Metastasis of nasopharyngeal carcinoma to the spleen: a case report
Highlight box
Key findings
• We presented a case of a 40-year-old male diagnosed with nasopharyngeal carcinoma (NPC) who developed splenic metastasis. The patient was managed with laparoscopic splenectomy, which served both diagnostic and therapeutic purposes.
What is known and what is new?
• Splenic metastases are rare; involvement from NPC is extremely uncommon.
• This highlights the possibility of such presentations and the role of minimally invasive surgery management.
What is the implication, and what should change now?
• Clinicians should consider splenic metastasis in advanced NPC.
• Laparoscopic splenectomy may be a valuable option for diagnosis and treatment in selected patients.
Introduction
Nasopharyngeal carcinoma (NPC) is one of the head and neck tumors with a frequency of one per 100,000 people across the globe. However, the literature based on recent studies suggests that in Saudi Arabia, NPC account for 6% of head and neck tumors and 33% of all malignancies in general (1,2). Based on the differentiation, the World Health Organization (WHO) has divided NPC into three categories. The first type is keratinizing well differentiated, the second type is non-keratinizing well differentiated and the third type is non-keratinizing poorly differentiated, the most common type and associated with Epstein Barr virus with a good prognosis (3). Epstein Barr virus has been proven to be the most common cause of NPC; however, other risk factors highlighted in the literature include family history of NPC, active and passive tobacco smoking, drinking alcohol, consumption of preserved foods as well as inadequate oral hygiene (4-8).
Like other tumors, NPC tends to metastasize to different organs in the body, but the most common way to metastasize is through regional lymph nodes. The evidence suggests that about 70% of NPCs metastasize to the regional lymph nodes (9). This is unlike other head and neck tumors that tend to metastasize to cervical lymph nodes; however, distant metastasis accounts for nearly 30% (9,10). Splenic metastasis has been reported as a very rare incidence with NPC patients (11). Findings from a systematic review suggest that splenic metastases from NPCs were found in 1.07% of all NPCs’ patients and 1.19% of NPCs patients with distant metastases. Furthermore, NPC accounted for 1% of the main sources among individuals with splenic metastases related to all solid tumors (12). We present this case in accordance with the CARE reporting checklist (available at https://acr.amegroups.com/article/view/10.21037/acr-2025-116/rc).
Case presentation
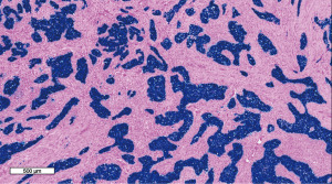
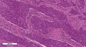
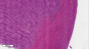
A 40-year-old male with a significant history of smoking presented to the clinic with an enlarged cervical lymph node. The initial clinical impression was lymphadenitis, for which appropriate treatment was administered. However, the patient showed no clinical improvement following therapy. Consequently, an ultrasound examination was performed, revealing multiple enlarged cervical lymph nodes. A true-cut biopsy revealed metastatic poorly differentiated carcinoma. Comprehensive imaging studies, including computed tomography (CT) scans of the head, neck, chest, abdomen, and pelvis, as well as magnetic resonance imaging (MRI) of the head and neck and a single-photon emission computed tomography/positron emission tomography (SPECT/PET) scan, were performed. Together with the physical examination and laboratory findings, the patient was diagnosed with NPC, staged as T3N2M0. Serology for Epstein Barr virus was performed, which was found to be positive. Based on these findings, and following multidisciplinary discussion in the Head and Neck Tumor Board, the patient was planned for concurrent chemoradiotherapy consisting of weekly cisplatin and radiotherapy (70 Gy in 33 fractions). During the course of treatment, the patient developed severe mucositis, significantly impairing oral intake, necessitating the placement of a percutaneous endoscopic gastrostomy (PEG) tube for nutritional support. Post-treatment whole-body MRI and PET/CT imaging demonstrated regression of the primary disease with residual uptake in the retropharyngeal lymph nodes, along with new osseous lesions involving the right iliac bone, right femoral head, and pubic bone. A bone biopsy from the right pelvic bone confirmed metastatic involvement. The patient was subsequently started on systemic chemotherapy with weekly paclitaxel/carboplatin and capecitabine. Following six cycles of chemotherapy, repeat PET/CT imaging showed persistent bone metastases and stable mild uptake in the left nasopharyngeal region. Given the extent of bony disease, SBRT was not pursued, and systemic therapy was switched to gemcitabine. Subsequent PET/CT imaging revealed disease progression with new involvement of abdominal lymph nodes. As a third-line approach, the patient was initiated on pembrolizumab, administered every three weeks for a total of (38 cycles) and received stereotactic body radiotherapy (SBRT) to retroperitoneal abdominal metastases (5 fractions). During the course of treatment, the patient developed additional metastatic sites, including a paraspinal mass and axillary lymphadenopathy, for which local radiotherapy was administered. On surveillance follow-up, the patient reported intermittent left-sided abdominal pain. Further evaluation with PET/CT of the abdomen and pelvis revealed a splenic lesion, raising concern for disease progression. These findings were confirmed with MRI of abdomen. A tumor board was formed in the hospital where the team discussed the case thoroughly to make a final diagnosis and a decision. The board agreed to perform splenectomy for diagnostic and therapeutic purposes. There was a mutual agreement between members of the tumor board and the team preferred to have a laparoscopic splenectomy for diagnostic and therapeutic purposes rather than an open laparotomy. Patient was given pneumococcal, meningococcal, and Haemophilus influenzae vaccines prior to the procedure. Patient underwent laparoscopic splenectomy and distal pancreatectomy with no complications. After performing the procedure, the specimen was sent for histopathology and a week later, his pathology results came out that confirmed metastasis from NPC as a primary origin. Histopathological examination of the splenic lesion revealed subcapsular replacement of the normal splenic parenchyma by metastatic neoplasm (Figure 1). The neoplastic cells exhibited moderate eosinophilic to amphophilic cytoplasm, round nuclei, and prominent eosinophilic nucleoli, arranged in sheets (Figure 2). Keratinization was absent, and a prominent lymphoplasmacytic infiltrate was noted surrounding the tumor cells (Figure 3). Immunohistochemistry showed strong and diffuse membranous and cytoplasmic positivity for cytokeratin 5/6 (CK5/6) and strong nuclear positivity for P63 in the neoplastic cells (Figures 4,5). In situ hybridization for Epstein-Barr virus (EBV-ISH) demonstrated strong and diffuse nuclear positivity, confirming EBV association (Figure 6). The patient was kept under observation for several months. Follow-up imaging subsequently revealed new metabolic activity in the stomach. A biopsy of the gastric lesion confirmed metastatic disease. As a result, systemic therapy with carboplatin in combination with pembrolizumab was reinitiated. Due poor general status of the patient and advanced unresponsive disease the treating team kept him on palliative treatment of chemotherapy and radiotherapy. All procedures performed in this study were in accordance with the ethical standards of the institutional and/or national research committee(s) and with the Declaration of Helsinki and its subsequent amendments. Written informed consent was obtained from the patient for the publication of this case report and accompanying images. A copy of the written consent is available for review by the editorial office of this journal.
Discussion
Splenic metastasis from NPC is an exceptionally rare clinical entity. Based on the available literature, our case likely represents the 26th documented instance worldwide, adding to the 25 previously reported cases (12). That review estimated that splenic metastases occur in only 1.07% of all NPC cases and account for approximately 1% of splenic metastases from all solid tumors. In contrast, gynecological malignancies, particularly ovarian and endometrial cancers, represent the most frequent sources (29%), followed by colorectal cancer (21%) (13).
The rarity of splenic involvement in NPC may be attributed to the organ’s unique anatomical and immunological characteristics, which create an unfavorable microenvironment for metastatic tumor growth. However, when metastases do occur, they are often detected incidentally during routine surveillance imaging, as in our patient. Symptomatic cases may present with non-specific features such as fatigue, weight loss, fever, left upper quadrant pain, hypersplenism-related anemia or thrombocytopenia, splenomegaly, or, rarely, spontaneous splenic rupture (11,14-20). Our patient’s presentation with intermittent abdominal discomfort underscores the importance of recognizing subtle symptoms during follow-up, particularly in patients with a history of metastatic NPC.
Early detection remains paramount. Advances in imaging, including PET/CT, MRI, and ultrasonography, have improved detection rates of incidental splenic lesions (21,22). In our case, PET/CT not only confirmed the presence of the splenic lesion but also guided further decision-making. While percutaneous image-guided splenic biopsy is a diagnostic option with a high accuracy rate (90–95%) and low complication risk (~2%), our multidisciplinary tumor board opted for splenectomy (21-24). This approach provided both a definitive diagnosis and therapeutic benefit, eliminating a potential site of further tumor progression.
Treatment options for splenic metastases include observation, systemic therapy, and splenectomy (23,25). In cases of isolated splenic metastasis in otherwise controlled systemic disease, splenectomy—whether laparoscopic or open—can be justified (23,24). It prevents complications such as progressive lesion enlargement, infiltration of adjacent organs, abscess formation, or spontaneous rupture (11,13,16). Furthermore, splenectomy may serve as a debulking strategy before systemic therapy and, in select cases, has been associated with prolonged survival (20,24). In our patient, laparoscopic splenectomy was feasible given the lesion’s localization and absence of local invasion; this minimally invasive approach offered faster recovery and reduced morbidity.
Several potential management alternatives could have been considered. For instance, if the lesion had been smaller, asymptomatic, and stable on serial imaging, a watchful waiting strategy might have been reasonable, particularly in a patient with significant systemic disease burden (13,25). Additionally, stereotactic body radiation therapy (SBRT) has emerged as a non-invasive local control modality for oligometastatic disease, although evidence for its use in splenic metastases is limited (26,27). Given our patient’s prior pelvic SBRT and extensive treatment history, this was not pursued.
From a professional standpoint, earlier adoption of PET/CT surveillance might have facilitated even earlier lesion detection. Furthermore, given the patient’s extensive prior systemic therapy, consideration of a combined approach—splenectomy followed by tailored systemic treatment—may have provided better disease control. However, the rarity of splenic metastases in NPC limits the availability of robust evidence to guide such decisions, and individualized management remains essential.
Our case highlights several limitations inherent to this clinical scenario. First, the absence of standardized guidelines for the diagnosis and management of splenic metastases from NPC necessitates reliance on case reports and expert opinion. Second, the potential influence of prior therapies—chemotherapy, immunotherapy, and radiotherapy—on disease progression to the spleen remains unclear. Third, follow-up duration in most published cases, including ours to date, is relatively short, limiting the assessment of long-term outcomes.
Conclusions
Although NPC metastasis to the spleen is exceptionally rare, this case highlights the importance of vigilant follow-up and the role of advanced imaging techniques in early detection. Clinicians should remain aware of this possibility when managing NPC patients, especially those presenting with new or unexplained symptoms during surveillance. Splenectomy, whether for diagnostic confirmation or symptom relief, remains a justifiable intervention in such cases. Furthermore, the involvement of axillary lymph nodes in this case underscores the necessity of considering atypical metastatic sites in NPC patients, particularly when disease progression is suspected.
Acknowledgments
None.
Footnote
Reporting Checklist: The authors have completed the CARE reporting checklist. Available at https://acr.amegroups.com/article/view/10.21037/acr-2025-116/rc
Peer Review File: Available at https://acr.amegroups.com/article/view/10.21037/acr-2025-116/prf
Funding: None.
Conflicts of Interest: All authors have completed the ICMJE uniform disclosure form (available at https://acr.amegroups.com/article/view/10.21037/acr-2025-116/coif). The authors have no conflicts of interest to declare.
Ethical Statement: The authors are accountable for all aspects of the work in ensuring that questions related to the accuracy or integrity of any part of the work are appropriately investigated and resolved. All procedures performed in this study were in accordance with the ethical standards of the institutional and/or national research committee(s) and with the Declaration of Helsinki and its subsequent amendments. Written informed consent was obtained from the patient for the publication of this case report and accompanying images. A copy of the written consent is available for review by the editorial office of this journal.
Open Access Statement: This is an Open Access article distributed in accordance with the Creative Commons Attribution-NonCommercial-NoDerivs 4.0 International License (CC BY-NC-ND 4.0), which permits the non-commercial replication and distribution of the article with the strict proviso that no changes or edits are made and the original work is properly cited (including links to both the formal publication through the relevant DOI and the license). See: https://creativecommons.org/licenses/by-nc-nd/4.0/.
References
- Alsafadi N, Alqarni MS, Attar M, et al. Nasopharyngeal Cancer: Prevalence, Outcome, and Impact on Health-Related Quality of Life at Princess Norah Oncology Center, Jeddah, Saudi Arabia. Cureus 2020;12:e8199. [Crossref] [PubMed]
- Yu MC, Yuan JM. Epidemiology of nasopharyngeal carcinoma. Semin Cancer Biol 2002;12:421-9. [Crossref] [PubMed]
- Tsao SW, Tsang CM, Lo KW. Epstein-Barr virus infection and nasopharyngeal carcinoma. Philos Trans R Soc Lond B Biol Sci 2017;372:20160270. [Crossref] [PubMed]
- Chang ET, Liu Z, Hildesheim A, et al. Active and Passive Smoking and Risk of Nasopharyngeal Carcinoma: A Population-Based Case-Control Study in Southern China. Am J Epidemiol 2017;185:1272-80. [Crossref] [PubMed]
- Guo X, Johnson RC, Deng H, et al. Evaluation of nonviral risk factors for nasopharyngeal carcinoma in a high-risk population of Southern China. Int J Cancer 2009;124:2942-7. [Crossref] [PubMed]
- Liu Z, Chang ET, Liu Q, et al. Quantification of familial risk of nasopharyngeal carcinoma in a high-incidence area. Cancer 2017;123:2716-25. [Crossref] [PubMed]
- Liu Z, Chang ET, Liu Q, et al. Oral Hygiene and Risk of Nasopharyngeal Carcinoma-A Population-Based Case-Control Study in China. Cancer Epidemiol Biomarkers Prev 2016;25:1201-7. [Crossref] [PubMed]
- Tsao SW, Yip YL, Tsang CM, et al. Etiological factors of nasopharyngeal carcinoma. Oral Oncol 2014;50:330-8. [Crossref] [PubMed]
- Sham JS, Choy D, Wei WI. Nasopharyngeal carcinoma: orderly neck node spread. Int J Radiat Oncol Biol Phys 1990;19:929-33. [Crossref] [PubMed]
- Chiesa F, De Paoli F. Distant metastases from nasopharyngeal cancer. ORL J Otorhinolaryngol Relat Spec 2001;63:214-6. [Crossref] [PubMed]
- Lam KY, Tang V. Metastatic tumors to the spleen: a 25-year clinicopathologic study. Arch Pathol Lab Med 2000;124:526-30. [Crossref] [PubMed]
- Genova P, Brunetti F, Bequignon E, et al. Solitary splenic metastasis from nasopharyngeal carcinoma: a case report and systematic review of the literature. World J Surg Oncol 2016;14:184. [Crossref] [PubMed]
- Compérat E, Bardier-Dupas A, Camparo P, et al. Splenic metastases: clinicopathologic presentation, differential diagnosis, and pathogenesis. Arch Pathol Lab Med 2007;131:965-9. [Crossref] [PubMed]
- Hoar FJ, Chan SY, Stonelake PS, et al. Splenic rupture as a consequence of dual malignant pathology: a case report. J Clin Pathol 2003;56:709-10. [Crossref] [PubMed]
- Agha-Mohammadi S, Calne RY. Solitary splenic metastasis: case report and review of the literature. Am J Clin Oncol 2001;24:306-10. [Crossref] [PubMed]
- Gupta PB, Harvey L. Spontaneous rupture of the spleen secondary to metastatic carcinoma. Br J Surg 1993;80:613. [Crossref] [PubMed]
- Hou HC, Chen CJ, Chang TC, et al. Metastatic choriocarcinoma with spontaneous splenic rupture following term pregnancy: a case report. Changgeng Yi Xue Za Zhi 1996;19:166-70.
- Rüther U, Schmidt A, Rupp W, et al. Spontaneous splenic rupture in a patient with multiloculated signet ring cell carcinoma of the urinary bladder. Eur Urol 1993;23:417-8. [Crossref] [PubMed]
- Schmidt BJ, Smith SL. Isolated splenic metastasis from primary lung adenocarcinoma. South Med J 2004;97:298-300. [Crossref] [PubMed]
- Showalter SL, Hager E, Yeo CJ. Metastatic disease to the pancreas and spleen. Semin Oncol 2008;35:160-71. [Crossref] [PubMed]
- Pugalenthi A, Bradley C, Gonen M, et al. Splenectomy to treat splenic lesions: an analysis of 148 cases at a cancer center. J Surg Oncol 2013;108:521-5. [Crossref] [PubMed]
- Metser U, Miller E, Kessler A, et al. Solid splenic masses: evaluation with 18F-FDG PET/CT. J Nucl Med 2005;46:52-9.
- Lee SS, Morgenstern L, Phillips EH, et al. Splenectomy for splenic metastases: a changing clinical spectrum. Am Surg 2000;66:837-40.
- Gatenby PA, Mudan SS, Wotherspoon AC. Splenectomy for non-haematological metastatic malignant disease. Langenbecks Arch Surg 2011;396:625-38. [Crossref] [PubMed]
- Sauer J, Sobolewski K, Dommisch K. Splenic metastases--not a frequent problem, but an underestimate location of metastases: epidemiology and course. J Cancer Res Clin Oncol 2009;135:667-71. [Crossref] [PubMed]
- Yang J, Liao W, Su S, et al. Long-term outcomes of metastasis-directed stereotactic body radiation therapy in metastatic nasopharyngeal carcinoma. Cancer Med 2024;13:e6764. [Crossref] [PubMed]
- Chua GWY, Chua ET. Long-Term Disease-Free Survival of a Patient with Oligometastatic Nasopharyngeal Carcinoma Treated with Radiotherapy Alone. Case Rep Oncol 2018;11:392-8. [Crossref] [PubMed]
Cite this article as: Alfirm R, Alrobian A, Alessa M, Hijazi N, Almalki M. Metastasis of nasopharyngeal carcinoma to the spleen: a case report. AME Case Rep 2025;9:161.

