Forty years between contralateral bullectomies for giant pulmonary bullae: a case report
Highlight box
Key findings
• Bullectomy and lung volume reduction surgery (LVRS) is an effective intervention for giant pulmonary bullae (GPB), even decades into disease history.
What is known and what is new?
• GPB is a rare manifestation of emphysema often requiring surgical management.
• The natural course of GPB extends for decades, with continued opportunities to offer operative management, which can significantly improve dyspnea and lung function.
What is the implication, and what should change now?
• Due to disease progression and bullae recurrence, physicians should always consider procedural intervention for patients with a history of GPB or severe emphysema.
• Further research is warranted to understand the role of prophylactic contralateral bullectomy in preventing pneumothorax and dyspnea.
• Endobronchial valves may be an effective option to reduce lung volumes in GPB patients who are at high risk for surgery.
Introduction
Pulmonary bullae are defined as air-filled spaces in the lung parenchyma that are 1 cm in diameter or larger. Bullae are considered giant when they occupy more than 30% of the hemithorax. Giant pulmonary bullae (GPB) can cause compression and atelectasis of ipsilateral and contralateral lung tissue, resulting in impaired gas exchange and hypoxic respiratory failure (1). The most common complications of GPB are pneumothorax, dyspnea, exercise intolerance, and superinfection (2).
The mainstay of medical GPB management is the treatment of the underlying obstructive lung disease. This begins with bronchodilation via short-acting beta-agonists as a rescue inhaler. Patients with more severe chronic obstructive pulmonary disease (COPD) may require long-acting muscarinic antagonists, often in combination with long-acting beta-agonist therapy. Patients with elevated peripheral eosinophil blood counts benefit from the inclusion of inhaled corticosteroid therapy. Smoking cessation is a critical part of managing bullous emphysema and obstructive lung disease, as continued exposure to cigarette smoke worsens the chronic inflammation and alveolar damage that leads to the formation of pulmonary bullae (1). Pulmonary rehabilitation is another valuable tool to manage bullous emphysema and obstructive lung disease. This multidisciplinary approach has been shown to improve quality of life, dyspnea, and exercise tolerance (3).
Once a bulla becomes giant, its spontaneous resolution, called autobullectomy, is incredibly rare (4). Because of this and the progressive nature of emphysema, patients who are symptomatic due to their GPB often require surgical management of their disease. These options include bullectomy, lung volume reduction surgery (LVRS), or lung transplantation (1). Bullectomy is indicated in patients who are symptomatic despite maximal medical therapy, have a giant bulla occupying greater than one-third of the hemithorax, and computed tomography (CT) imaging concerning for adjacent lung tissue compression. LVRS can be operative, using mediastinal sternotomy or video-assisted thoracic surgery (VATS), or non-invasive, using endobronchial one-way valves (5,6).
Bullectomy and LVRS in the right patient selection can improve symptoms and pulmonary function test (PFT) parameters such as forced expiratory volume in 1 second (FEV1), forced vital capacity (FVC), diffusing capacity of the lungs for carbon monoxide (DLCO), and 6-minute walk test (6MWT) distance (2,7). These improvements have been shown to persist for years, with gradual decline associated with progression of emphysema (8,9).
For those with GPB who have had a pneumothorax, future contralateral pneumothorax is more common in those with contralateral bullae noted on CT (10). Though this increased risk is significant, in studies of patients who underwent VATS for primary pneumothorax and who had contralateral bullae or blebs, the annual rate of contralateral pneumothorax was 4% and declined year-over-year (11). It is yet unclear what role prophylactic bullectomy or LVRS should play in managing GPB with contralateral bullae.
Paucity in long-term follow-up of patients who have undergone surgical management of GPB limits our knowledge of the natural course of this disease. It is more important than ever to understand the long-term outcomes in surgical management of GPB, as improvements in COPD mortality will continue to stretch the time course of GPB over decades (11). We present the unique case of a man with severe bullous emphysema who required left-sided bullectomy in 1986. Forty years later, he would re-establish care and significantly benefit from bullectomy and wedge resection for contralateral GPB. We present this article in accordance with the CARE reporting checklist (available at https://acr.amegroups.com/article/view/10.21037/acr-2025-138/rc).
Case presentation
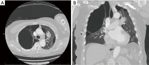
A 63-year-old man with GPB and a history of left-sided bullectomy in 1986 was lost to follow-up but presented in 2021 after a motor vehicle collision. On admission, he endorsed progressive dyspnea on exertion that predated the crash. CT scan demonstrated a giant bulla occupying >50% of the right thorax, causing ipsilateral atelectasis and contralateral tracheal shift (Figure 1). Also present was a right-sided pneumothorax and a left-sided hilar mass. The patient underwent inpatient bronchoscopy with biopsy of the hilar mass, which was negative for malignancy. His pneumothorax was managed with a chest tube, and he was discharged.
At a pulmonology clinic visit 4 months after discharge, his CT demonstrated that his right-sided bulla was stable in size and his left-sided hilar mass had resolved. He was noted, however, to be hypoxic and requiring 6 L/min via nasal canula. He was admitted and managed with albuterol and umeclidinium-vilanterol. His chronic oxygen requirement was determined to be 4 L/min. This was attributed to his severe bullous emphysema in the setting of continued smoking.
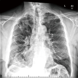
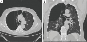
Over the next 1.5 years, the patient reduced his smoking and participated in pulmonary rehabilitation. His PFT at this time demonstrated moderately severe obstructive airway disease (Table 1). Repeat CT imaging showed minimal change in the size of his large bulla (Figure 2). The patient continued to follow up in clinic for another 8 months without a significant change in his imaging, PFT, oxygen requirement, or symptoms. He presented at this time for elective VATS bullectomy and wedge resection. His giant bulla was visualized to be located in the right upper lobe and occupied >50% of the hemithorax. This was removed and sent for pathology, which was consistent with lung parenchyma. The patient was also noted to have medium-sized bullae present in the right middle lobe. Two wedge resections were performed to remove this diseased tissue. The patient tolerated the procedure well. Two chest tubes were placed, which were removed three days post-operative (post-op). Follow-up chest X-ray two weeks later demonstrated expansion of the right lung without evidence of giant bullae or pneumothorax (Figure 3, Table 2).
Table 1
| PFTs | 1/12/2023 | 3/6/2023 | 4/30/2024 | 8/29/2024 | 3/27/2025* |
|---|---|---|---|---|---|
| FVC (L) PRED | 4.89 | 4.89 | 4.87 | 4.84 | 4.82 |
| FVC (L) | 3.39 | 2.94 | 3.21 | 3.29 | 4.88 |
| FVC %pred | 69 | 60 | 66 | 67 | 101 |
| FEV1 (L) PRED | 3.41 | 3.41 | 3.38 | 3.35 | 3.32 |
| FEV1 (L) | 2.01 | 1.97 | 2.22 | 1.99 | 3.35 |
| FEV1 %pred | 58 | 57 | 65 | 59 | 100 |
| FEV1/FVC PRED | 70 | 70 | 69 | 69 | 69 |
| FEV1/FVC (%) | 59 | 67 | 69 | 61 | 69 |
| FEV1/FVC %PRED | 84 | 96 | 99 | 87 | 99 |
| DLCO | 22.24 | 20.25 | 23.54 | 20.56 | 24.15 |
| DLCO %pred | 81 | 74 | 87 | 76 | 90 |
| TLC | 6.81 | 7.52 | 7.52 | 6.57 | 8.24 |
| TLC %pred | 91 | 100 | 101 | 88 | 110 |
| 6MWT (FT) | – | 1,200 | – | – | 1,315 |
| Respiratory support | – | 4 L | – | – | Room air |
| Oxygen saturation at rest | – | 98% | – | – | 93% |
| Oxygen saturation with exertion | – | 95% | – | – | 92% |
*, PFT performed after bullectomy and wedge resection. %PRED, percentage predicted; 6MWT, 6-minute walk test; DLCO, diffusing capacity of the lungs for carbon monoxide; FEV1, forced expiratory volume in 1 second; FT, feeling thermometer; FVC, forced vital capacity; PFT, pulmonary function test; TLC, total lung capacity.
Table 2
| Date | Event |
|---|---|
| 1986 | Left-sided bullectomy |
| 2/22/2021 | Admission for motor vehicle collision during which the patient is found to have right-sided giant bulla, right-sided pneumothorax and left-sided hilar mass |
| 2/24/2021 | Fine-needle aspiration of the hilar mass shows no malignancy |
| 6/2/2021 | Repeat CT shows resolution of hilar mass and pneumothorax, and stable size of right lung bulla |
| 6/21/2021 | Admitted and treated for hypoxemic respiratory failure |
| 8/29/2024 | Repeat CT shows a stable size of the right lung bulla |
| 10/4/2024 | Admission for right-sided VATS bullectomy and wedge resection |
| 10/18/2024 | Post-discharge chest X-ray shows improved lung expansion without effusion or pneumothorax |
CT, computed tomography; VATS, video-assisted thoracic surgery.
At 4 months post-op, the patient had significant symptomatic improvement, and his oxygen requirement had decreased from 4 L/min constantly to 2.5 L/min with activity. At 5 months post-op, he had PFT showing improvement in FEV1, FVC, TLC, and DLCO (Figure 4). He was able to complete his 6MWT without requiring supplemental oxygen.
All procedures performed in this study were in accordance with the ethical standards of the institutional and/or national research committee(s) and with the Declaration of Helsinki and its subsequent amendments. Written informed consent was obtained from the patient for the publication of this case report and accompanying images. A copy of the written consent is available for review by the editorial office of this journal.
Patient perspective
“I’m glad that I had the procedure, because it’s night and day from before. I can go up and down the stairs without issue. I knew what to expect the second time around as opposed to the surgery in ’86. Back then, I didn’t know what was wrong with me, but with this time and with all the tests, I knew what to expect. The first time I was admitted for 22 days, but this time it was only 4. My breathing is good. I’m still using the device they gave me to practice my deep breaths. I’m using nicotine patches and haven’t had a cigarette in a month.”
Discussion
GPB is a rare manifestation of emphysema. Surgical management is indicated in patients who remain symptomatic despite maximal medical therapy. In an early study of surgical outcomes in patients with GPB, 84 patients were followed from 1949 to 1972 (9). This study identified several factors related to improved outcomes. For example, the larger the bulla being removed, the greater the improvement in dyspnea and functional status, while those with bullae occupying less than one-third of the hemithorax did not experience significant improvement. Patients with diffuse emphysema were likelier to have poor outcomes and a greater decline in FEV1 over time than patients with localized disease.
The National Emphysema Treatment Trial (NETT) sought to assess the impact of LVRS on mortality and exercise performance in patients with moderate to severe emphysema, though not specifically patients with GPB (12). This multicenter randomized clinical trial compared medical therapy to medical therapy plus LVRS and followed patients for 4.5 years. In its initial report, NETT had a mean follow-up time of 29.2 months and found that LVRS improved quality of life, exercise performance, and dyspnea. A high-risk subgroup was identified as patients with FEV1 ≤20% predicted and either homogenous emphysema on CT or DLCO ≤20% predicted. Removing this high-risk group reduced the 90-day mortality in the LVRS group from 7.9 to 5.2%, still significantly higher than the medical therapy arm. In the longer-term follow-up, the LVRS group did demonstrate significant survival benefit when compared to the medical therapy arm, particularly in patients with upper-lobe predominant emphysema and baseline low exercise performance. Outcomes such as improved exercise tolerance, quality of life, lung function, and dyspnea persisted.
Similar results were found in a 5-year study that followed 41 patients who underwent bullectomy for GPB (8). The patient who underwent bullectomy showed improvement in dyspnea score that persisted for 4 years. FEV1/FVC increased until 2 years post-op, then decreased to levels that remained above pre-bullectomy assessment. One-year mortality was 7.3%, with overall 5-year mortality being 12.2%. Notably, all patients who died in this interval belonged to the cohort with underlying diffuse emphysema.
Given that many patients with severe emphysema are high-risk for surgery, it is prudent to consider less-invasive procedural options for lung volume reduction. An endobronchial approach using one-way valves has been shown to be successful at reducing bullae size and improving PFT parameters. In a prospective, non-randomized study following 9 GPB patients, endobronchial treatment was shown to significantly improve FEV1, FVC, DLCO, and 6MWT performance. This effect was apparent immediately post-op and persisted for 6 months of follow-up (6). One patient experienced ipsilateral pneumothorax 45 days after the procedure, and 2 patients experienced hemoptysis. Multiple other case reports have demonstrated the safety and efficacy of endobronchial treatment of GPB (13). More recently, however, retrospective analysis using the United States Centers for Medicare and Medicaid Services inpatient claims database found that patients who underwent endobronchial valve placement for treatment of advanced emphysema had a higher risk-adjusted mortality and morbidity than patients who underwent LVRS. The authors attribute this difference to advancement of minimally invasive techniques used in modern LVRS, which have led to improvements in morbidity and mortality (14). Further research is warranted to investigate the relative safety and efficacy of endobronchial valve placement. Given the severity of his disease and his surgical history, the patient discussed in our case is a prime example of a patient who requires careful consideration of all procedural options. This patient also experienced firsthand the advancements in minimally invasive techniques for bullectomy and lung volume reduction, given that his surgeries were separated by 40 years. The patient noted this himself, endorsing a 22-day hospital stay for his first bullectomy, and a 4-day stay for his second. It is thanks to these improvements that even high-risk patients like the one presented here should be continually considered for appropriateness of bullectomy or lung volume reduction.
Prophylactic surgical management of contralateral bullae is a topic of debate, though primarily through the lens of pneumothorax treatment and prevention. In a retrospective cohort study including 567 patients who underwent ipsilateral VATS for primary spontaneous pneumothorax over a 10-year period, the annual rate of contralateral pneumothorax was significantly higher in patients with contralateral blebs or bullae than in patients without (15). That said, the annual rate of contralateral pneumothorax remained low (4% in the group with contralateral bullae compared to 0.7% in the group without). Importantly, patients over the age of 30 were excluded from this study. Other studies assessed the efficacy of prophylactic contralateral VATS in preventing contralateral pneumothorax in patients who were treated for primary pneumothorax but had contralateral bullae or blebs (16,17). Both found a significant reduction in contralateral pneumothorax in patients treated with prophylactic contralateral VATS. The ability to draw conclusions from these studies is similarly limited by their young cohort and focus on patients with primary pneumothorax, which excludes patients with bullous emphysema. It is also important to note that contralateral surgical management of giant bullae would need to consider dyspnea in addition to future risk of pneumothorax. Due to a lack of medical records, it is unclear to what degree prophylactic contralateral bullectomy would have been appropriate or effective for this patient 40 years ago. Advanced emphysema patients are not well represented in the literature on this topic, and we would recommend a personalized approach until further study can better characterize the risks and benefits.
Conclusions
Bullectomy and LVRS remain the primary treatment for patients with GPB who remain symptomatic despite maximal medical therapy. Surgical management of GPB has been shown to improve quality of life, dyspnea, and lung function in patients with severe bullous emphysema. Endobronchial valve placement is a promising modality to intervene on advanced emphysema, but must be compared to LVRS in the context of its contemporary minimally invasive modalities. Prophylactic surgical management of contralateral bullae is an under-studied topic in the management of GPB, and approaches should be tailored to a patient’s specific risk factors. Advancements in medical and surgical management of COPD have expanded the length of time patients should be closely monitored for consideration of procedural intervention for GPB.
Acknowledgments
None.
Footnote
Reporting Checklist: The authors have completed the CARE reporting checklist. Available at https://acr.amegroups.com/article/view/10.21037/acr-2025-138/rc
Peer Review File: Available at https://acr.amegroups.com/article/view/10.21037/acr-2025-138/prf
Funding: None.
Conflicts of Interest: All authors have completed the ICMJE uniform disclosure form (available at https://acr.amegroups.com/article/view/10.21037/acr-2025-138/coif). The authors have no conflicts of interest to declare.
Ethical Statement: The authors are accountable for all aspects of the work in ensuring that questions related to the accuracy or integrity of any part of the work are appropriately investigated and resolved. All procedures performed in this study were in accordance with the ethical standards of the institutional and/or national research committee(s) and with the Declaration of Helsinki and its subsequent amendments. Written informed consent was obtained from the patient for the publication of this case report and accompanying images. A copy of the written consent is available for review by the editorial office of this journal.
Open Access Statement: This is an Open Access article distributed in accordance with the Creative Commons Attribution-NonCommercial-NoDerivs 4.0 International License (CC BY-NC-ND 4.0), which permits the non-commercial replication and distribution of the article with the strict proviso that no changes or edits are made and the original work is properly cited (including links to both the formal publication through the relevant DOI and the license). See: https://creativecommons.org/licenses/by-nc-nd/4.0/.
References
- Siddiqui NA, Sankari A, Mansour MK, et al. Bullous Emphysema. In: StatPearls [Internet]. Treasure Island (FL): StatPearls Publishing; 2025.
- Krishnamohan P, Shen KR, Wigle DA, et al. Bullectomy for symptomatic or complicated giant lung bullae. Ann Thorac Surg 2014;97:425-31. [Crossref] [PubMed]
- Celli BR, MacNee WATS/ERS Task Force. Standards for the diagnosis and treatment of patients with COPD: a summary of the ATS/ERS position paper. Eur Respir J 2004;23:932-46. Erratum in: Eur Respir J 2006;27:242. [Crossref] [PubMed]
- Chang WH. Complete spontaneous resolution of a giant bulla without rupture or infection: a case report and literature review. J Thorac Dis 2017;9:E551-5. [Crossref] [PubMed]
- Marchetti N, Criner GJ. Surgical Approaches to Treating Emphysema: Lung Volume Reduction Surgery, Bullectomy, and Lung Transplantation. Semin Respir Crit Care Med 2015;36:592-608. [Crossref] [PubMed]
- Santini M, Fiorelli A, Vicidomini G, et al. Endobronchial treatment of giant emphysematous bullae with one-way valves: a new approach for surgically unfit patients. Eur J Cardiothorac Surg 2011;40:1425-31. [Crossref] [PubMed]
- Bascarevic S, Ercegovac M, Hoda MA, et al. Twenty four-month follow-up after bullectomy, unilateral and bilateral lung volume reduction surgery: a single-center retrospective analysis of consecutive cases. Eur J Med Res 2024;29:279. [Crossref] [PubMed]
- Palla A, Desideri M, Rossi G, et al. Elective surgery for giant bullous emphysema: a 5-year clinical and functional follow-up. Chest 2005;128:2043-50. [Crossref] [PubMed]
- FitzGerald MX, Keelan PJ, Cugell DW, et al. Long-term results of surgery for bullous emphysema. J Thorac Cardiovasc Surg 1974;68:566-87.
- Casali C, Stefani A, Ligabue G, et al. Role of blebs and bullae detected by high-resolution computed tomography and recurrent spontaneous pneumothorax. Ann Thorac Surg 2013;95:249-55. [Crossref] [PubMed]
- Carlson SA, Wheaton AG, Watson KB, et al. Geographic Differences in Sex-Specific Chronic Obstructive Pulmonary Disease Mortality Rate Trends Among Adults Aged ≥25 Years-United States, 1999-2019. MMWR Morb Mortal Wkly Rep 2022;71:613-8. [Crossref] [PubMed]
- Rationale and design of The National Emphysema Treatment Trial: a prospective randomized trial of lung volume reduction surgery. The National Emphysema Treatment Trial Research Group. Chest 1999;116:1750-61. [Crossref] [PubMed]
- Welling JBA, Koster TD, Slebos DJ. From plugging air leaks to reducing lung volume: a review of the many uses of endobronchial valves. Expert Rev Med Devices 2023;20:721-7. [Crossref] [PubMed]
- Hayanga JWA, Luo X, Reddy S, et al. Endobronchial Valve Therapy vs Lung Volume Reduction Surgery in the United States. Ann Thorac Surg 2025; Epub ahead of print. [Crossref]
- Jeong JY, Shin AY, Ha JH, et al. Natural History of Contralateral Bullae/Blebs After Ipsilateral Video-Assisted Thoracoscopic Surgery for Primary Spontaneous Pneumothorax: A Retrospective Cohort Study. Chest 2022;162:1213-22. [Crossref] [PubMed]
- Chou SH, Li HP, Lee JY, et al. Is prophylactic treatment of contralateral blebs in patients with primary spontaneous pneumothorax indicated? J Thorac Cardiovasc Surg 2010;139:1241-5. [Crossref] [PubMed]
- Liu YW, Chang PC, Chang SJ, et al. Simultaneous bilateral thoracoscopic blebs excision reduces contralateral recurrence in patients undergoing operation for ipsilateral primary spontaneous pneumothorax. J Thorac Cardiovasc Surg 2020;159:1120-1127.e3. [Crossref] [PubMed]
Cite this article as: Pellis Z, Madariaga L, Wagh A. Forty years between contralateral bullectomies for giant pulmonary bullae: a case report. AME Case Rep 2025;9:159.

