A case series of adenomyoepithelioma of the breast with a case of malignant adenomyoepithelioma misinterpreted as polymorphous adenocarcinoma
Highlight box
Key findings
• Adenomyoepithelioma (AME) of the breast is misinterpreted as polymorphous adenocarcinoma (PmA), which was later re-evaluated and found to be malignant AME.
What is known and what is new?
• AME and PmA are salivary-type gland tumors in the breast. Most cases have a benign/indolent clinical course; however, malignant transformation, recurrences, and distant metastases have been described.
• The treatment remains unstandardized due to a limited number of reported cases. Keeping this diagnosis in mind can significantly improve diagnostic accuracy.
What is the implication, and what should change now?
• This unique case highlights the importance of distinguishing PmA from MAME to provide appropriate diagnosis and management.
Introduction
Background
The breast and salivary glands are tubule-acinar glands that contain a branching ductal network composed of an inner layer of polarized luminal epithelial cells and an outer layer of myoepithelial cells. Therefore, they share tumors with similar morphologic characteristics. Adenomyoepithelioma (AME), first reported by Hamperl in 1970, is a rare tumor characterized by epithelial and myoepithelial components and is generally benign behavior (1-3). Cases of malignant transformation, local recurrence, and distant metastases have been documented. Therefore, complete surgical excision with negative margins is recommended (4,5).
On the other hand, polymorphous adenocarcinoma (PmA) was first described by Asioli et al. in 2006. It is classified as an exceptionally rare special-type breast carcinoma in the World Health Organization (WHO) 5th edition. Morphologically, it can mimic malignant adenomyoepithelioma (MAME) (6-8).
Rationale and knowledge gap
By 2013, more than 150 cases of AME had been documented, and less than 100 cases of MAME had been reported. Fewer than 10 cases of PmA were reported in the literature (6,8-10). Due to this rarity, the management of MAME and PmA is still not standardized and poorly understood. Accurate diagnosis of MAME is crucial, as it may have significant therapeutic and prognostic implications (1,11).
Objective
This case series includes nine patients diagnosed with AME, one of whom was initially misdiagnosed with PmA but later reclassified as MAME. It is presented to expand the existing body of knowledge and emphasize the critical importance of differentiating between PmA and MAME, as this can alter management and prognosis. We present this article in accordance with the PROCESS and AME Case Series reporting checklists (available at https://acr.amegroups.com/article/view/10.21037/acr-24-178/rc) (12).
Case presentation
All procedures performed in this study were in accordance with the ethical standards of the institutional and/or national research committee(s) and with the Helsinki Declarationand its subsequent amendments. Written informed consent for publication of this case series and accompanying images was not obtained from the patients or the relatives after all possible attempts were made.
The study reports nine cases of AME diagnosed at a single institution. Clinical, radiological, and histopathological data were analyzed. Immunohistochemistry (IHC), including markers such as p63, CK5/6, and calponin, was performed to confirm diagnoses.
The nine patients are within an age range of 31–61 years; three patients presented with a palpable mass, four were identified through screening mammogram (MMG), one was found to have calcifications on MMG, and one presented with nipple discharge. Seven patients showed a solid mass on MMG. Breast ultrasound (US) was performed on eight patients, with six showing a lobulated mass and one having a cystic lesion. Two patients from this series underwent breast magnetic resonance (MR). One of these patients showed heterogeneous enhancement with a rapid initial rise and delayed plateau-type vascular enhancement, while the other had a circumscribed mass with type 2 and 3 enhancement (Table 1).
Table 1
| Case | Age (years) | Gender | Diagnostic imaging findings | Core biopsy pathology | Surgical pathology |
|---|---|---|---|---|---|
| Case 1 | 54 | Female | (I) MMG: complex solid and cystic lesion | Benign AME = p63 positive, E-cadherin positive, ER/PR/HER2/neu negative | Polymorphous low-grade adenocarcinoma, with negative margins. Re-evaluation of the pathology slides several years later: malignant component predominantly composed of myoepithelial cells, positive for p63 and negative for CK7 |
| (II) US: retroareolar complex, lobulated mass measuring 3.1 cm × 2.4 cm | |||||
| Case 2 | 51 | Female | MMG: cluster of microcalcifications | Not performed | AME with focal calcifications |
| Case 3 | 59 | Female | (I) MMG: soft tissue mass. | AME with epithelial hyperplasia | AME with focal ductal hyperplasia |
| (II) US: well defined, smooth walled, avascular, anechoic cystic area with thick irregular septations | |||||
| Case 4 | 59 | Female | (I) MMG: 1 cm dense ovoid nodule | Benign AME | Nodular adenosis with calcifications |
| (II) US: lobulated, hypoechoic mass with related calcifications | |||||
| Case 5 | 56 | Female | (I) MMG: lobulated mass | AME, p63 positive | Sclerosed intraductal papilloma |
| (II) US: 2.3 cm complex cyst with an intracystic solid mass | |||||
| Case 6 | 61 | Female | (I) MMG: breast irregular density | Single minute focus of ductal carcinoma in situ, intermediate nuclear grade, ER/PR negative | Clear cell AME with predominance of myoepithelial component and focal chondroid matrix, S100 positive, p63 positive |
| (II) US: hypoechoic mass with microlobulations | |||||
| Case 7 | 31 | Female | US: heterogeneous mixed cystic and solid oval mass, partially lobulated with partially indistinct margins | AME, p63 positive | Complex fibroadenoma with foci of AME, usual ductal hyperplasia and stromal fibrosis, p63 positive, calponin positive |
| Case 8 | 52 | Female | MMG: solid mass | Benign AME, p63 positive, calponin positive, CK8/18 positive | AME, tubular variant |
| Case 9 | 60 | Female | MMG: 1.2 cm mass on MMG | AME, p63 positive, myosin positive, CK5 positive, ER negative, E-cadherin positive | AME |
AME, adenomyoepithelioma; CK7, cytokeratin 7; ER, estrogen receptor; MMG, mammogram; PR, progesterone receptor; US, ultrasound.
Highlight case: misdiagnosis as PmA
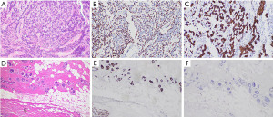
A 54-year-old female with a complex solid and cystic lesion on screening MMG. Further targeted US confirmed a retro areolar complex, lobulated mass measuring 3.1 cm × 2.4 cm. Core biopsy revealed benign AME, p63 positive, E-cadherin positive, estrogen receptor (ER), progesterone receptor (PR), and Her2/neu negative. The patient underwent wide local excision, and the final pathology indicated polymorphous low-grade adenocarcinoma with negative margins. Based on these findings, she underwent axillary nodal staging with a sentinel lymph node biopsy (SLNB), which was negative. The patient was ultimately staged as pT2N0M0, low-grade PmA of the left breast; after a multidisciplinary conference, the consensus was made not to pursue hormonal therapy or chemotherapy. The patient was seen by otolaryngology, and her head and neck magnetic resonance showed no evidence of primary tumors. Adjuvant radiation therapy was initiated, and the patient received a total dose of 50.4 Gy to the entire left breast, with a 10 Gy boost to the lumpectomy cavity. She tolerated the treatment well. Upon re-evaluation of the pathology slides several years later, the malignant component was predominantly composed of myoepithelial cells, which were p63 positive and CK7 negative by IHC (Figure 1). Consequently, the diagnosis was revised to MAME. After a follow-up of 78 months, the patient remains alive with no evidence of disease.
Discussion
Key findings
In our case series, one patient (Case 1) was initially upgraded to PmA based on final pathology. However, upon re-evaluation of the pathology slides, the malignant component was found to be predominantly composed of myoepithelial cells, which were p63 positive and CK7 negative, consistent with a revised diagnosis of MAME (Figure 1).
AME usually presents in women ranging from 26 to 81 years, with an average diagnosis age of 60 years. Most patients present with a unilateral, centrally located, nontender palpable mass (3,5,13-17). Diagnosis can be challenging and requires clinical suspicion, imaging techniques, IHC, and pathology. Radiographically, AME can present as well-circumscribed benign-appearing entities or as ill-defined, lobulated lesions suggesting malignancy. Mammographic findings typically reveal an irregular mass with micro-lobulated margins, sometimes accompanied by smaller satellite nodules. AME is rarely identified via microcalcifications and can be occult due to the superimposition of dense breast tissue. In our series, only one patient presented with microcalcifications on MMG. In US, it appears as a hypoechoic, solid mass with an oval or irregular shape and micro-lobulated margins; it can have posterior acoustic enhancement, which may incorrectly suggest a benign lesion, and in some cases can present with hypervascularity, which should be suspicious of malignancy (5,18,19).
AME has a propensity for local recurrence, mainly due to incomplete surgical margins. Tavassoli et al. reported a median recurrence time of 6.1 years and an 11.1% recurrence rate have been reported (3). In our series, one patient experienced recurrence nine years after surgery despite negative margins. The average follow-up period was 81 months, ranging from 4 to 171 months, and all patients were alive at the time of this writing (Table 1).
Strength and limitations
The study’s strengths lie in its detailed case series, offering comprehensive insights into these rare tumors’ clinical, radiological, and histopathological characteristics. The study highlights the diagnostic challenges of differentiating AME from PmA, emphasizing the importance of IMC and thorough histopathological evaluation (Table 2) (7,8,20). However, its limitations include a small sample size, which may not fully reflect the spectrum of AME presentations, and the retrospective nature of the data, which could introduce bias and limit the broader applicability of the findings.
Table 2
| Marker | Adenomyoepithelioma (19) | Malignant adenomyoepithelioma (19) | PmA (7,8) |
|---|---|---|---|
| S100† | Positive | Positive | Positive |
| CK5‡/6† | Positive | Variable | Negative |
| CK7 | Positive | Positive | Variable (weak/focal) |
| E-cadherin | Positive | Loss in some cases | Fragmented positive |
| BCL-2 | Variable | Variable | Positive |
| p63† | Positive | Loss in many cases | Partially positive |
| SMA† | Positive | Loss in some cases | Negative |
| CD117 (c-kit) | Negative | Negative | Negative |
| HER2 | Negative | Negative | Negative |
| ER | Negative | Negative | Negative |
| PR | Negative | Negative | Negative |
| Ki-67 | Variable | High (>10%) | Low (<10%) |
| MYC | Amplified in malignant cases | Amplified | Not reported |
| HRAS Q61 | Mutated in ER-negative cases | Mutated | Not reported |
| PIK3CA | Mutated in some cases | Mutated in ER-positive cases | PRKD1 E710D mutation |
†, myoepithelial marker; ‡, epithelial marker. CK, cytokeratin; ER, estrogen receptor; PmA, polymorphous adenocarcinoma; PR, progesterone receptor; SMA, smooth muscle actin.
Comparison with similar research
The findings of this study align with and expand upon prior publications. Castillo et al. [2024] have also recognized similar knowledge gaps in managing these patients. In their case report, the patient underwent a lumpectomy with a 2-mm margin; 22 months after surgery, the patient presented with a local recurrence. The patient underwent re-excision, but no adjuvant systemic therapy was offered. Contrasting, Wang et al. [2022] recently described two case reports of MAME, both treated with a lumpectomy, chemotherapy, and radiation therapy after surgery. This lack of protocols leaves room for questions about adequate margins, the role of adjuvant systemic therapies, and adequate follow-up (1,21).
In Case 1, the patient underwent SLNB. However, the use of SNLB is controversial since these tumors seem to spread predominantly hematogenously, with reported cases of metastases to the lungs, brain, and thyroid gland. Lymphatic involvement is uncommon. PmA rarely presents metastasis but has been documented in isolated cases (1,5,10,11).
We also consider it necessary to have the patient seen by the otolaryngology team and perform imaging of the head and neck glands since there is not enough information about the risk of salivary gland tumors in the population. A study in a nationwide cohort in the Netherlands found that women with salivary gland carcinoma (SGC) or pleomorphic adenoma (SGPA) have a 10-year cumulative breast cancer risk of 3.1% and 3.5%, respectively. The study highlights potential hormonal or genetic links between these tumors and breast cancer but does not recommend changes in routine screening, instead suggesting increased clinician awareness (22).
Explanation of findings
AME, PmA, and MAME are all salivary gland-type tumors but differ in their malignant potential (1,6,18). MAME often exhibits a malignant myoepithelial component, whereas PmA consists of solid nests of small neoplastic cells with perineural invasion. PmA is consistently triple-negative (ER, PR, and Her2/neu negative), in contrast with MAME, which is typically triple-negative; however, some cases of ER-positive AME have been reported harboring PIK3CA or AKT1 mutations (20,23).
The molecular pathogenesis of AME is limited. It seems to involve HRAS Q61 mutations in up to 60% of ER-negative cases, often with PIK3CA or PIK3R1 mutations affecting the PI3K/AKT pathway. HRAS activation leads to myoepithelial differentiation, disorganized growth, and reduced E-cadherin expression, driving invasiveness. MAME frequently shows MYC amplification, CDKN2A deletion, and TERT mutations, increasing proliferation (20). Although there has been a case report of AME arising in association with neurofibromatosis, no familial tumor syndromes have been linked to AME (24). In our series, one patient (patient 6) was diagnosed with AME in the context of a pathogenic ATM mutation.
AME accounts for less than 0.5% of breast tumors, typically presenting as a small, centrally located mass with a 10% recurrence rate. Atypical AME has intermediate malignant potential, with epithelial or myoepithelial overgrowth, moderate mitotic activity [3–10 mitoses/10 high-power field (HPF)], and focal necrosis. Multiple atypical features may suggest malignancy, increasing the risk of recurrence or metastasis (20,23).
MAME shows high mitotic rates, cellular atypia, and necrosis. Rakha et al. proposed a classification into three subtypes. MAME in situ resembles ductal carcinoma in situ (DCIS), with atypical epithelial cells and defined intraductal structures, typically managed as DCIS. MAME invasive displays significant cytological atypia, increased mitotic activity, and infiltrative growth, necessitating surgical excision and potentially systemic therapies. AME with invasive carcinoma shows dominant invasive carcinoma features distinct from the AME component and is treated per invasive breast carcinoma protocols (1,20,23,25,26).
Due to the limited number of reported cases, the prognosis for PmA remains unclear. PmA is typically a low-grade carcinoma with a low mitotic rate and no necrosis. One defining feature is perineural invasion, which may contribute to local recurrence rather than aggressive distant spread. Triple-negative status results in a lack of targeted treatment options, limiting systemic therapy options. Complete excision with negative margins is recommended to reduce the risk of recurrence (6,10,18).
Implications and actions needed
The lack of standardized guidelines for diagnosis and management complicates clinical decision-making. The overlap in histological and immunohistochemical profiles further emphasizes the need for comprehensive molecular profiling. Moreover, the potential shared etiology between salivary gland and breast tumors calls for further research to assess the prevalence of salivary gland tumors in these patients and evaluate the need for enhanced screening strategies (22). Collaborative studies are essential to address these challenges and develop evidence-based protocols.
Conclusions
This case series highlights the clinical and diagnostic challenges associated with AME of the breast, particularly in differentiating it from PmA. This underscores the importance of careful pathological evaluation, as malignant transformation into MAME can significantly alter treatment strategies. This study emphasizes the importance of comprehensive evaluation to improve outcomes and expand the understanding of these rare breast tumors.
Acknowledgments
During the preparation of this work, the author(s) used ChatGPT to improve readability and language. After using this tool/service, the authors reviewed and edited the content as needed and take full responsibility for the content of the publication.
Footnote
Reporting Checklist: The authors have completed the PROCESS and AME Case Series reporting checklists. Available at https://acr.amegroups.com/article/view/10.21037/acr-24-178/rc
Peer Review File: Available at https://acr.amegroups.com/article/view/10.21037/acr-24-178/prf
Funding: None.
Conflicts of Interest: All authors have completed the ICMJE uniform disclosure form (available at https://acr.amegroups.com/article/view/10.21037/acr-24-178/coif). The authors have no conflicts of interest to declare.
Ethical Statement: The authors are accountable for all aspects of the work and ensure that questions related to the accuracy or integrity of any part of the work are appropriately investigated and resolved. All procedures performed in this study were in accordance with the ethical standards of the institutional and/or national research committee(s) and with the Helsinki Declaration (as revised in 2013). Written informed consent for publication of this case series and accompanying images was not obtained from the patients or the relatives after all possible attempts were made.
Open Access Statement: This is an Open Access article distributed in accordance with the Creative Commons Attribution-NonCommercial-NoDerivs 4.0 International License (CC BY-NC-ND 4.0), which permits the non-commercial replication and distribution of the article with the strict proviso that no changes or edits are made and the original work is properly cited (including links to both the formal publication through the relevant DOI and the license). See: https://creativecommons.org/licenses/by-nc-nd/4.0/.
References
- Castillo H, Torras I, Sanfeliu E, et al. Malignant adenomyoepithelioma of the breast: a case report and review of the literature. EGO European Gynecology and Obstetrics 2024;2023:121-5.
- Hamperl H. The myothelia (myoepithelial cells). Normal state; regressive changes; hyperplasia; tumors. Curr Top Pathol 1970;53:161-220.
- Tavassoli FA. Myoepithelial lesions of the breast. Myoepitheliosis, adenomyoepithelioma, and myoepithelial carcinoma. Am J Surg Pathol 1991;15:554-68. [Crossref] [PubMed]
- Yoon JY, Chitale D. Adenomyoepithelioma of the breast: a brief diagnostic review. Arch Pathol Lab Med 2013;137:725-9. [Crossref] [PubMed]
- Howlett DC, Mason CH, Biswas S, et al. Adenomyoepithelioma of the breast: spectrum of disease with associated imaging and pathology. AJR Am J Roentgenol 2003;180:799-803. [Crossref] [PubMed]
- Foschini MP, Morandi L, Asioli S, et al. The morphological spectrum of salivary gland type tumours of the breast. Pathology 2017;49:215-27. [Crossref] [PubMed]
- Franin I, Bubanović S, Milas I, et al. Polymorphous adenocarcinoma of the breast: A case report. Case Reports in Clinical Pathology 2022;9: [Crossref]
- Katabi N, Xu B. Polymorphous Adenocarcinoma. Surg Pathol Clin 2021;14:127-36. [Crossref] [PubMed]
- Asioli S, Marucci G, Ficarra G, et al. Polymorphous adenocarcinoma of the breast. Report of three cases. Virchows Arch 2006;448:29-34. [Crossref] [PubMed]
- Trihia HJ, Valavanis C, Novkovic N, et al. Polymorphous adenocarcinoma of the breast-an exceptionally rare entity: Clinicopathological description of a case and brief review. Breast J 2020;26:261-4. [Crossref] [PubMed]
- Zhai C, Cai Y, Lou F, et al. Multiple Primary Malignant Tumors - A Clinical Analysis of 15,321 Patients with Malignancies at a Single Center in China. J Cancer 2018;9:2795-801. [Crossref] [PubMed]
- Mathew G, Sohrabi C, Franchi T, et al. Preferred Reporting Of Case Series in Surgery (PROCESS) 2023 guidelines. Int J Surg 2023;109:3760-9. [Crossref] [PubMed]
- Korolczuk A, Amarowicz M, Bąk K, et al. Adenomyoepithelioma of the breast with late pulmonary metastases - case report and review of the literature. J Cardiothorac Surg 2016;11:121. [Crossref] [PubMed]
- Intagliata E, Gangi S, Trovato C, et al. Benign adenomyoepitelioma of the breast: Presentation of two rare cases and review of literature. Int J Surg Case Rep 2020;67:1-4. [Crossref] [PubMed]
- Zhang L, Qin G, He Z, et al. The mammography and MRI manifestations of adenomyoepithelioma of the breast. Clin Radiol 2016;71:235-43. [Crossref] [PubMed]
- Parikh P, Jameel Z, Falcon S, et al. Adenomyoepithelioma of the breast: Case series and literature review. Clin Imaging 2021;75:157-64. [Crossref] [PubMed]
- Bajpai J, Punatar SB, Gupta A, et al. Bilateral adenomyoepithelioma of breast. J Cancer Res Ther 2013;9:523-5. [Crossref] [PubMed]
- Foschini MP, Krausz T. Salivary gland-type tumors of the breast: a spectrum of benign and malignant tumors including "triple negative carcinomas" of low malignant potential. Semin Diagn Pathol 2010;27:77-90. [Crossref] [PubMed]
- Adejolu M, Wu Y, Santiago L, et al. Adenomyoepithelial tumors of the breast: imaging findings with histopathologic correlation. AJR Am J Roentgenol 2011;197:W184-90. [Crossref] [PubMed]
- Rakha E, Tan PH, Ellis I, et al. Adenomyoepithelioma of the breast: a proposal for classification. Histopathology 2021;79:465-79. [Crossref] [PubMed]
- Wang D, Zhang J, Jiang L, et al. Malignant adenomyoepithelioma of the breast: cases report and literature review. Am J Transl Res 2022;14:8788-92.
- Valstar MH, Schaapveld M, van den Broek EC, et al. Risk of breast cancer in women after a salivary gland carcinoma or pleomorphic adenoma in the Netherlands. Cancer Med 2021;10:424-34. [Crossref] [PubMed]
- Vicente, Marco. Science Direct. [cited 2025 Jan 28]. Salivary gland-like breast tumors: A review of diagnostic features and prognosis. Available online: https://www.elsevier.es/es-revista-revista-senologia-patologia-mamaria--131-pdf-S0214158222000731
- Hegyi L, Thway K, Newton R, et al. Malignant myoepithelioma arising in adenomyoepithelioma of the breast and coincident multiple gastrointestinal stromal tumours in a patient with neurofibromatosis type 1. J Clin Pathol 2009;62:653-5. [Crossref] [PubMed]
- Moritz AW, Wiedenhoefer JF, Profit AP, et al. Breast adenomyoepithelioma and adenomyoepithelioma with carcinoma (malignant adenomyoepithelioma) with associated breast malignancies: A case series emphasizing histologic, radiologic, and clinical correlation. Breast 2016;29:132-9. [Crossref] [PubMed]
- Hayes MM. Adenomyoepithelioma of the breast: a review stressing its propensity for malignant transformation. J Clin Pathol 2011;64:477-84. [Crossref] [PubMed]
Cite this article as: Layton C, De la Torre MP, Melnikau S, Gomez C, Avisar E. A case series of adenomyoepithelioma of the breast with a case of malignant adenomyoepithelioma misinterpreted as polymorphous adenocarcinoma. AME Case Rep 2025;9:168.

