Bilateral temporomandibular joint dislocation secondary to acute dystonia induced by antipsychotic depot injection: a case report
Highlight box
Key findings
• This case describes an uncommon emergency presentation of bilateral temporomandibular joint (TMJ) dislocation caused by acute dystonia following an intramuscular antipsychotic depot injection in a patient with schizophrenia.
What is known and what is new?
• Acute dystonic reactions are recognised side effects of antipsychotic medications, typically involving ocular, cervical, or truncal musculature. TMJ dislocation secondary to orofacial dystonia is exceptionally rare and often misdiagnosed or delayed in recognition.
• This report documents a case of bilateral TMJ dislocation in which successful reduction was achieved under general anaesthesia, underscoring the importance of early recognition of drug-induced movement disorders and their mechanical complications.
What is the implication, and what should change now?
• Clinicians should maintain high vigilance for acute dystonia and its rare complications following antipsychotic administration, especially in emergency and mental health settings. Early intervention can prevent airway compromise, prolonged dislocation, and long-term temporomandibular dysfunction.
Introduction
Background
Temporomandibular joint (TMJ) dislocation is an uncommon but potentially distressing condition in which the mandibular condyle is displaced from the glenoid fossa, most often in an anterior direction. Dislocation can occur unilaterally or bilaterally, with the latter causing an open-locked jaw, trismus, facial pain, and significant functional impairment (1,2). While traumatic, iatrogenic, or spontaneous causes are frequently documented, dislocations secondary to acute drug-induced movement disorders are rarely reported.
Acute dystonia is a form of extrapyramidal side effect often associated with antipsychotic medications, particularly first-generation agents and depot formulations. It typically involves involuntary, painful contractions of the muscles of the face, neck, back, or limbs and can occur within hours to days of exposure (3,4). Orofacial dystonia is a recognised subtype and may include trismus, tongue protrusion, jaw clenching, or buccolingual crisis (2). In rare instances, the sustained muscular contractions of dystonia may precipitate mechanical complications such as TMJ dislocation, although this is seldom reported in the literature.
Rationale and knowledge gap
TMJ dislocation as a direct mechanical consequence of acute dystonia is not commonly described, and its association with antipsychotic medications remains under-recognised. Many reports focus on chronic or recurrent TMJ dislocation in patients on long-term neuroleptic therapy, often requiring surgical intervention (5). However, isolated acute presentations—particularly bilateral dislocations occurring soon after depot antipsychotic administration—are rarely reported and may be misinterpreted as behavioural disturbance or dental pathology.
There is a lack of awareness regarding this potential adverse effect among both emergency and psychiatric clinicians, leading to delays in diagnosis and management. Given the increasing use of long-acting injectable antipsychotics in community psychiatry, timely recognition of extrapyramidal side effects and their complications is critical to avoid prolonged morbidity.
Objective
This case report aims to present a rare but clinically significant example of bilateral TMJ dislocation secondary to acute dystonia induced by an intramuscular antipsychotic depot injection. It highlights the diagnostic challenges, the emergency management approach, and the importance of collaboration between emergency, psychiatric, and maxillofacial services to achieve successful outcomes. We present this case in accordance with the CARE reporting checklist (available at https://acr.amegroups.com/article/view/10.21037/acr-2025-105/rc).
Case presentation
A 52-year-old man received 4-weekly 150 mg flupentixol depot injections for the management of paranoid schizophrenia. The community psychiatry team, concerned about signs of early relapse—including increasing social withdrawal and subtle thought disorganisation—increased his depot dose to 170 mg. His background included hypertension and hyperlipidaemia, managed with amlodipine and atorvastatin, and pre-diabetes. He had no previous history of movement disorders or musculoskeletal conditions. Procyclidine 5 mg once daily had been prescribed for extrapyramidal symptoms (EPS) prophylaxis, but recent carer reports suggested poor medication adherence.
Three weeks after increasing the depot dose, the patient’s sister, who was his primary carer, contacted the general practitioner (GP) surgery expressing concerns about a notable deterioration in his mental state. During a telephone consultation with the duty doctor, she described increasing confusion, irritability, emotional blunting, and declining personal care. She also reported new-onset slurred speech and continuous drooling. The GP suspected a possible neurological event or medication-related side effect and arranged a same-day home visit.
When the GP arrived at the patient’s home, the patient was found sitting on the floor in his dimly lit living room. The patient appeared dishevelled, with soiled clothing and poor attention to hygiene. Several medication packs lay scattered and unopened on the side table. The patient was markedly lethargic, disoriented, and had a flattened affect. When prompted, he attempted to respond, but his speech was slow, heavily slurred, and effortful, with significant delays between question and response.
Neurological examination revealed classic features of an acute dystonic reaction. There were sustained, involuntary muscle spasms in the neck and shoulders (retrocollis), intermittent facial grimacing, blepharospasm, and persistent tongue protrusion. He demonstrated hypersalivation and tremor, with excessive blinking and orofacial twisting. The patient appeared notably distressed and attempted to communicate his discomfort by pointing towards his mouth.
Closer examination revealed the patient’s mouth was held rigidly open, and he was unable to close it voluntarily. Bilateral anterior displacement of the mandibular condyles was noted, with visible and palpable prominence in the preauricular region, consistent with bilateral temporomandibular joint (TMJ) dislocation. Despite the severity of the dislocation, the patient did not complain of significant pain. The GP considered whether this was due to blunted pain perception related to schizophrenia, a high degree of muscle tension, or dissociation from discomfort.
An initial Airway, Breathing, Circulation (ABC) assessment was performed to rule out airway compromise and other systemic complications. Given concerns about dehydration, prolonged muscle contraction, and potential airway risk, emergency medical transport was arranged. The patient was gently assisted into a supported seated position and transported to the A&E department.
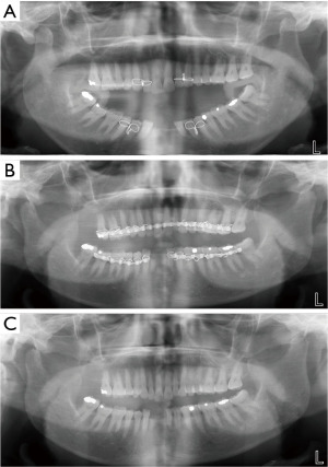
On arrival at A&E, the trauma team initiated further investigations. A trauma series confirmed bilateral anterior TMJ dislocation with no evidence of mandibular fracture or dental trauma (Figure 1A). Initial attempts at manual closed reduction using the traditional two-thumb technique under sedation with intravenous (IV) midazolam were unsuccessful due to persistent muscle rigidity and jaw clenching. Due to the patient’s increasing discomfort and the mechanical difficulty resulting from severe dystonia, a reduction under general anaesthesia was arranged.
Under anaesthesia, muscular relaxation was achieved, allowing successful reduction of both TMJs with a satisfying bilateral click (Figure 1B) by the oral and maxillofacial surgical team. Stabilising elastics and braces were applied to minimise the risk of recurrence. Post-reduction, the patient was closely monitored and a soft diet was advised.
Liaison psychiatry and the community mental health team (CMHT) jointly reviewed the patient while he remained an inpatient. A diagnosis of acute drug-induced dystonia secondary to recent flupentixol dose escalation was confirmed. His antipsychotic depot was reduced back to 150 mg, and regular procyclidine (5 mg three times daily) was reintroduced. The patient’s dystonic symptoms resolved completely within two weeks.
At the outpatient oral and maxillofacial review four weeks later, the braces and elastics were removed (Figure 1C). He had made a full anatomical and functional recovery, with no further dislocation or restriction in jaw movement. His mental state had also stabilised, supported by closer GP and CMHT follow-up. His treatment plan was modified to include more regular community reviews, adherence monitoring, and education on early signs of extrapyramidal side effects to prevent recurrence (Table 1).
Table 1
| Time point | Event | Clinical details |
|---|---|---|
| Week 0 | Flupentixol depot dose increased to 170 mg | Psychiatric team concerned about relapse; previously stable on 150 mg |
| Week 3 | Sister contacts GP | Reports confusion, slurred speech, drooling, and social withdrawal |
| Week 3–same day | GP home visit | Dystonic reaction noted, bilateral TMJ dislocation suspected |
| Week 3–same day | ED attendance | Dislocation confirmed radiographically; initial manual reduction failed |
| Week 3 + day 1 | GA reduction | Bilateral TMJ successfully reduced under general anaesthesia |
| Inpatient stay | Multidisciplinary review | CMHT and psychiatry confirm dystonic reaction; antipsychotic dose adjusted |
| Week 6 | Follow-up | Resolution of dystonia; patient remains well supported |
| Week 8 | Maxillofacial review | Stabilisation braces removed; full functional recovery achieved |
CMHT, Community Mental Health Team; ED, emergency department; GA, general anaesthesia; GP, general practitioner; TMJ, temporomandibular joint.
The patient underwent outpatient reviews by oral and maxillofacial surgery and psychiatry at four- and eight-week post-reduction. He was closely monitored during this period for any signs of recurrent dystonia or TMJ instability; no recurrence of either was observed. The psychiatric team maintained his antipsychotic depot dosage at 150 mg, resulting in effective symptom control and improved medication adherence.
All procedures performed in this study were in accordance with the ethical standards of the institutional and/or national research committee(s) and with the Declaration of Helsinki and its subsequent amendments. Written informed consent was obtained from the patient for the publication of this case report and accompanying images. A copy of the written consent is available for review by the editorial office of this journal.
Discussion
Key findings
This case illustrates a rare but clinically significant complication of antipsychotic medication: bilateral TMJ dislocation secondary to acute dystonia following dose escalation of a long-acting depot antipsychotic. The patient’s presentation was complex, involving both psychiatric deterioration and orofacial dystonia, leading to mechanical joint dislocation. The case highlights the challenges of diagnosing physical complications in patients with mental health disorders and underscores the importance of integrated care across general practice, emergency medicine, psychiatry, and oral maxillofacial surgery.
Strengths and limitations
The strength of this case lies in its detailed timeline and multidisciplinary management, demonstrating timely GP-led intervention, appropriate escalation, and collaborative treatment planning. It adds to the limited pool of published cases where antipsychotic-induced dystonia directly results in TMJ dislocation and successful reduction under general anaesthesia is required. The case also highlights the functional and anatomical recovery made possible by close community follow-up and treatment optimisation.
Limitations include its single-patient nature, limiting broader generalisability. Additionally, the patient’s long-standing psychiatric condition may have influenced both symptom perception and reporting, making it difficult to determine the exact timeline and severity of early symptoms. Moreover, the absence of pharmacogenomic data means interindividual sensitivity to flupentixol could not be explored.
Comparison with similar research
While EPSs, including acute dystonia, are well-documented side effects of typical antipsychotics like flupentixol, their progression to TMJ dislocation is exceedingly rare. A case by Nikunj et al. described chronic oromandibular dystonia resulting in recurrent TMJ dislocation in a long-term antipsychotic user, ultimately requiring surgical intervention (2). Similarly, Undt et al. reported cases of recurrent mandibular dislocation in patients under neuroleptic therapy, treated surgically with bilateral eminectomy (5).
However, few cases describe acute, bilateral TMJ dislocation occurring shortly after depot dose escalation. This case uniquely underscores the rapid onset of orofacial dystonia with mechanical consequences and the successful, non-surgical resolution facilitated by early multidisciplinary recognition. It reinforces previous literature associating high-potency typical antipsychotics and depot formulations with increased risk of extrapyramidal syndromes (3,4).
Explanations of findings
Flupentixol is a first-generation antipsychotic with high dopamine D2 receptor affinity, particularly in the nigrostriatal pathway, a key circuit in movement control. Disruption of dopamine signalling in this region can result in acute dystonia, manifesting as painful, involuntary muscle contractions of the face, neck, and jaw (4). In this case, the recent increase in depot dosage likely triggered or intensified dopaminergic blockade, overwhelming the protective effect of intermittent procyclidine, particularly with poor adherence.
Acute dystonia typically arises due to dopamine D2 receptor blockade in the basal ganglia, specifically within the nigrostriatal pathway, which is integral for regulating muscle tone and coordination. Antipsychotics, particularly first-generation depot formulations such as flupentixol, strongly antagonise these receptors, causing a disruption in normal dopaminergic signalling and leading to excessive, uncontrolled muscular contractions. This pathophysiological mechanism can result in severe muscular spasms and sustained orofacial hyperactivity, occasionally precipitating mechanical complications such as TMJ dislocation, as illustrated in this case.
Oromandibular dystonia, while uncommon, is known to involve repetitive contractions of the jaw, tongue, and perioral muscles. When sustained, these movements can displace the mandibular condyles anteriorly beyond the articular eminence, particularly in the context of muscle fatigue or anatomical predisposition (1,2). The patient’s muted pain response may reflect altered sensory processing due to schizophrenia or the overwhelming influence of dystonic spasm on conscious pain perception. Although acute dystonia typically develops within the first few days of antipsychotic exposure, depot formulations may lead to delayed onset, as illustrated in Figure 2.
The failure of initial reduction attempts highlights the mechanical barrier posed by severe muscle contraction, which necessitated deeper anaesthesia to facilitate successful management. Other differentials such as seizure activity, tetanus, dental pathology, or functional disorders were considered but ruled out based on clinical history, presentation, and investigation findings (Table 2).
Table 2
| Differential diagnosis | Key features | Reason for exclusion |
|---|---|---|
| Seizure-related trismus | Postictal confusion, tongue biting, incontinence | No seizure history, no altered consciousness, full recall of events |
| Tetanus | Generalised rigidity, risus sardonicus, recent wound | Fully immunised, no recent injuries or systemic symptoms |
| Dental abscess | Localised swelling, facial pain, fever | No dental tenderness, normal inflammatory markers, afebrile |
| Temporomandibular joint pathology (non-dystonic) | History of joint instability, trauma, or chronic dysfunction | No prior TMJ disorder or trauma; sudden onset linked to muscle spasm |
| Functional (conversion) disorder | Non-anatomical signs, inconsistent exam, stress-related | Radiographic confirmation of dislocation ruled out psychogenic cause |
TMJ, temporomandibular joint.
Implications and actions needed
This case reinforces the need for heightened clinical vigilance for acute dystonia in patients receiving high-potency or depot antipsychotics. Bilateral TMJ dislocation is a rare but serious complication that may be mistaken for psychogenic distress or non-compliance in psychiatric patients. Clinicians across all settings—including GPs, A&E teams, and psychiatrists—must be attuned to early neuromuscular signs such as jaw stiffness, tongue protrusion, and facial spasm.
Early intervention with anticholinergic medication and dose review can prevent progression to mechanical complications. Additionally, timely access to oral and maxillofacial expertise is essential in the event of joint dislocation. Depot antipsychotic regimens should be reviewed periodically, and proactive monitoring for extrapyramidal side effects—especially after dosage adjustments—should become routine.
This case further supports the role of community psychiatry and primary care collaboration in identifying and managing complex side effects, and highlights the importance of patient and carer education on early warning signs of EPS.
Conclusions
This case underscores the rare yet clinically significant risk of bilateral TMJ dislocation secondary to acute dystonia induced by depot antipsychotic dose escalation. Early recognition and prompt multidisciplinary intervention are crucial to prevent severe morbidity. Clinicians should maintain a high index of suspicion for extrapyramidal side effects presenting as mechanical complications in psychiatric patients. Effective collaboration between emergency, psychiatric, and maxillofacial services optimises patient outcomes.
Acknowledgments
None.
Footnote
Reporting Checklist: The authors have completed the CARE reporting checklist. Available at https://acr.amegroups.com/article/view/10.21037/acr-2025-105/rc
Peer Review File: Available at https://acr.amegroups.com/article/view/10.21037/acr-2025-105/prf
Funding: None.
Conflicts of Interest: All authors have completed the ICMJE uniform disclosure form (available at https://acr.amegroups.com/article/view/10.21037/acr-2025-105/coif). W.J. serves as an unpaid editorial board member of AME Case Reports from July 2024 to June 2026. The other authors have no conflicts of interest to declare.
Ethical Statement: The authors are accountable for all aspects of the work in ensuring that questions related to the accuracy or integrity of any part of the work are appropriately investigated and resolved. All procedures performed in this study were in accordance with the ethical standards of the institutional and/or national research committee(s) and with the Declaration of Helsinki and its subsequent amendments. Written informed consent was obtained from the patient for the publication of this case report and accompanying images. A copy of the written consent is available for review by the editorial office of this journal.
Open Access Statement: This is an Open Access article distributed in accordance with the Creative Commons Attribution-NonCommercial-NoDerivs 4.0 International License (CC BY-NC-ND 4.0), which permits the non-commercial replication and distribution of the article with the strict proviso that no changes or edits are made and the original work is properly cited (including links to both the formal publication through the relevant DOI and the license). See: https://creativecommons.org/licenses/by-nc-nd/4.0/.
References
- Jerjes W, Upile T, Abbas S, et al. Muscle disorders and dentition-related aspects in temporomandibular disorders: controversies in the most commonly used treatment modalities. Int Arch Med 2008;1:23. [Crossref] [PubMed]
- Nikunj A, Khan N, Rajkhokar D, et al. Drug-Induced Oromandibular Dystonia Presenting as Chronic Temporomandibular Joint Dislocation: A Rare Case Report. Cureus 2022;14:e23478. [Crossref] [PubMed]
- Orsolini L, Tomasetti C, Valchera A, et al. An update of safety of clinically used atypical antipsychotics. Expert Opin Drug Saf 2016;15:1329-47. [Crossref] [PubMed]
- Martino D, Karnik V, Osland S, et al. Movement Disorders Associated With Antipsychotic Medication in People With Schizophrenia: An Overview of Cochrane Reviews and Meta-Analysis. Can J Psychiatry 2018;63:706743718777392. [Crossref] [PubMed]
- Undt G, Weichselbraun A, Wagner A, et al. Recurrent mandibular dislocation under neuroleptic drug therapy, treated by bilateral eminectomy. J Craniomaxillofac Surg 1996;24:184-8. [Crossref] [PubMed]
Cite this article as: Stevenson H, Ramsay D, Jerjes W. Bilateral temporomandibular joint dislocation secondary to acute dystonia induced by antipsychotic depot injection: a case report. AME Case Rep 2025;9:156.

