Colo-ovarian fistula masquerading as tubo-ovarian abscess: a case report
Highlight box
Key findings
• This case demonstrates the diagnostic work-up and successful surgical management of a colo-ovarian fistula in a 36-year-old female who presented with an acute onset of left lower abdominal pain, initially suspicious for tubo-ovarian abscess.
What is known and what is new?
• Complications of diverticular disease include abscess formation, perforation, and fistulation. Complicated diverticulitis is associated with significantly increased morbidity and mortality.
• This case underscores the prudence of including colo-ovarian fistulas in complicated diverticulitis on the differential diagnosis for abdominal pain in females. The rarity of this condition leads to misdiagnosis and delayed management, particularly in premenopausal patients in whom symptoms can be nonspecific or mimic gynecologic conditions.
What is the implication, and what should change now?
• While conservative management may be considered for colo-ovarian fistulas, early surgical intervention is often necessary to prevent recurrence and complications. Establishing standardized guidelines for diagnosis and treatment will be crucial in improving patient outcomes in the future.
Introduction
Diverticulitis is a prevalent gastrointestinal disorder associated with significant morbidity and healthcare costs. In the United States alone, acute diverticulitis accounts for over 2.7 million annual ambulatory visits, approximately 200,000 hospital admissions, and more than $2 billion in healthcare expenditure (1). Its pathogenesis is hypothesized to involve obstruction and trauma to a diverticulum, resulting in ischemia, micro-perforation, and infection (1). Complicated diverticulitis, which comprises about 12% of cases, is associated with significantly increased mortality and various complications, including abscess formation, perforation, and fistulation (2).
Diverticular fistulas are rare, accounting for approximately 14% of diverticulitis complications (3). The most common fistulas are colo-vesical (65%) and colo-vaginal (25%), followed by colo-enteric (6.5%) and colo-uterine (3%) (4-6). Colo-adnexal fistulas are exceptionally rare, with few cases documented in the literature (6). Despite the proximity of the sigmoid colon to adnexal structures, such fistulas remain infrequent.
This case report underscores the diagnostic and surgical challenges of managing a colo-ovarian fistula in a patient with subclinical diverticulitis. We present a case of colo-ovarian fistula complicating diverticulitis in accordance with the CARE reporting checklist (available at https://acr.amegroups.com/article/view/10.21037/acr-2025-112/rc).
Case presentation
A 36-year-old obese female with no significant past medical or surgical history presented to an outside facility with a one-day history of sudden-onset left lower quadrant abdominal pain that worsened with movement and improved with defecation and urination. She denied fevers, sweats, chills, abnormal vaginal discharge or abnormal uterine bleeding. She had not been sexually active in at least a year and denied a history of sexually transmitted infections, ovarian cysts, or intrauterine devices. Her menstrual cycles were regular, and her last menstrual period occurred one week prior to admission. At the outside facility, an abdominal-pelvic computed tomography (CT) scan revealed a 4 cm left adnexal mass, concerning for tubo-ovarian abscess (TOA). Empiric treatment with ceftriaxone, metronidazole, and doxycycline was initiated for suspected TOA. She was transferred to our facility for possible CT-guided drainage.
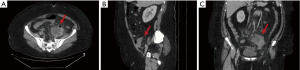
Upon presentation, vitals were within normal limits. Physical examination revealed a soft, non-distended abdomen with mild tenderness in the left lower quadrant on deep palpation but no guarding or rebound tenderness. A pelvic exam was negative for mucopurulent discharge or cervical motion tenderness. Initial laboratory investigation showed marked leukocytosis (19.3 k/mm3) with neutrophilia (80.9%). A pregnancy test was negative, as were nucleic acid amplification tests (NAAT) for Chlamydia trachomatis and Neisseria gonorrhoeae. Urinalysis was unremarkable. An in-house abdominal-pelvic CT with intravenous (IV) contrast was completed to assess appropriateness of percutaneous drainage by interventional radiology. It revealed fat stranding and edema within the pelvis and a left adnexal fluid collection measuring 6.8 cm, containing septations as well as air, and adjacent free intraperitoneal air without any presence of enlarged lymph nodes (Figure 1). The position of the adnexal lesion and adjacent bowel precluded percutaneous drainage. Transvaginal ultrasound was not performed, as the outside facility CT scan already established the presence of an adnexal mass, which was initially concerning for TOA. Furthermore, given the patient’s nonspecific symptoms, the decision was made to proceed with a CT scan with IV contrast to evaluate for possible gastrointestinal pathologies
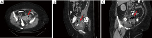
A CT scan with oral and rectal contrast was performed to better delineate the source of infection, assess bowel involvement, evaluate interval improvement after 48 hours of antibiotics, and determine whether percutaneous drainage remained unfeasible. This demonstrated no evidence of obstruction but revealed colonic diverticulosis and a stable complex cystic lesion in the left adnexa containing multiple air-fluid levels. A linear tract of rectal contrast extended from a colonic diverticulum to the adnexal collection, which contained a small amount of contrast (Figure 2).
Given these findings, the patient’s antibiotic regimen was adjusted to levofloxacin and metronidazole for broader anaerobic and gram-negative coverage. Due to the posterior location of the abscess and surrounding loops of bowel, percutaneous drainage still could not be safely performed, prompting laparoscopic intervention.
Intraoperatively, there was marked inflammation of the sigmoid colon with dense adhesions to the left ovary and abdominal wall. A large abscess involving the colonic mesentery and left ovary was drained, yielding approximately 100 mL of purulent material. The procedure included a left salpingo-oophorectomy and sigmoid colectomy with hand-sewn colorectal anastomosis. The patient tolerated the surgery well, and there were no intraoperative complications.
Pathological examination of the sigmoid colon revealed marked diverticulosis with diverticulitis, colonic perforation, peri-colonic fibrosis, and peritonitis. Examination of the left ovary and fallopian tube revealed a specimen measuring 8 cm with a 6 cm cystic cavity containing incompletely digested food and extensive fibroinflammatory changes, with no evidence of malignancy.
The patient had an uncomplicated postoperative course and was discharged on postoperative day three in stable condition with significant clinical improvement. She consented to routine postoperative follow-up at 2 weeks and gastroenterology evaluation, including colonoscopy, within 6 weeks. At her follow-up visit, she was asymptomatic, had fully resumed her normal daily activities, and had a colonoscopy scheduled for four weeks thereafter. A timeline summarizing the chronology of events, including presentation, imaging, interventions, and follow-up, is provided to illustrate the progression and management of this case (Figure 3).
All procedures performed in this study were in accordance with the ethical standards of the institutional and/or national research committee(s) and with the Declaration of Helsinki and its subsequent amendments. Written informed consent was obtained from the patient for the publication of this case report and accompanying images. A copy of the written consent is available for review by the editorial office of this journal.
Discussion
Colo-adnexal fistulas complicating diverticulitis are exceptionally rare, with only a few cases reported in the literature and even fewer involving direct communication between the colon and ovary. These cases are often initially misdiagnosed as alternative pathologies, such as retained intrauterine devices (6) or TOAs (7). In some instances, diverticulitis-associated fistulas are not identified until intraoperative exploration (8,9). A delayed or missed diagnosis increases the risk of complications such as persistent pelvic infection and abscess formation, contributing to prolonged hospital stays and repeated interventions, which impose a significant burden on both patients and healthcare resources (5).
Identification of colo-adnexal fistulas can be challenging. Although the presence of recurrent vaginal discharge, urinary tract infection, or a history of diverticulitis should prompt consideration of this diagnosis, clinical manifestations often vary and may be nonspecific (6,8,9). In our case, the vague clinical presentation with lack of common risk factors for TOA (i.e., sexual activity, intrauterine device use, history of sexually transmitted disease) (10) along with a negative infectious workup, prompted further evaluation for non-gynecologic etiologies.
Currently, no evidence-based imaging algorithm exists for detecting colo-ovarian fistulas (6,9). While ultrasound remains the first-line imaging modality for abdominal/pelvic pain in reproductive-age women to detect gynecologic pathology (11), it may fail to detect underlying gastrointestinal conditions (12). A retrospective study by Nielsen et al. (2014) reported misdiagnosis rates of 17% in uncomplicated and 79% in complicated diverticulitis (12). Abdominal/pelvic pain in reproductive-age women can arise from gynecologic, gastrointestinal, urinary, or other sources, and given its often nonspecific presentation, further imaging is typically warranted to guide management (13).
The American College of Radiology (ACR) Appropriateness Criteria recommends contrast-enhanced CT when the clinical presentation is unclear or gastrointestinal pathology is suspected, due to its high diagnostic accuracy, rapid acquisition, and ability to evaluate multiple pelvic and abdominal structures (13). A retrospective study demonstrated that CT had 100% sensitivity in detecting TOAs, and follow-up ultrasound did not contribute additional diagnostic value (13). Furthermore, a large prospective study of over 1,000 patients presenting with abdominal pain showed that CT outperformed ultrasound in detecting diverticulitis (81% vs. 61%, P=0.048) (13). With our patient’s nonspecific presentation, CT was favored over ultrasound, in accordance with ACR guidelines (13). In addition to detection of abscesses, CT scans can also guide percutaneous drainage as well as provide localization of the disease segment for operative planning if required (14).
Contrast-enhanced CT is also the preferred method to evaluate diverticulitis complications such as fistulas because it more accurately delineates inflammation, abscesses, and fistulous tracts—features often missed by ultrasound or non-contrast CT (10,14). CT should be performed promptly once suspicion arises or ultrasound is inconclusive to avoid diagnostic delays and facilitate timely management.
The presence of gas collections in the adnexa near inflamed bowel on CT is suggestive of colo-adnexal fistulas (7,9,14,15). A retrospective study by Panghaal et al. (2009) reported that this finding has a sensitivity of 88% and specificity of 100% for diagnosing these fistulas (9). Rectal contrast may be added selectively, particularly when colonic involvement is suspected, improving visualization of fistulous connections (7,16). In our patient, employing rectal contrast was pivotal in confirming the presence and location of the colo-ovarian fistula. Although rectal contrast is not indicated in all cases of diverticulitis, its role in complex or recurrent presentations should be considered in future diagnostic guidelines. Due to the rarity of colo-ovarian fistulas secondary to diverticulitis, no standardized treatment protocol has been established. Initial management often begins conservatively, with antibiotic therapy and percutaneous drainage of pelvic collections (1,17). However, these measures often fail to provide lasting resolution, likely due to persistent diverticular disease that predisposes to recurrence (9,17). Definitive treatment typically involves surgery, tailored to the patient’s clinical stability and disease severity. In stable patients, resection of the involved bowel segment with primary anastomosis is preferred (1). Hemodynamically unstable patients often require Hartmann’s procedure (a sigmoid colectomy with end colostomy) (1,9). Additionally, minimally invasive laparoscopic approaches have demonstrated favorable postoperative outcomes in selected cases (9).
In summary, this case describes a rare and diagnostically challenging diverticulitis-associated colo-ovarian fistula initially misidentified as a TOA, highlighting the diagnostic challenges of this condition posed by nonspecific pelvic symptoms. A key strength of this case is the comprehensive correlation of clinical, radiologic, and surgical findings, which adds to the limited literature on this uncommon entity. The use of contrast-enhanced CT and operative confirmation strengthened diagnostic accuracy and informed management. Limitations include the single-patient design and lack of ultrasound, which prevents comparison across imaging modalities. Nevertheless, the case emphasizes the value of early CT imaging and the need to consider gastrointestinal sources when evaluating complex pelvic infections.
Conclusions
Colo-ovarian fistulas complicating diverticulitis are exceptionally rare, often leading to misdiagnosis and delays in management, particularly in premenopausal patients, where symptoms can mimic gynecologic conditions. Due to its nonspecific presentation, diagnosis can be challenging and often requires detailed imaging and a high index of suspicion. This case prompts the consideration of rectal contrast, particularly when there is a lack of clarity between a gastrointestinal versus a gynecologic etiology. As more cases of colo-adnexal fistulas are reported, a clearer understanding of their presentation, diagnosis, and optimal treatment may emerge. Our case contributes to the growing literature by emphasizing the need for heightened clinical awareness and a multidisciplinary approach. While conservative management may be considered, early surgical intervention is frequently necessary to prevent recurrence and complications. Establishing standardized guidelines for diagnosis and treatment will be crucial in improving patient outcomes in the future.
Acknowledgments
None.
Footnote
Reporting Checklist: The authors have completed the CARE reporting checklist. Available at https://acr.amegroups.com/article/view/10.21037/acr-2025-112/rc
Peer Review File: Available at https://acr.amegroups.com/article/view/10.21037/acr-2025-112/prf
Funding: None.
Conflicts of Interest: All authors have completed the ICMJE uniform disclosure form (available at https://acr.amegroups.com/article/view/10.21037/acr-2025-112/coif). The authors have no conflicts of interest to declare.
Ethical Statement: The authors are accountable for all aspects of the work in ensuring that questions related to the accuracy or integrity of any part of the work are appropriately investigated and resolved. All procedures performed in this study were in accordance with the ethical standards of the institutional and/or national research committee(s) and with the Declaration of Helsinki and its subsequent amendments. Written informed consent was obtained from the patient for the publication of this case report and accompanying images. A copy of the written consent is available for review by the editorial office of this journal.
Open Access Statement: This is an Open Access article distributed in accordance with the Creative Commons Attribution-NonCommercial-NoDerivs 4.0 International License (CC BY-NC-ND 4.0), which permits the non-commercial replication and distribution of the article with the strict proviso that no changes or edits are made and the original work is properly cited (including links to both the formal publication through the relevant DOI and the license). See: https://creativecommons.org/licenses/by-nc-nd/4.0/.
References
- Strate LL, Morris AM. Epidemiology, Pathophysiology, and Treatment of Diverticulitis. Gastroenterology 2019;156:1282-1298.e1. [Crossref] [PubMed]
- Coakley KM, Davis BR, Kasten KR. Complicated Diverticular Disease. Clin Colon Rectal Surg 2021;34:96-103. [Crossref] [PubMed]
- Bharucha AE, Parthasarathy G, Ditah I, et al. Temporal Trends in the Incidence and Natural History of Diverticulitis: A Population-Based Study. Am J Gastroenterol 2015;110:1589-96. [Crossref] [PubMed]
- Stollman N, Raskin JB. Diverticular disease of the colon. Lancet 2004;363:631-9. [Crossref] [PubMed]
- Gopalan V, Baker WG, Albright S, et al. A Rare Case of Diverticulitis With a Colo-Adnexal Fistula. Cureus 2023;15:e47017. [Crossref] [PubMed]
- Rosenzweig M, Marshall J, White RA, et al. Colo-ovarian fistula. J Surg Case Rep 2017;2017:rjx228. [Crossref] [PubMed]
- Jangam A, Gillespie C. A rare case of colo-salpingeal fistula complicating acute sigmoid diverticulitis. J Surg Case Rep 2022;2022:rjac573. [Crossref] [PubMed]
- Jones DH, Spielmann SM, Falconi S, et al. Colo-Fallopian Fistula: A Rare Complication of Sigmoid Colon Diverticulitis. Cureus 2023;15:e43331. [Crossref] [PubMed]
- Panghaal VS, Chernyak V, Patlas M, et al. CT features of adnexal involvement in patients with diverticulitis. AJR Am J Roentgenol 2009;192:963-6. [Crossref] [PubMed]
- Bridwell RE, Koyfman A, Long B. High risk and low prevalence diseases: Tubo-ovarian abscess. Am J Emerg Med 2022;57:70-5. [Crossref] [PubMed]
- Basta Nikolic M, Spasic A, Hadnadjev Simonji D, et al. Imaging of acute pelvic pain. Br J Radiol 2021;94:20210281. [Crossref] [PubMed]
- Nielsen K, Richir MC, Stolk TT, et al. The limited role of ultrasound in the diagnostic process of colonic diverticulitis. World J Surg 2014;38:1814-8. [Crossref] [PubMed]
- Scheirey CD, Fowler KJ, et al. ACR Appropriateness Criteria(®) Acute Nonlocalized Abdominal Pain. J Am Coll Radiol 2018;15:S217-31.
- Ambrosetti P, Becker C, Terrier F. Colonic diverticulitis: impact of imaging on surgical management -- a prospective study of 542 patients. Eur Radiol 2002;12:1145-9. [Crossref] [PubMed]
- Tochigi T, Kosugi C, Shuto K, et al. Management of complicated diverticulitis of the colon. Ann Gastroenterol Surg 2018;2:22-7. [Crossref] [PubMed]
- Tiralongo F, Di Pietro S, Milazzo D, et al. Acute Colonic Diverticulitis: CT Findings, Classifications, and a Proposal of a Structured Reporting Template. Diagnostics (Basel) 2023;13:3628. [Crossref] [PubMed]
- Quintela C, Santos C, Silva AC, et al. Colo-ovarian Fistula complicating acute diverticulitis: Two cases and literature review. Int J Surg Case Rep 2020;77:476-82. [Crossref] [PubMed]
Cite this article as: Tou LC, Mieles M, Harper J, Biggs K. Colo-ovarian fistula masquerading as tubo-ovarian abscess: a case report. AME Case Rep 2025;9:125.

