Recurrent cardiac drug-eluting stent thrombosis due to antiphospholipid syndrome: a case report
Highlight box
Key findings
• In antiphospholipid syndrome (APS), sub-therapeutic international normalized ratio should bridge and cover with therapeutic dose of low molecular weight heparin to prevent acute thrombosis episode.
What is known and what is new?
• Acute stent thrombosis is rare but significant effect in mortality and morbidity.
• In addition to known risk factors for stent thrombosis, APS increased the risk of acute stent thrombosis.
What is the implication, and what should change now?
• In APS, individual thrombotic risk needs to be evaluated with involvement of multidisciplinary team for best patient care.
Introduction
Antiphospholipid syndrome (APS) is a rare condition, and it can be divided into primary and secondary which is associated with autoimmune conditions, most commonly systemic lupus erythematosus (SLE) (1). APS is an acquired condition in which arterial and venous thrombosis occur. It can manifest a variety of cardiovascular events, such as myocardial infarction (MI), stroke, intracardiac thrombus, as well as drug-eluting stent thrombosis (2). Acute coronary syndrome (ACS) and angina may result from coronary thrombosis. Anti-cardiolipin antibody titters, which are frequently elevated in APS, are associated with coronary artery bypass graft (CABG) failure, suggesting a causal effect (3). We present this case in accordance with the CARE reporting checklist (available at https://acr.amegroups.com/article/view/10.21037/acr-25-55/rc).
Case presentation
A 69-year-old man presented with a 7-month history of shortness of breath on exertion (No. 1, Table 1). His symptoms had progressively worsened, especially over the previous month. He had slight orthopnoea with minimal pedal oedema. He also reported a 5-day history of a dull, non-radiating left-sided heaviness in his chest in the absence of any specific triggering factors, and the sensation was not exacerbated by activity. There were no diaphoretic nor autonomic symptoms. He was usually independent in all activities, was an ex-smoker (15-pack-year history), and did not drink alcohol.
Table 1
| No. | Day | Event |
|---|---|---|
| 1 | Day 1 | Seven-month history of progressive shortness of breath, worsening in the last month, mild orthopnoea. Diagnosed with ACS |
| 2 | Day 4 | First coronary angiogram unsuccessful due to device failure and sent to another centre |
| 3 | Day 6 | Successful PCI to OM1 branch and discharged the following day |
| 4 | Day 8 | Re-presented to emergency department with chest pain (high suspicion of acute stent thrombosis). Treatment dose of heparin given along with DAPT |
| 5 | Day 10 | Occlusion of OM stent, noted RCA stent occluded as well (PCI to OM and RCA stent) done |
| 6 | Day 12 | Intermittent chest pain as inpatient, repeat coronary angiogram showed RCA and OM stent occlusion |
| 7 | Day 14 | MDT discussion: for medical management and heart failure treatment. Discharge and follow-up |
| 8 | Day 30 (post-discharge) | Cardiac MRI-viability and follow-up in haematology clinic for secondary prevention |
ACS, acute coronary syndrome; DAPT, dual antiplatelet; MDT, multidisciplinary team; MRI, magnetic resonance imaging; OM, obtuse marginal; PCI, percutaneous coronary intervention; RCA, right coronary artery.
Thirteen years ago, he had undergone a percutaneous coronary intervention (PCI) to the left circumflex artery, and he also had a history of stroke, CABG (10 years earlier), hypertension, type 2 diabetes, hypercholesterolemia, and asthma. He had subsequently developed heart failure with reduced ejection fraction, and he had also been treated for APS abroad (in Europe). The patient was migrant from South Asia, and he had recurrent deep vein thrombosis in his young adult and was diagnosed and confirmed APS. Due to his APS, he was under haematologist in the UK for follow-up and secondary prevention.
A computed tomography (CT) coronary angiogram performed in 2017 showed a patent left internal mammary artery (LIMA) graft but occlusion of the other saphenous vein grafts (SVGs) which were Saphenous venous graft to obtuse marginal (OM) branch and diagonal branch of left anterior descending (LAD) branch.
His regular medications included metformin, atorvastatin, clopidogrel, isosorbide mononitrate extended release, furosemide, gliclazide, glyceryl trinitrate (GTN) spray, ivabradine, lansoprazole, nicorandil, salbutamol inhaler, and warfarin.
Laboratory examinations revealed serial troponins of 31, 31, and 29 ng/L (normal <14 ng/L), and all other blood tests were normal (Table 2).
Table 2
| Test | Admission | Day 2 | Day 6 | Day 11 | Reference range |
|---|---|---|---|---|---|
| WBC (×109/L) | 6.2 | 7.2 | 8.0 | 9.0 | 4.5–11 |
| RBC (×1012/L) | 3.94 | 3.99 | 3.21 | 4.24 | 4.35–5.65 |
| Hb (g/L), male | 99 | 100 | 101 | 107 | 140–180 |
| Na (mEq/L) | 138 | 140 | 141 | 139 | 135–145 |
| K (mEq/L) | 4.4 | 4.0 | 4.2 | 4.1 | 3.5–5.2 |
| Urea (mg/dL) | 5 | 4.5 | 5 | 5.5 | 5–20 |
| Cr (mmol/L) | 66 | 70 | 72 | 72 | 61.9–114.9 |
| eGFR (mL/min/1.73 m2) | >90 | >90 | 89 | >90 | >90 |
| Troponin (ng/L) | 31 | 31 | 189 | 2,000 | <14 |
| Cardiolipin IgG (GPL U/mL) | 233.1 | <15 | |||
| Cardiolipin IgM (MPL U/mL) | 10.6 | <12.5 | |||
| Anti-beta-2 glycoprotein IgG (SGU U/mL) | 5.8 | <20 | |||
| Anti-beta-2 glycoprotein IgM (SMU U/mL) | 163 | <20 | |||
| dsDNA (IU/mL) | 6.7 | <10 | |||
| Lupus anticoagulant | 1.5 | 1.3 (18 weeks after) | 0.90–1.10 |
Cr, creatinine; dsDNA, double-stranded DNA; eGFR, estimated glomerular filtration rate; GPL, IgG phospholipid units; Hb, haemoglobin; IgG, immunoglobulin G; IgM, immunoglobulin M; K, potassium; MPL, IgM phospholipid units; Na, sodium; RBC, red blood cell; SGU, standard IgG anti-beta-2 glycoprotein 1 units; SMU, standard IgM anti-beta-2 glycoprotein 1 units; WBC, white blood cell.
His admission electrocardiogram (ECG) showed sinus rhythm, left axis deviation, incomplete left bundle branch block, and no acute ischemic changes. His chest X-ray was unremarkable.
The initial diagnosis was ACS and was treated as unstable angina. He was treated according to European Society of Cardiology (ESC) guidelines for the management of ACS: dual antiplatelet (DAPT) therapy with a loading dose of 300 mg aspirin, 300 mg clopidogrel, and fondaparinux (4). Coronary angiography performed 4 days later revealed a patent LIMA to the LAD artery but occlusion of the other SVGs (Figure 1A). There was also stenosis of the OM1 and a critical lesion in the mid-right coronary artery (RCA) that appeared to be a recanalized occlusion (Figure 1B). A decision was made to proceed with PCI to RCA.
Unfortunately, PCI was unsuccessful, and the equipment needed for antegrade dissection and re-entry (ADR) was not available, so the procedure was abandoned (No. 2, Table 1). An echocardiogram showed mild concentric hypertrophy, a biplane left ventricular ejection fraction of 49%, a dilated left atrium, and mild ischemic functional mitral regurgitation. The mid to apical segments of the septum were hypokinetic, extending to the mid to apical anterior wall. He was transferred to another hospital to have complex PCI to OM1, after which he was discharged the following day with no complications (No. 3, Table 1).
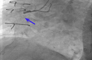
However, he presented as an emergency the next day with the same presentation. Investigations showed a troponin of 189 ng/L (normal <14 ng/L), no dynamic ECG changes, and he was treated for non-ST-elevation MI (NSTEMI) with a high suspicion of stent thrombosis, despite taking all his prescribed medications (No. 4, Table 1). The patient confirmed strict medication compliance. Coronary angiography revealed occlusion of the OM branch stent, a patent RCA stent, and good distal flow (No. 5, Table 1). The decision was made to proceed with PCI to the OM, which revealed fresh thrombus in the stent. Intravascular ultrasound (IVUS) showed an area of under-expanded stent proximally but overall good flow. Unfortunately, he again developed chest pain 2 days after the procedure, with troponin levels rising to 2,000 and 1,700 ng/L (normal <14 ng/L). He underwent emergency percutaneous transluminal coronary angioplasty. Surprisingly, the left circumflex was occluded at the OM stent which operator commented about stent underdeployment which might contribute to stent thrombosis on top of patient’s existing APS. There was also occlusion of the RCA stent (Figure 2). PCI was again performed on the OM and RCA. The patient’s blood pressure dropped during the procedure, and bedside echocardiography showed an ejection fraction of only 20%. He was prescribed a tirofiban infusion for 48 hours after the procedure.
After the procedure, intermittent anginal chest and back pain continued, and repeat angiography showed proximal occlusion of the RCA and OM stent occlusion (Figure 3) (No. 6, Table 1).
At this point, two intervention cardiologists agreed not to proceed with further angioplasty, as he was pain-free prior to the procedure and the outcome was unlikely to be successful and durable. All participants in a multidisciplinary discussion in the joint cardiology and cardiothoracic meeting agreed that angioplasty was not an option, so a 6-week cardiac CT was scheduled to assess surgical options such as revision CABG (No. 7, Table 1).
A retrospective review of the case revealed that he had been discharged home with a subtherapeutic international normalized ratio (INR) of 1.1 without bridging with a therapeutic dose of low molecular weight heparin. During his hospital stay, he was given a therapeutic dose low molecular weight heparin and DAPT therapy after discussion with patient’s haematologist. A follow-up multidisciplinary team meeting reached a consensus that the previous graft failure within 3 years suggested that he would not benefit from further surgery. He was placed on triple therapy (aspirin, clopidogrel, and warfarin) for 1 month followed by lifelong warfarin and clopidogrel. He was followed up in the haematology clinic for his APS, and he did not have any further thrombotic events, and his INR remained in the target range. He had a cardiac MRI 1 month after discharge, which showed a dilated left ventricle with an ejection fraction of 26% and normal right ventricle systolic function consistent with ischemic cardiomyopathy with an established infarct (non-viable left circumflex territory) (No. 8, Table 1). All procedures performed in this study were in accordance with the ethical standards of the institution. This study was conducted in accordance with the Declaration of Helsinki and its subsequent amendments. Written informed consent was obtained from the patient for publication of this case report and accompanying images. A copy of written consent is available for review by the editorial office of this journal.
Discussion
Stent thrombosis is a rare complication after PCI. Although rare, it can often lead to fatal MI and sudden cardiac death (5). The severity of the recurrent stent thrombosis was unusual in this case. This gentleman migrated from South Asia to Europe, where APS was treated, but his clinical records were not transferred to the UK. In Italy, he had previously presented in a similar manner, for which he underwent CABG.
Patient factors, the nature of the lesion, procedural factors, and stent factors all influence the risk of stent thrombosis (6). This patient experienced recurrent stent thrombosis, with APS a known contributory risk factor but a subtherapeutic INR and antiplatelet non-responsiveness other potential causes, as reported in a similar case (7). It is evident that noncompliance with DAPT and stent thrombosis varies with time, with the strongest in the first month. However, the actual data for non-adherence of DAPT in patients with antiphospholipid antibody is yet to be reported. It is very likely that this group of patients are more susceptible to stent thrombosis than general population. APS can be subdivided into three groups, which are thrombotic APS, obstetric APS, and catastrophic APS which could manifest coronary and cerebral events (8). While coronary and cerebrovascular events are major causes of morbidity and mortality in patients with APS, there are no clear guidelines on the best revascularization strategy for these patients (e.g., PCI vs. CABG), and the optimal management strategy remains controversial. Long-term anticoagulation therapy with warfarin and a target INR of 2–3 is usually advised for APS patients; however, a higher target INR (range, 2.5–3.5), in addition to an antiplatelet agent, may be more suitable for patients with APS and recurrent MI/stent thrombosis. The mainstay of treatment in APS is primary and secondary prevention. In addition, identifying and managing prothrombotic risk factors such as smoking, hyperlipidaemia, hypertension, and concomitant use of oral contraceptive is essential. Recurrent stent thrombosis in patients with APS should prompt re-evaluation of APS and the possibility of coexisting antiplatelet unresponsiveness.
Conclusions
This case illustrates that transferring medical records across borders is essential, as a detailed and thorough review of the history could change patient management. Organizational learning from the miss was helpful to reflect and learn that failure to bridge with a therapeutic dose of low molecular weight heparin might have been a contributory factor in this case. However, even with adequate anticoagulation, the stent thromboses continued, suggesting that a failure to respond to antiplatelets was also contributory. The effective management of this case required a multidisciplinary approach with early involvement of cardio-thoracic surgeons and haematologists, as was a duty of candor and explanation to the patient and family, and timely commencement of cardiac rehabilitation.
Acknowledgments
None.
Footnote
Reporting Checklist: The authors have completed the CARE reporting checklist. Available at https://acr.amegroups.com/article/view/10.21037/acr-25-55/rc
Peer Review File: Available at https://acr.amegroups.com/article/view/10.21037/acr-25-55/prf
Funding: None.
Conflicts of Interest: All authors have completed the ICMJE uniform disclosure form (available at https://acr.amegroups.com/article/view/10.21037/acr-25-55/coif). The authors have no conflicts of interest to declare.
Ethical Statement: The authors are accountable for all aspects of the work in ensuring that questions related to the accuracy or integrity of any part of the work are appropriately investigated and resolved. All procedures performed in this study were in accordance with the ethical standards of the institution. This study was conducted in accordance with the Declaration of Helsinki and its subsequent amendments. Written informed consent was obtained from the patient for publication of this case report and accompanying images. A copy of written consent is available for review by the editorial office of this journal.
Open Access Statement: This is an Open Access article distributed in accordance with the Creative Commons Attribution-NonCommercial-NoDerivs 4.0 International License (CC BY-NC-ND 4.0), which permits the non-commercial replication and distribution of the article with the strict proviso that no changes or edits are made and the original work is properly cited (including links to both the formal publication through the relevant DOI and the license). See: https://creativecommons.org/licenses/by-nc-nd/4.0/.
References
- Yedlapati N, Paladugu N, Spevack DM. Prinzmetal's angina in patients with antiphospholipid syndrome. Coron Artery Dis 2011;22:537-9. [Crossref] [PubMed]
- Zuo Y, Shi H, Li C, et al. Antiphospholipid syndrome: a clinical perspective. Chin Med J (Engl) 2020;133:929-40. [Crossref] [PubMed]
- Morton KE, Gavaghan TP, Krilis SA, et al. Coronary artery bypass graft failure--an autoimmune phenomenon? Lancet 1986;2:1353-7. [Crossref] [PubMed]
- Byrne RA, Rossello X, Coughlan JJ, et al. 2023 ESC Guidelines for the management of acute coronary syndromes. Eur Heart J 2023;44:3720-826. Erratum in: Eur Heart J 2024;45:1145. [Crossref] [PubMed]
- Burzotta F, Parma A, Pristipino C, et al. Angiographic and clinical outcome of invasively managed patients with thrombosed coronary bare metal or drug-eluting stents: the OPTIMIST study. Eur Heart J 2008;29:3011-21. [Crossref] [PubMed]
- van Werkum JW, Heestermans AA, Zomer AC, et al. Predictors of coronary stent thrombosis: the Dutch Stent Thrombosis Registry. J Am Coll Cardiol 2009;53:1399-409. [Crossref] [PubMed]
- Lee YH, Yang HM, Tahk SJ, et al. Recurrent stent thrombosis in a patient with antiphospholipid syndrome and dual anti-platelet therapy non-responsiveness. Korean Circ J 2015;45:71-6. [Crossref] [PubMed]
- Rout P, Goyal A, Singhal M. Antiphospholipid Syndrome. In: StatPearls. Treasure Island: StatPearls Publishing; 2024.
Cite this article as: Lin KK, Wine YY, Aye ST. Recurrent cardiac drug-eluting stent thrombosis due to antiphospholipid syndrome: a case report. AME Case Rep 2025;9:160.


