Fully robotic circumferential resection for midtracheal mucoepidermoid carcinoma: a report of 2 cases
Highlight box
Key findings
• A fully robotic thoracoscopic approach under veno-venous extracorporeal membrane oxygenation (VV-ECMO) is a feasible and effective method for complete primary resection of tracheal mucoepidermoid carcinoma (MEC). When performed by an experienced surgeon and multidisciplinary oncology team, it yields excellent intra- and postoperative outcomes.
What is known and what is new?
• It is known that primary tracheobronchial MEC is rare and often diagnosed late due to slow growth and subtle symptoms. Surgical resection is the standard treatment with low morbidity and favorable long-term survival, typically via thoracotomy, sternotomy, or video-assisted thoracoscopy, while proximal tumors may be accessed cervically. Robotic-assisted tracheal surgery is emerging as a promising but less explored alternative.
• This study demonstrates that robotic-assisted tracheal surgery is feasible and highlights the role of VV-ECMO in maintaining oxygenation during the procedure.
What is the implication, and what should change now?
• Fully robotic thoracoscopic resection under VV-ECMO is a feasible option for midtracheal tumors, pending negative margins.
• Intraoperative flexible bronchoscopy is essential for precise lesion marking following endotracheal debulking.
• Multidisciplinary collaboration is critical for the optimal management of tracheal MEC.
Introduction
Malignant tracheal tumors are rare and often consist of mucoepidermoid carcinoma (MEC). Primary tracheobronchial MEC affects people of all ages, although a preponderance in the younger population has been described, with more than half of cases diagnosed before the age of 30 years old. MECs account for 0.1% to 1% of all lung carcinomas and 9% to 18% of primary lung tumors in the pediatric population (1-5).
The slow growth and subclinical manifestations of smaller endotracheal tumors can cause significant delays in diagnosis. Large proximal tracheal or bronchial tumors can cause obstructive symptoms such as dyspnea, coughing, hemoptysis or pneumonia, whereas peripheral bronchial lesions may be asymptomatic. As these symptoms are often non-specific, pediatric patients are often misdiagnosed with asthma (1,3,6,7).
Following initial assessment by imaging modalities such as chest X-ray, computed tomography (CT) scan and positron emission tomography (PET) scan, bronchoscopy provides a direct visualization of the mass and allows tissue biopsy to establish the diagnosis. This step is crucial for differentiating between benign and malignant lesions. Endobronchial ultrasound enhances the assessment of the extent of wall invasion and facilitates the identification of paratracheal tumors invading the trachea, thereby helping to determine the resectability of the tumor. Endobronchial interventions may be considered for the management of obstructive pneumonia prior to surgery. Complete endoscopic resection without surgical resection is discouraged due to a reported recurrence rate of up to 30% (3,8,9).
The most common site of MEC in the tracheobronchial tree is the segmental bronchi. MECs are generally well circumscribed and smooth and may be solid or cystic, often showing glistening mucoid material. MECs are histologically characterized by mucous secreting cells, squamous cells (stains with p63 and p40) and intermediate cells, and are distinguished from other lung cancers by central or peribronchial location, lack of keratinization and expression of p63. Another essential feature is a strong association with t(11;19)(q21;p13) CRTC1-MAML2 rearrangement by fluorescence in situ hybridization (FISH) (1,2,5,10-13). The distinction between low-grade and high-grade MECs is characterized by necrosis, mitotic activity, and nuclear polymorphism. Low-grade tumors occur in childhood and are usually benign. Although their growth rate is often indolent, local invasion and lymph node metastasis have been reported (2).
Adult patients with low and intermediate grade tumors have a 1-year survival rate of 80% and a 5-year survival rate of 57%. Although local invasion can occur with extension through the tracheobronchial wall, this cancer rarely exhibits distant metastasis. This results in excellent long-term outcomes following surgical excision with clear margins (14). The prognosis for high-grade MECs is poor, with outcomes related to nodal staging and a 1-year survival rate of only 20%.
Compared to adult tracheobronchial MECs, pediatric tracheobronchial MECs tend to have a more favorable prognosis, with disease-free survival rates estimated at 100% at 5 and 10 years (3,14-19).
Surgical resection remains the primary treatment of choice, with low reported operative morbidity and acceptable long-term survival. Several factors contribute to the assessment of the feasibility of safe resection followed by appropriate reconstruction with primary anastomosis. While up to half of the tracheal length can be safely resected, this depends on individual patient characteristics such as weight, age, neck mobility, and underlying comorbidities. Due to the rarity of these tumors, it is imperative that patients are referred to high-volume tertiary centers for comprehensive evaluation and treatment in a multidisciplinary setting. Surgical resection is classically performed through right posterior lateral thoracotomy, right anterolateral thoracotomy, sternotomy or video-assisted thoracoscopy for lesions located in the middle third and distal third of the trachea. A cervical approach may be used for more proximal lesions (8,9,11,15,16,20,21).
Over the past two decades, there has been a gradual evolution in minimally invasive thoracic surgery. Video-assisted thoracoscopic surgery (VATS) has brought numerous advantages, such as reduced tissue trauma, shorter hospital stays, decreased postoperative pain, lower complication rates, and faster return to normal activities. However, VATS is limited by factors such as two-dimensional vision, lack of depth perception, and the use of long, rigid instruments. Twenty years ago, robotic-assisted surgery was introduced for lung cancer procedures, offering superior visualization, precise dissection, and improved surgeon ergonomics. Designed to replicate open surgery, robotic systems feature wristed instruments that facilitate the adoption of minimally invasive techniques. These advances have led to a wider acceptance of robotic procedures in thoracic surgery, enabling the effective performance of complex procedures. The use of robotic surgery for tracheal resections is emerging as a promising trend (22-27). There is growing evidence that robotic thoracic surgery is associated with improved outcomes, including lower rates of 30-day mortality and complications, reduced blood loss and transfusion needs, and shorter chest tube duration and hospital stays. These benefits have led to its wider adoption in thoracic surgery. While most robotic thoracic surgeries have been performed on adults, recent experience with older pediatric patients suggests that it may also be a safe and effective option in selected pediatric cases. One of the patients in this series was under 18, highlighting the potential for expanded use of robotic platforms in the pediatric population. Although robotic tracheal resections remain relatively uncommon, early results are promising and indicate a valuable role in both adult and pediatric thoracic surgery (28,29).
Various ventilation techniques are employed to ensure ventilation during tracheal surgery, including cross-field ventilation. An alternative approach is the use of extracorporeal membrane oxygenation (ECMO), which is widely used in cardiothoracic surgery for both hemodynamic and respiratory support. ECMO has been shown to be effective in maintaining adequate oxygenation levels during tracheal surgery and has established itself as a valuable resource in this regard (24,30-33).
This article describes the diagnosis and surgical management, of two young patients with tracheal MEC at a tertiary referral center using a fully robotic technique supported by veno-venous (VV) ECMO. We present this article in accordance with the CARE reporting checklist (available at https://acr.amegroups.com/article/view/10.21037/acr-2025-121/rc).
Case presentation
All procedures performed in this study were in accordance with the ethical standards of the institutional and/or national research committee(s) and with the Declaration of Helsinki and its subsequent amendments. Written informed consent was obtained from the patients for the publication of this case report and accompanying images. A copy of the written consent is available for review by the editorial office of this journal.
Patient 1
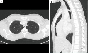
A 14-year-old active male with a previous medical history of reflux, asthma, adenotomy and ear tube placement presented with symptoms of dyspnea and hemoptysis during physical activity. Diagnostic workup included a CT-scan, which showed a polyp-like mass in the middle third of the trachea (Figure 1A,1B). A thickening of the tracheal wall was seen at the level of the mass, which occupied more than 4/5 of the lumen, resulting in a near-total tracheal obstruction. There were no clearly involved lymph nodes or associated pulmonary or bone lesions identified on imaging. The maximum diameter of the mass was 11 mm. Lung function testing showed a flow volume loop indicative of central airway obstruction (Figure S1).
Bronchoscopy showed a lesion 5 cm above the main carina and 7 cm below the vocal cords, located right sided antero-laterally in the tracheal lumen (Figure 2). Subtotal excision was performed, leaving a small remnant at the base of the mass and restoring a patent tracheal lumen. The mass appeared to originate from one cartilaginous ring of the trachea. Biopsies were taken proximal and distal to the lesion.
Histologic analysis indicated mucin pool/mucus differentiation and immunohistochemical profile (negativity for S100, DOG1, and SOX10; expression of Cytokeratin along with focal and real expression for p63 and Cytokeratin 5) consistent with a diagnosis of MEC (Figure S2).
After discussion with the multidisciplinary oncology team, a five-port fully robotic thoracoscopic tracheal resection with intrathoracic end-to-end anastomosis was performed under VV-ECMO. Single-lumen intubation with a bronchus blocker directed to the right mainstem bronchus was performed. VV-ECMO was achieved by cannulation of the right internal jugular vein and right common femoral vein. The patient was positioned in left lateral decubitus. The first 8 mm camera trocar was placed at the level of the fifth intercostal space at the midaxillary line. Three additional 8 mm trocars and one 12 mm trocar were placed as shown in Figure 3 under direct vision.
The operation was performed with a capnothorax maintained at a pressure of 5 mmHg. A multilevel intercostal block was performed using 40 mL of levobupivacaine 0.25%. The pleura was incised over the middle third of the trachea to allow for good visualization. The remaining tumor was then identified by bronchoscopy, and the proximal and distal margins were marked under bronchoscopic guidance with polydioxanone (PDS) 5/0 sutures (Ethicon, Somerville, NJ, USA). The diseased trachea was mobilized anteriorly and posteriorly. Incisions were made proximally and distally to the tumor, traction points were placed and the trachea was completely transected. The affected part of the trachea was further dissected, sparing the left recurrent laryngeal nerve. The resection specimen was marked and removed in an endobag through the 12 mm trocar incision (Figure 4). Frozen sections of the proximal and distal margins showed no malignancy. The trachea was further mobilized along its posterior and anterior aspects, preserving vascularization of the lateral margin, and an end-to-end anastomosis was performed with a running PDS 3/0 suture. Control bronchoscopy showed a successful anastomosis with no macroscopic residual disease (Figure S3). Estimated blood loss was less than 100 mL and the total operative time was 370 minutes.
After surgery, the VV-ECMO was removed, the patient was extubated on the operating table and then transferred to the pediatric intensive care unit. Adequate pain control was achieved through Patient Controlled Intravenous Analgesia (PCIA). The next day, the pathology of the paraffin-embedded section revealed malignant cells at the distal margin. After discussion with the oncology team, an additional resection of the distal margin was performed via right, muscle-sparing anterolateral thoracotomy at the 4th intercostal level. Initially, the plan was to proceed without ECMO, but due to the patient’s inability to tolerate single-lung ventilation (due to volume overload), VV ECMO was reinstated via the right jugular and right femoral veins. Resection of the trachea was performed with an additional 1.5 cm resected distally; final pathology showed no malignancy. Tracheal anastomosis was completed using a continuous PDS 4/0 suture.
The patient was extubated on postoperative day (POD) 2. The chest tube was removed on POD 3 with a further uneventful recovery. The patient was transferred to the pediatric ward on POD 6 and discharged on POD 7.
At the 4-month follow-up, a mild elevation of the right hemidiaphragm was observed associated with dyspnea on exertion, which resolved spontaneously after 3 months. Lung function tests and flexible bronchoscopy showed no abnormalities. At 5-year follow-up, the patient remains disease-free and has full exercise capacity.
Patient 2
A 28-year-old female with a previous history of schwannoma resection, located at the ankle, presented with hemoptysis and dyspnea. A CT scan revealed a mid-tracheal endotracheal tumor with a maximum diameter of 13 mm and partial occlusion of the tracheal lumen with suspected invasion of the tracheal wall (Figure 5). No pathological lymph nodes or associated lung or bone lesions were noted. Spirometry revealed a flow volume loop indicative of central airway obstruction.
Rigid bronchoscopy revealed a lesion three centimeters proximal to the carina involving three tracheal rings, and an endoscopic debulking of the tumor was performed (Figure 6).
Histologic analysis was compatible with a low-grade mucoepidermoid carcinoma (Figure S4).
After discussion with the multidisciplinary oncology team, a 5-port fully robotic thoracoscopic tracheal resection with intrathoracic end-to-end anastomosis was performed under VV-ECMO in a manner comparable to the procedure performed in patient 1. Trocars were placed as shown in Figure 7. End-to-end anastomosis was performed using a continuous polyglyconate barbed suture (V-Loc™ 180, 3/0, Covidien, Medtronic, Minneapolis, MN, USA) (Figure S5), which was found to be easier to handle, a preference that became evident through experience. Estimated blood loss was less than 200 mL and the total operative time was 350 minutes. The VV-ECMO was removed immediately after surgery, the patient was extubated in the operating room and transferred to the Post-Anesthesia Care Unit (PACU). The chest drain was removed on POD 1, and the patient was transferred to the surgical ward the same day. The postoperative recovery was uneventful. Intravenous pain medication (paracetamol, nonsteroidal anti-inflammatory drugs and opioid analgesics) was switched to oral medication on POD 2. Opioid analgesics were discontinued at discharge on POD 4.
No complications were noted at the 1-month follow-up. Flexible bronchoscopy during standard follow-up at 3 months showed no abnormalities. At 1-year follow-up, the patient is asymptomatic without any evidence of disease recurrence.
Patients’ perspective
Patient 1
I was only 14 years old at the time of the diagnosis, so I was admitted to the children’s ward. I didn’t fully grasp what was happening, there were a lot of emotions from my parents, but it didn’t really sink in for me yet.
The idea of robotic surgery felt reassuring. I was curious too, since it was still quite a new technique back then. The thought of small incisions also felt like a positive thing.
In the end, the surgery went perfectly with the robot, but I still ended up with a large incision and spent quite some time in intensive care. Thanks to good medication, I didn’t feel much pain. The support from the whole team, kind nurses and doctors really stood out.
Recovery was tough at first. I couldn’t do sports for a long time and had to rebuild everything with help from the physiotherapist. That was hard in the beginning. But now, things are better than ever: I’ve grown, have a big appetite, can do everything I want, and feel in great shape.
Looking back, what really stayed with me was the fantastic care, friendly staff, a supportive team, and a strong sense of reassurance. Over time, I’ve come to realize how lucky I was.
Patient 2
The diagnosis came as an unexpected and big shock. I was scared and hoped major surgery wouldn’t be necessary. When I heard it would be done with robotic surgery, I actually felt relieved and excited. I saw it as a big advantage, the idea of not having large wounds made me feel more at ease. Recovery was still painful and physically demanding. I needed help with everything at first, but the care was excellent, and I always felt supported.
Looking back, I’m very happy with both the care and the outcome. The trust I had in the team and the way everything was prepared made a big difference. That trust helped calm my fear. Now, 1.5 years later, it’s like nothing ever happened. Even after such a major surgery, I’m fully back to normal, even doing sports again.
Discussion
This paper presents two cases of young patients diagnosed with tracheal mucoepidermoid carcinoma (MEC). Both patients underwent a 5-port fully robotic circumferential tracheal resection with intrathoracic end-to-end anastomosis under VV-ECMO. Variations in surgical techniques between the cases mainly involved trocar positioning, with minor adjustments based on patient constitution, and the use of different types of surgical sutures (PDS 3/0 and V-Loc™ 180 3/0, respectively). The use of an absorbable barbed suture demonstrated advantages in terms of ease of use and operation time.
Primary tracheal MEC is a rare disease with limited literature focusing specifically on this pathology. Furthermore, fully robotic approaches to tracheal resection are rarely used. The available evidence is primarily derived from case reports, with a lack of robust comparative data between open and minimally invasive techniques.
Qiu et al. (23) and Hu et al. (22) reported a robotic trachea and a carina resection with transthoracic ventilation via an endobronchial tube inserted into the left main bronchus through an additional port in the third and fourth intercostal spaces, respectively. In contrast, the use of VV-ECMO does not require an extra port and a clear operative field is maintained. For the anastomosis they used a continuous suture with 2/0 and 3/0 polypropylene, respectively. Hu et al. reported a total operation time of 265 minutes, a blood loss of 250 mL and discharge on POD 9.
Carvalho et al. (26) described a robotic-assisted carinal reconstruction for adenoid cystic carcinoma (ACC) with endotracheal intubation. The endotracheal tube was advanced into the left main bronchus under endoscopic guidance, with ECMO available as a back-up. The anastomosis was completed with a continuous PDS barbed suture, as described in our cases. The patient was discharged on POD 3, but was readmitted 14 days later due to a pneumothorax caused by a bronchopleural microfistula.
Spaggiari et al. (31) reported a case of robotic-assisted tracheal resection for ACC with ECMO support. The anastomosis was performed using a single 3/0 polypropylene stitch, reinforced with a Stratafix Symmetric PDS Plus 3/0 suture (Ethicon). The operative time was 420 minutes, and the patient was discharged on POD 10.
These results are consistent with our cases thus far and are encouraging for the use of the robotic approach to tracheal surgery, but more cases and long-term data are needed. A fully robotic thoracoscopic technique can offer advantages over traditional open and thoracoscopic surgery, particularly in terms of increased range of motion and precision. The articulating robotic instruments are particularly useful for complex procedures such as bronchotracheal anastomosis. This was confirmed by the challenge we faced in our first patient in performing a high reanastomosis via an anterolateral thoracotomy. Robotic technology offers improved access to lesions located in the upper middle trachea (22,27,34).
Pinpointing the location of the tumor posed an additional challenge as there were no visual indicators on the outside of the tracheal wall. Flexible bronchoscopy allowed delineation of the required resection margins. However, in our series it was challenging to accurately locate residual disease after previous endobronchial debulking. It may therefore be beneficial to mark the location of the tumor during endobronchial debulking (3).
No further therapy was administered following complete resection of the lesions and the histological grading indicating low-grade MEC. According to the literature, low-grade tumors that are completely resected typically do not require additional therapy beyond clinical follow-up.
Postoperative radiotherapy has been suggested to eradicate residual disease after incomplete resection, potentially reducing local recurrence and avoiding the need for reoperation (13,16,18,35). For the first case, this option was also discussed at the multidisciplinary oncology meeting. Reoperation with additional resection was preferred because of the excellent prognosis associated with complete surgical resection, particularly in younger patients.
Conclusions
In conclusion, a fully robotic thoracoscopic approach under VV-ECMO is a feasible way to perform complete primary resection for tracheal MEC. However, if a second intervention is required due to residual disease, an open approach may be preferable for logistical reasons, such as the availability of the robot. This minimally invasive technique provides excellent intra- and postoperative results when performed by an experienced surgeon supported by an experienced oncology team.
Acknowledgments
The abstract of this article has been presented as a poster at the ESTS annual conference in Barcelona 2024.
Footnote
Reporting Checklist: The authors have completed the CARE reporting checklist. Available at https://acr.amegroups.com/article/view/10.21037/acr-2025-121/rc
Peer Review File: Available at https://acr.amegroups.com/article/view/10.21037/acr-2025-121/prf
Funding: None.
Conflicts of Interest: All authors have completed the ICMJE uniform disclosure form (available at https://acr.amegroups.com/article/view/10.21037/acr-2025-121/coif). F.D.S. reports receiving a grant from LivaNova, which was paid to Ghent University, and holding a leadership role in the EBCP. L.D. reports receiving institution payments from Intuitive Surgical (proctoring, presentations) and MSD Belgium (advisory board), meeting support from Astra Zeneca Belgium, and serving as unpaid President of the Belgian Society of Thoracic Surgery. The other authors have no conflicts of interest to declare.
Ethical Statement: The authors are accountable for all aspects of the work in ensuring that questions related to the accuracy or integrity of any part of the work are appropriately investigated and resolved. All procedures performed in this study were in accordance with the ethical standards of the institutional and/or national research committee(s) and with the Declaration of Helsinki and its subsequent amendments. Written informed consent was obtained from the patients for the publication of this case report and accompanying images. A copy of the written consent is available for review by the editorial office of this journal.
Open Access Statement: This is an Open Access article distributed in accordance with the Creative Commons Attribution-NonCommercial-NoDerivs 4.0 International License (CC BY-NC-ND 4.0), which permits the non-commercial replication and distribution of the article with the strict proviso that no changes or edits are made and the original work is properly cited (including links to both the formal publication through the relevant DOI and the license). See: https://creativecommons.org/licenses/by-nc-nd/4.0/.
References
- Balzer BWR, Loo C, Lewis CR, et al. Adenocarcinoma of the Lung in Childhood and Adolescence: A Systematic Review. J Thorac Oncol 2018;13:1832-41. [Crossref] [PubMed]
- Salem A, Bell D, Sepesi B, et al. Clinicopathologic and genetic features of primary bronchopulmonary mucoepidermoid carcinoma: the MD Anderson Cancer Center experience and comprehensive review of the literature. Virchows Arch 2017;470:619-26. [Crossref] [PubMed]
- Jaramillo S, Rojas Y, Slater BJ, et al. Childhood and adolescent tracheobronchial mucoepidermoid carcinoma (MEC): a case-series and review of the literature. Pediatr Surg Int 2016;32:417-24. [Crossref] [PubMed]
- Van Genechten M, Schelfout K, Germonpré PR, et al. Benign oncocytoma of the trachea. Ann Thorac Surg 2005;80:e3-4. [Crossref] [PubMed]
. Mucoepidermoid Lung Tumor.Limaiem F Lekkala MR Sharma S 2025 .- Bhattacharyya N. Contemporary staging and prognosis for primary tracheal malignancies: a population-based analysis. Otolaryngol Head Neck Surg 2004;131:639-42. [Crossref] [PubMed]
- Kiessling P, Kim G, Meister K, et al. Pediatric tracheal mucoepidermoid carcinoma treated with cricotracheal resection: A rare case and review of literature. Otolaryngol Case Rep 2025;34:100654. [Crossref] [PubMed]
- Yamamoto T, Nakajima T, Suzuki H, et al. Surgical treatment of mucoepidermoid carcinoma of the lung: 20 years' experience. Asian Cardiovasc Thorac Ann 2016;24:257-61. [Crossref] [PubMed]
- Tanaka F, Muro K, Yamasaki S, et al. Evaluation of tracheo-bronchial wall invasion using transbronchial ultrasonography (TBUS). Eur J Cardiothorac Surg 2000;17:570-4. [Crossref] [PubMed]
- Achcar Rde O, Nikiforova MN, Dacic S, et al. Mammalian mastermind like 2 11q21 gene rearrangement in bronchopulmonary mucoepidermoid carcinoma. Hum Pathol 2009;40:854-60. [Crossref] [PubMed]
- Romão RL, de Barros F, Maksoud Filho JG, et al. Malignant tumor of the trachea in children: diagnostic pitfalls and surgical management. J Pediatr Surg 2009;44:e1-4. [Crossref] [PubMed]
- Roden AC, García JJ, Wehrs RN, et al. Histopathologic, immunophenotypic and cytogenetic features of pulmonary mucoepidermoid carcinoma. Mod Pathol 2014;27:1479-88. [Crossref] [PubMed]
- Huo Z, Wu H, Li J, et al. Primary Pulmonary Mucoepidermoid Carcinoma: Histopathological and Moleculargenetic Studies of 26 Cases. PLoS One 2015;10:e0143169. [Crossref] [PubMed]
- Lee EY, Vargas SO, Sawicki GS, et al. Mucoepidermoid carcinoma of bronchus in a pediatric patient: (18)F-FDG PET findings. Pediatr Radiol 2007;37:1278-82. [Crossref] [PubMed]
- Spellman J, Calzada G. Mucoepidermoid Carcinoma: A 23-Year Experience with Emphasis on Low-Grade Tumors with Close/Positive Margins. Otolaryngol Head Neck Surg 2018;158:889-95. [Crossref] [PubMed]
- Song Z, Liu Z, Wang J, et al. Primary tracheobronchial mucoepidermoid carcinoma--a retrospective study of 32 patients. World J Surg Oncol 2013;11:62. [Crossref] [PubMed]
- Bchir A, Ahmed SB, Mokni M. Primary malignant salivary gland-type tumors of the lung: clinico-pathological study of 10 cases. Pan Afr Med J 2022;43:206. [Crossref] [PubMed]
- Kang DY, Yoon YS, Kim HK, et al. Primary salivary gland-type lung cancer: surgical outcomes. Lung Cancer 2011;72:250-4. [Crossref] [PubMed]
- Yousem SA, Hochholzer L. Mucoepidermoid tumors of the lung. Cancer 1987;60:1346-52. [Crossref] [PubMed]
- Park B, Kim HK, Choi YS, et al. Prediction of Pathologic Grade and Prognosis in Mucoepidermoid Carcinoma of the Lung Using 18F-FDG PET/CT. Korean J Radiol 2015;16:929-35. [Crossref] [PubMed]
- Mussi A, Ambrogi MC, Menconi G, et al. Surgical approaches to membranous tracheal wall lacerations. J Thorac Cardiovasc Surg 2000;120:115-8. [Crossref] [PubMed]
- Hu D, Wang Z, Tantai J, et al. Robotic-assisted thoracoscopic resection and reconstruction of the carina. Interact Cardiovasc Thorac Surg 2020;31:912-4. [Crossref] [PubMed]
- Qiu T, Zhao Y, Song J, et al. Robotic circumferential tracheal resection and reconstruction via a completely portal approach. Thorac Cancer 2019;10:378-80. [Crossref] [PubMed]
- Li S, Ai Q, Liang H, et al. Nonintubated Robotic-assisted Thoracic Surgery for Tracheal/Airway Resection and Reconstruction: Technique Description and Preliminary Results. Ann Surg 2022;275:e534-6. [Crossref] [PubMed]
- Li J, Wang W, Jiang L, et al. Video-Assisted Thoracic Surgery Resection and Reconstruction of Carina and Trachea for Malignant or Benign Disease in 12 Patients: Three Centers' Experience in China. Ann Thorac Surg 2016;102:295-303. [Crossref] [PubMed]
- Carvalho EA, Bonomi DO, Pinho AJM, et al. Carinal resection via robotic surgery: a safe approach for selected cases. J Bras Pneumol 2020;46:e20200118. [Crossref] [PubMed]
- Waseda R, Ishikawa N, Oda M, et al. Robot-assisted endoscopic airway reconstruction in rabbits, with the aim to perform robot-assisted thoracoscopic bronchoplasty in human subjects. J Thorac Cardiovasc Surg 2007;134:989-95. [Crossref] [PubMed]
- E Ibrahim MA. A Narrative Review of the Evolving Role of Robotic Surgery in Pediatrics: Innovations and Future Prospects. Cureus 2025;17:e80419. [Crossref] [PubMed]
- Al-Bassam A. Robotic-assisted surgery in children: advantages and limitations. J Robot Surg 2010;4:19-22. [Crossref] [PubMed]
- Antonacci F, De Tisi C, Donadoni I, et al. Veno-venous ECMO during surgical repair of tracheal perforation: A case report. Int J Surg Case Rep 2018;42:64-6. [Crossref] [PubMed]
- Spaggiari L, Galetta D, Lo Iacono G, et al. Robotic-assisted tracheal resection for adenoid cystic carcinoma with extracorporeal membrane oxygenation support. JTCVS Tech 2023;21:244-6. [Crossref] [PubMed]
- Varela P, Pio L, Torre M. Primary tracheobronchial tumors in children. Semin Pediatr Surg 2016;25:150-5. [Crossref] [PubMed]
- Migliore M. Primum non nocere: do we really need non-intubated thoracic surgery and robotic assisted thoracic surgery for tracheal airway resection and reconstruction? Ann Transl Med 2021;9:1750. [Crossref] [PubMed]
- Jiao W, Zhao Y, Luo Y, et al. Totally robotic-assisted non-circumferential tracheal resection and anastomosis for leiomyoma in an elderly female. J Thorac Dis 2015;7:1857-60. [Crossref] [PubMed]
- Heitmiller RF, Mathisen DJ, Ferry JA, et al. Mucoepidermoid lung tumors. Ann Thorac Surg 1989;47:394-9. [Crossref] [PubMed]
Cite this article as: Marquenie N, Malfait T, De Somer F, Desender L. Fully robotic circumferential resection for midtracheal mucoepidermoid carcinoma: a report of 2 cases. AME Case Rep 2025;9:158.





