzerland) at site #26. Subsequent to the placement of a D6 mm × H2 mm healing cap, the mucoperiosteal flap is secured utilizing absorbable polypropylene monofilament sutures. The same approach is applied to the contralateral sites #16 and #17. In the mandible, after shaping, the implant fixture is directly inserted. The detail and initial stability of implants are summarized in Table 1.
Table 1
| Tooth position | Model size (mm) | Brand | Initial stability (N-cm) |
|---|---|---|---|
| #16 | BL 4.1×10 | Straumann® | 30 |
| #17 | BL 4.1×10 | 10 | |
| #26 | BL 4.1×10 | 35 | |
| #36 | BL 3.3×12 | 35 | |
| #46 | BL 3.3×12 | 20 | |
| #47 | BL 4.1×10 | 35 |
BL, bone level.
The entire surgical procedure is completed within 90 minutes, and the postoperative CBCT scan indicates proper implant positioning without damage to critical structures (Figure 4). The mesiodistal distances are adequate, all measuring over 1.5 cm; however, the buccolingual bone plate width is suboptimal, ranging from 1.2 to 2 cm, possibly influenced by artifacts from the implant. No significant complications were noted during and after the procedure. Six months postoperatively, the patient returns for follow-up and undergoes second-stage surgery. The implant site shows excellent healing. After removing the cover screws, healing abutments are placed (Figure 5). The digital scan is performed to create a three-dimensional (3D) model due to the patient’s poor cooperation with traditional impressions (Figure 6). A monolithic zirconia crown, known for its high elastic modulus and biomedical compatibility, is selected. Given the patient’s limited inter-arch space, the neck design is extended subgingivally, with grooves added to the sandblasted abutment surface. On the patient’s right side, a conservative occlusal design is implemented to mitigate occlusal forces. This involves the maintenance of a residual gap between #36 and #38, in addition to a reduction of the apical bevel slope and crowns for #36 and #46. The patient’s response to the restoration is carefully monitored. Once confirmed in position, the screw access holes are sealed, completing the permanent restoration (Figure 5). The patient and family are instructed on hygiene practices to maintain proper oral hygiene and advised to return for regular follow-ups. At the 4-month follow-up, the oral examination shows secure implant retaining screws. Peri-implant soft tissues exhibit favorable morphology, and occlusal relationships remain consistent (Figure 7). The family reports significant improvement in masticatory function, with no abnormal reactions to daily foods.
All procedures performed in this study were in accordance with the ethical standards of the institutional and/or national research committee(s) and with the Helsinki Declaration and its subsequent amendments. Written informed consent was obtained from the patient for publication of this case report and accompanying images. A copy of the written consent is available for review by the editorial office of this journal.
Discussion
In this study, we report a case involving a patient with poliomyelitis who received dental implantation. Providing treatment for individuals with intellectual and physical disabilities often poses significant challenges. These challenges include potential risks, uncertainties regarding treatment effectiveness, and increased stress for practitioners. Consequently, dental services for this PSN population remain extremely unbalanced (9,10).
As demonstrated in this case, the combined approach of dental implants under GA offers distinct advantages over conventional removable partial dentures (RPDs) or fixed dental prostheses (FDPs). In general, the single-session placement of implants under GA addresses the patient’s primary functional needs while minimizing additional time, financial burden, and logistical demands on patients and caregivers. On the one hand, GA overcomes limitations imposed by the patient’s inherent disabilities, including low cooperation and compliance (11,12), thereby substantially reducing procedural risks associated with multiple awake appointments under LA. On the other hand, given the frequent presence of maxillofacial deformities, parafunctional forces, and compromised self-care capacity in this population (13), RPDs are contraindicated due to risks of aspiration, fracture, and mucosal injury. In contrast, implant-supported prostheses provide the most stable, functional, and conservative solution, offering superior load-bearing capacity without compromising adjacent teeth. This approach also affords greater flexibility in prosthetic design to accommodate anatomical challenges. Furthermore, implant restorations facilitate simplified hygiene maintenance, which is a crucial consideration given the patient’s limited self-care abilities. Critically, in patients with cognitive or communicative impairments who cannot articulate discomfort, poorly tolerated conventional prosthetics may trigger behavioral crises like agitation or self-injurious actions (14), whereas implant-supported restorations minimize such risks through optimized fit and stability. For the patient, the reduced foreign-body sensation and enhanced masticatory comfort significantly improve acceptance.
Notably, employing GA for this population demonstrates elevated risks of airway obstruction, nausea, and vomiting compared to the general population (15). Particular attention must be directed toward its specialized application parameters and associated complications. According to guidelines by the American Dental Association (ADA), preoperative evaluations for patients with disabilities should emphasize the importance of thorough medical histories (16). Laboratory tests and medical consultations should be conducted as necessary. Considering aforementioned contingencies, preparation of emergency equipment or medication in advance is advisable. Continuous intraoperative and postoperative physiological monitoring can assist clinicians in promptly identifying any abnormalities (17,18) and ensuring a more comprehensive implant treatment process.
In recent years, dentists have undertaken implant techniques for PSN, reporting high survival rates and prognoses (19,20). A 14-year retrospective study evaluated the effects of implant placement under GA in patients with cognitive and physical disabilities (19), reporting postoperative technical and biological complication rates of 14% and 13%, respectively. However, long-term implant failure rates in special populations are higher than those in the general population, potentially due to three key factors.
First, the difficulty of performing implant procedures under GA for special populations is significantly greater than that of LA. Patients under unconscious conditions cannot cooperate or provide feedback, which necessitates operators rely solely on their adjustments and multiple comparisons to ensure the implant’s three-dimensional placement accuracy. Issues like visual distortion and fatigue further complicate the procedure and increase the time required. The risks associated with GA escalate with prolonged procedures, complicating the balance between speed and effectiveness for the operator. Some scholars recommend utilizing surgical templates or dynamic navigation technology (21), substantially reducing the time needed for precise placement and improving accuracy according to preoperative plans. However, this approach incurs higher costs and lengthens overall treatment time (22,23). Furthermore, unique anatomical abnormalities, such as class III skeletal malocclusion and macroglossia, place greater demands on the expertise of the implant team.
Second, while achieving implantation is feasible, underlying disease conditions significantly increase the challenges associated with long-term implant retention. Published research lacks conclusive evidence linking specific risk factors; however, alterations in the periodontal microbiome unique to Down syndrome (DS) patients may represent a promising area for further investigation (24-27). Larger randomized controlled trials are essential to elucidate the mechanisms associated with the risks of implant failure. Additionally, patients with neurological impairments may present oral functional abnormalities, traumatic occlusion, and episodes of symptoms that are relevant alongside common implant risk factors such as osteoporosis and smoking. A prospective study on the outcomes of implant treatment in neurological dysfunction patients indicates that the complications observed are closely related to individual patient circumstances (20), including self-harming behaviors such as head banging, rejection of prostheses, and seizures leading to jaw clenching and involuntary jaw movements. This suggests that implant surgeons must maintain long-term oversight of implant fixtures and prosthetics to address any emerging issues promptly.
Third, PSN has heightened demands for the design of post-implant prosthetics. These individuals often experience significant intraoral pressure, and poorly designed prosthetic shapes may lead to implant failure under abnormal loads (14,28). Therefore, it is advisable to utilize high-strength materials, such as zirconia, to enhance resistance, minimize occlusal forces through height reduction, and maximize bonding strength. This may involve increasing the abutment diameter, modifying surface grooves, and extending neck margins subgingivally to enhance the bonding area. However, given the low levels of self-care and maintenance, the design should also prioritize ease of cleaning: edges should avoid sharp angles and unsupported protrusions, adjacent surfaces should extend into self-cleaning zones such as interdental spaces, and materials should be selected to facilitate cleaning and maintenance while ensuring smooth surfaces for the prosthetic devices. Additionally, caregivers should receive specialized training to ensure adherence to hygiene protocols for implant maintenance (29). In this case, we utilize a one-piece fixed single crown restoration, which minimizes the impact of oral moisture and temperature on bond strength compared to traditional intraoral adhesives, potentially mitigating issues of peri-implantitis due to adhesive residues.
Increasing evidence indicates that implant procedures have become a viable and stable treatment option. Currently, there is a growing call for equitable healthcare for special populations (30), while the literature in this area remains insufficient. Furthermore, the evaluation indicators are simplistic and partial. Detailed information regarding each patient’s overall health status, oral hygiene, bone quality, and complication status needs to be collected through further research and long-term follow-ups.
Conclusions
In conclusion, providing implant treatment for PSN poses unique challenges and limitations. The foremost concern is the preservation of the patient’s overall safety. Dentistry should adopt every appropriate treatment that maximizes implant systems’ longevity and prosthetic devices’ longevity. As illustrated by the case, even in PSN, implantation can result in successful morphological rehabilitation.
Acknowledgments
None.
Footnote
Reporting Checklist: The authors have completed the CARE reporting checklist. Available at https://acr.amegroups.com/article/view/10.21037/acr-2025-110/rc
Peer Review File: Available at https://acr.amegroups.com/article/view/10.21037/acr-2025-110/prf
Funding: None.
Conflicts of Interest: All authors have completed the ICMJE uniform disclosure form (available at https://acr.amegroups.com/article/view/10.21037/acr-2025-110/coif). The authors have no conflicts of interest to declare.
Ethical Statement: The authors are accountable for all aspects of the work in ensuring that questions related to the accuracy or integrity of any part of the work are appropriately investigated and resolved. All procedures performed in this study were in accordance with the ethical standards of the institutional and/or national research committee(s) and with the Helsinki Declaration and its subsequent amendments. Written informed consent was obtained from the patient for publication of this case report and accompanying images. A copy of the written consent is available for review by the editorial office of this journal.
Open Access Statement: This is an Open Access article distributed in accordance with the Creative Commons Attribution-NonCommercial-NoDerivs 4.0 International License (CC BY-NC-ND 4.0), which permits the non-commercial replication and distribution of the article with the strict proviso that no changes or edits are made and the original work is properly cited (including links to both the formal publication through the relevant DOI and the license). See: https://creativecommons.org/licenses/by-nc-nd/4.0/.
References
- Mehndiratta MM, Mehndiratta P, Pande R. Poliomyelitis: historical facts, epidemiology, and current challenges in eradication. Neurohospitalist 2014;4:223-9. [Crossref] [PubMed]
- Lo JK, Robinson LR. Post-polio syndrome and the late effects of poliomyelitis: Part 2. treatment, management, and prognosis. Muscle Nerve 2018;58:760-9. [Crossref] [PubMed]
- Wolbert JG, Rajnik M, Swinkels HM, et al. Poliomyelitis. In: StatPearls [Internet]. Treasure Island (FL): StatPearls Publishing; 2025.
- Yang R, Zhao R, Chaudry F, et al. Modern sedative agents and techniques used in dentistry for patients with special needs: A review. J Taibah Univ Med Sci 2024;19:153-63. [Crossref] [PubMed]
- Auerbacher M, Krämer S, Schmidt P, et al. Oral health of individuals with intellectual disabilities: a global cross-sectional study from the special olympics world games 2023. Clin Oral Investig 2025;29:252. [Crossref] [PubMed]
- Wilson NJ, Lin Z, Villarosa A, et al. Oral health status and reported oral health problems in people with intellectual disability: A literature review. Journal of Intellectual & Developmental Disability 2019;44:292-304.
- Devinsky O, Boyce D, Robbins M, et al. Dental health in persons with disability. Epilepsy Behav 2020;110:107174. [Crossref] [PubMed]
- Mallineni SK, Yiu CK. Dental treatment under general anesthesia for special-needs patients: analysis of the literature. J Investig Clin Dent 2016;7:325-31. [Crossref] [PubMed]
- Costa FDS, Possebom Dos Santos L, Chisini LA. Inequalities in the use of dental services by people with and without disabilities in Brazil: a National Health Survey. Clin Oral Investig 2024;28:540. [Crossref] [PubMed]
- Marinho MA, Ramos FCT, Cardoso AL, et al. Dental Treatment under General Anesthesia in Patients with Special Needs Provided by Private and Public Healthcare Services-A Retrospective, Comparative Study. Healthcare (Basel) 2022;10:1147. [Crossref] [PubMed]
- da Rosa SV, Moysés SJ, Theis LC, et al. Barriers in Access to Dental Services Hindering the Treatment of People with Disabilities: A Systematic Review. Int J Dent 2020;2020:9074618. [Crossref] [PubMed]
- Bellon M, Forooziya F, Mitchell R, et al. Access to Health Care: Implementation and Outcomes of a Hospital-Based Anaesthesia Protocol for People With Intellectual Disability. J Appl Res Intellect Disabil 2025;38:e70100. [Crossref] [PubMed]
- Altintas NY, Kilic S, Altintas SH. Oral Rehabilitation with Implant-Retained Overdenture in a Patient with Down Syndrome. J Prosthodont 2019;28:e617-21. [Crossref] [PubMed]
- Burlui E, Rarinca V, Ciobica A, et al. Insights into the schizophrenia and dental care: focusing on interaction between implant treatments and oxidative stress. Front Dent Med 2025;6:1542913. [Crossref] [PubMed]
- Skertich NJ, Ingram ME, Sullivan GA, et al. Postoperative complications in pediatric patients with cerebral palsy. J Pediatr Surg 2022;57:424-9. [Crossref] [PubMed]
- Ponde VC, Chan V, Singh N, et al. Regional anesthesia and analgesia in patients with spastic cerebral palsy undergoing orthopedic surgery: a historical cohort study. Can J Anaesth 2024;71:826-33. [Crossref] [PubMed]
- Anesthesia in Outpatient Facilities. J Oral Maxillofac Surg 2023;81:E35-50. [Crossref] [PubMed]
- Deng Y, Navarro JC, Markan S. Advances in Anesthesia Monitoring. Oral Maxillofac Surg Clin North Am 2019;31:611-9. [Crossref] [PubMed]
- Bogner MS, Chambas V, Veyrune JL, et al. Oral implant rehabilitation under general anesthesia for patients with cognitive and physical disabilities: A 14-year cohort study. J Prosthet Dent 2024;S0022-3913(24)00012-X.
- Ekfeldt A, Zellmer M, Carlsson GE. Treatment with implant-supported fixed dental prostheses in patients with congenital and acquired neurologic disabilities: a prospective study. Int J Prosthodont 2013;26:517-24. [Crossref] [PubMed]
- Wang XH, Liu AP, Deng WZ. Research advances in the use of digital surgical guides in implantology. Hua Xi Kou Qiang Yi Xue Za Zhi 2020;38:95-100. [Crossref] [PubMed]
- Wang XY, Liu L, Guan MS, et al. The accuracy and learning curve of active and passive dynamic navigation-guided dental implant surgery: An in vitro study. J Dent 2022;124:104240. [Crossref] [PubMed]
- Tao B, Feng Y, Fan X, et al. Accuracy of dental implant surgery using dynamic navigation and robotic systems: An in vitro study. J Dent 2022;123:104170. [Crossref] [PubMed]
- Najeeb S, Khurshid Z, Siddiqui F, et al. Outcomes of Dental Implant Therapy in Patients With Down Syndrome: A Systematic Review. J Evid Based Dent Pract 2017;17:317-23. [Crossref] [PubMed]
- Sales PHDH, Barros AWP, de Lima FJC, et al. Is Down syndrome a risk factor or contraindication for dental implants? A systematic review. J Prosthet Dent 2023;129:531-7. [Crossref] [PubMed]
- Khurana S, Khalifa AR, Rezallah NN, et al. Craniofacial and Airway Morphology in Down Syndrome: A Cone Beam Computed Tomography Case Series Evaluation. J Clin Med 2024;13:3908. [Crossref] [PubMed]
- Möhlhenrich SC, Schmidt P, Chhatwani S, et al. Orofacial findings and orthodontic treatment conditions in patients with down syndrome - a retrospective investigation. Head Face Med 2023;19:15. [Crossref] [PubMed]
- Dethlefs-Canto J, Baeza-Vallejos S, Ormeño-Sepúlveda D, et al. Strategies for rehabilitation management with implants in patients with down syndrome: a scoping review. Med Oral Patol Oral Cir Bucal 2025;30:e561-7. [Crossref] [PubMed]
- Choi J, Doh RM. Dental treatment under general anesthesia for patients with severe disabilities. J Dent Anesth Pain Med 2021;21:87-98. [Crossref] [PubMed]
- Dziedzic A, Tanasiewicz M, Abed H, et al. Are Special Care Dentistry Services Prepared for a Global Disruption in Healthcare? A Call for a Wider Promotion of Dental Conscious Sedation Training. Healthcare (Basel) 2020;8:419. [Crossref] [PubMed]
Cite this article as: Huang L, Gong J, Lu K, Zhang X, Xu Z, Yu M, Si M, Wang H. Implant-based oral rehabilitation in patients with special needs: a case report. AME Case Rep 2025;9:162.


