The Creutz of a veteran’s life: an emergency department presentation of rapidly progressive dementia and myoclonus—a case report
Highlight box
Key findings
• The emergency physician should have a high index of suspicion for Creutzfeldt-Jacob Disease (CJD) when a patient presents with subacute neurologic and personality changes along with abnormal physical exam findings. A lumbar puncture (LP) is a crucial step to diagnosis and is well within our skillset. Waste product disposal requires a specialized protocol that is institution specific, and the clinician should be aware of such protocol.
What is known and what is new?
• CJD is a rapidly progressive neurologic disorder that is extremely rare but fatal. Brain biopsy remains the diagnostic gold standard.
• Specialized cerebrospinal fluid testing (Creutzfeldt 14-3-3, real-time quaking-induced conversion, and T-tau protein) in combination with protocolized magnetic resonance imaging brain have a very high sensitivity and specificity, making these diagnostic tools more favorable. High suspicion for this disease process with appropriate diagnostic testing can play a crucial role in early detection and quality of care, especially end-of-life care, for the patient and their family.
What is the implication, and what should change now?
• Due to high suspicion for CJD, specialized cerebrospinal fluid testing from a LP was sent out the day of presentation. Our emergency department (ED) infrequently encounters waste products of this contagion level, and staff were unaware of how to properly dispose of these materials. This led to an institutional change and an extension of neurology protocol to the ED. Other institutions may benefit from an ED-based protocol.
Introduction
Creutzfeldt-Jakob disease (CJD) is a rare but universally fatal neurodegenerative disorder attributable to misfolded proteins that exponentially propagate inside neurons causing apoptosis and cell death (1). Clinically, this leads to a rapid decline in functional and neurologic status over six months to one year, based on time of diagnosis. The presentation of CJD may be subtle during primitive stages making it difficult to differentiate from other disease processes. Further complicating matters is its infrequent presentation. Incidence is estimated to be one to two persons per year per one million worldwide with an estimated 350 cases diagnosed annually within the United States (2). Common symptoms include encephalopathy, behavioral changes, and cerebellar dysfunction (e.g., ataxia, nystagmus, and “startle” myoclonus) (3). However, its hallmark feature is the swift progression from functionality to disability. This should prompt the emergency clinician to consider CJD in the differential for encephalopathy. Every effort should be made to identify mimics of CJD that are reversible and amenable to treatment. Other diagnoses to consider include neurodegenerative disorders, antibody/immune-mediated, infectious, metabolic, and toxic causes. A comprehensive list of differentials can be found in Table 1.
Table 1
| Neurodegenerative |
| • Alzheimer’s |
| • Lewy-body dementia |
| • Frontotemporal dementia |
| • Vascular dementia |
| • Corticobasal degeneration |
| • Progressive supranuclear palsy |
| Antibody/immune mediated |
| • NMDA-R antibody encephalitis |
| • AMPA receptor antibody |
| • Glutamic acid decarboxylase antibodies |
| • Voltage gated potassium channel complex antibody encephalitis (VGK-1) |
| • Antibodies: Yo and Hu, Ma, CV, neuropil, adenylate kinase 5, glial |
| • Multiple sclerosis |
| • Neurosarcoidosis |
| • Polyarteritis nodosa |
| • Systemic lupus erythematosus |
| Infectious |
| • Progressive multifocal encephalopathy (JC virus) |
| • Herpes encephalitis |
| • Syphilis encephalitis |
| • Subacute sclerosing panencephalitis (Measles) |
| • Enterovirus encephalitis |
| Toxic/metabolic |
| • Wernicke’s encephalopathy (Thiamine deficiency) |
| • Hepatic encephalopathy |
| • Hashimoto’s encephalitis (Hypothyroidism) |
| • Heavy metal toxicity |
| • Ethanol intoxication |
| • Methylmalonic acidemia |
| • Niacin (B3) deficiency |
| • Methotrexate toxicity |
JC, John Cunningham.
CJD manifests as four major variants: sporadic, familial, iatrogenic, and variant, with sporadic accounting for 85% of cases (1). Incidence of this disease is rare, estimated one to two persons per year per one million worldwide, but is increasing annually (2). This is thought to be due to an aging population, as CJD disproportionately affects older individuals (though also higher in females) and due to improvement in detection through new diagnostic modalities, specifically brain magnetic resonance imaging (MRI) and real-time quaking-induced conversion testing (RT-QuIC) (4). Brain MRI outperforms CSF biomarkers 14-3-3 protein and tau with a sensitivity of 92–98% and specificity of 94% (5). Although a rare disease and challenging diagnosis, timely detection in the emergency department (ED) can impact end-of-life care. As the gateway to the hospital, the emergency medicine (EM) physician may be best positioned to recognize the subacute progression of symptoms, perform a lumbar puncture (LP) alongside imaging, and admit or transfer the patient for further neurologic management. We present this article in accordance with the CARE reporting checklist (available at https://acr.amegroups.com/article/view/10.21037/acr-2025-75/rc).
Case presentation
All procedures performed in this study were in accordance with the ethical standards of the institutional and/or national research committee(s) and with the Declaration of Helsinki and its subsequent amendments. Verbal informed consent for publication of this case report and accompanying images was obtained from the patient’s next of kin (sons) during hospitalization; however, written informed consent was not obtained after all possible attempts were made.
Background
A 75-year-old male with a history of hypertension, hyperlipidemia, diabetes, glaucoma, and opioid-use disorder (on methadone) presented to the ED with subacute altered mental status, diffuse weakness, and personality changes. He reported feeling “sick” but could not elaborate.
His sons provided collateral history, noting that two months ago, he was independent-working in the yard, cooking, and caring for his wife. His symptoms began with vertigo and unsteadiness, progressing to profound weakness requiring a wheelchair and assistance. He lost 40 pounds due to decreased appetite and exhibited hypersomnolence, withdrawal from conversation, and episodic confusion—misnaming family members and common objects. He developed tactile hallucinations, which progressed to audiovisual. No other family members had experienced any similar illnesses.
Social history included a 40 pack-year smoking history, regular moonshine consumption (stopped weeks prior due to decline), and past opioid addiction (now on methadone), with no intravenous (IV) drug use per family report. A former carpenter and Vietnam veteran, he was previously evaluated at the Veteran’s affairs (VA) and a community hospital with negative blood work and brain imaging. Despite outpatient neurology consultation and vestibular rehabilitation, symptoms worsened, prompting his family to drive three hours to our ED for further evaluation.
Vitals were normal upon presentation. He was alert but oriented only to self. Dysarthria was present, limiting his speech to one-to-two-word answers. The upper extremities exhibited hyperreflexia with normal reflexes in bilateral lower extremities. He followed simple commands and had normal strength and sensation testing. Dramatic myoclonus was present in all four extremities that would occur with tactile stimulation and a pronounced startle reflex. Dysdiadochokinesia was present. All other systems on the physical exam were unremarkable.
Lab work was notable for a mild leukocytosis with a white blood count (WBC) of 11.4 wbc/microliter [range, (4.5–11.0)×109/L] and glucose of 127 mg/dL (range, 70–100 mg/dL). Thyroid-stimulating hormone, troponin, zinc, copper, folate, and vitamin B3 and B12 were within normal limits. Ethanol and human-immunodeficiency virus (HIV) 1–2 antibodies were negative. Urinalysis and urine drug screen were unrevealing. Brain computed tomography (CT) was unremarkable. LP was notable for elevated protein at 60 mg/dL (range, 15–45 mg/dL), elevated glucose at 78 mg/dL (range, 40–70 mg/dL), and 9 nucleated cells (range, 0–8/cumm). A panel of specialized CSF studies was ordered by neurology (Figure 1), including a specimen sent to the National Prion Disease Pathology Surveillance center for T-tau, 14-3-3 Gamma, and PRPSC RT-QuIC testing. MRI without contrast was obtained in the ED and was interpreted as negative for acute intracranial pathology. The patient was admitted to the neurology service for more extensive testing.
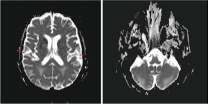
Upon admission, the patient was initially started on intravenous thiamine for possible Wernicke’s encephalopathy and alcohol-withdrawal protocol. Malignancy testing, including CT scan of the chest, abdomen, and pelvis, and testicular ultrasound, were negative. Syphilis antibody testing and CSF and serum panel for autoimmune encephalopathy were negative (Figure 1). Electroencephalogram (EEG) returned negative for any seizure or abnormal electrographic activity. A 5-day methylprednisolone course was attempted to treat an undifferentiated autoinflammatory process without success. A repeat MRI was performed one week later, which revealed diffuse signal abnormality of the right basal ganglia (pulvinar sign) and cortical ribboning, further raising suspicion for CJD (Figure 2). Two days later, approximately ten days into the hospitalization, T-tau resulted abnormal at >20,000 pg/mL (range, 0–1,149 pg/mL), 14-3-3 Gamma resulted at 91,161 AU/mL (range, <30–1,999 AU/mL) and RT-QuIC resulted as positive (reference negative) providing a >98% likelihood of prion disease, so the decision was made to defer brain biopsy. The patient continued to worsen throughout his 3-week hospitalization, and he was transitioned to comfort care with home hospice. He passed away only a few days after discharge, surrounded by his loved ones.
Discussion
CJD, or spongiform encephalopathy, is a fatal human prion disease caused by an accumulation of misfolded proteins called prions. These abnormal proteins propagate by converting their non-misfolded counterpart into the abnormal configuration (4). This leads to a rapid exponential accumulation of prions inside nerve cells. Aggregation of these misfolded proteins leads to cell death and the classic spongiform appearance seen on biopsy, characterized by nerve cell loss, gliosis, and brain vacuolation, in the absence of any inflammatory reaction (6).
There are four main subtypes classified by the mode of transmission and include sporadic, genetic, variant, and iatrogenic. Sporadic develops most commonly, accounting for approximately 85% of cases, without known provoking factors (1). Familial is a result of a mutation in the PRNP gene on chromosome 20, inherited in an autosomal dominant pattern, estimated in 10–15% of cases. This includes both Gerstmann Straussler-Sheinker (GSS) and Familial Fatal Insomnia (FFI) (7), each a different mutation on the PRNP gene. Acquired subtype includes Kuru, related to historical cannibalistic rituals in Papa New Guinea, and Bovine Spongiform Encephalopathy, transmitted to humans via infected red meat. Iatrogenic, the rarest of subtypes, is acquired through contact with contaminated tissues (1). These cases were most commonly transmitted from injections of human growth hormone (estimated at 500 cases) from 1958–1985 and six documented cases from neurosurgical equipment and EEG electrodes (7). Since the implementation of a standardized sterilization process, no new documented cases of transmitted CJD have been reported.
Prions are resistant to inactivation by normal disinfection processes. While your institution may have their own guidelines, due to its rarity, many hospitals rely on national guidelines to direct handling of biospecimens for safe processing. Currently, the Centers for Disease Control has three main instrument processing techniques they recommend. All involve immersing the instruments in sodium hydroxide and then autoclaving at 121 ℃ for 30 minutes to 1 hour (2). Materials or waste products that are contaminated by tissue should be incinerated (2). This includes highly infectious tissue (brain, spinal cord, and eyes) and low infectious tissue (CSF, kidney, liver, lungs, lymph node, spleen, and placenta) (2). LP waste products are recommended for incineration while other blood-contaminated waste products, including intravenous needle sharps, gauze, and bed sheets, allow for traditional disposal. Should CSF spill during LP, the surface should be cleaned with full strength bleach for 1 hour (8). The process by which materials are disposed may slightly vary depending on institution but can be accessed by contacting your local infection prevention coordinator. For our institution, once an order is placed for the 14-3-3 CSF protein or RTQuIC, an automated page is sent to the infection specialist on call. When they receive confirmation that CJD is suspected, a waste bin is delivered to the patient’s room, where it will stay for the entirety of the patient’s hospitalization. If the CSF testing returns positive, the bin will be incinerated. If negative, the materials are disposed of through typical biohazard processing. While this process is often streamlined for inpatients, it can present challenges for infectious waste in the ED, which is why we have elaborated here. A review of relative incidence of prion disease in healthcare workers did not demonstrate a higher incidence compared to the general population, suggesting low occupational risk (9).
CJD poses diagnostic challenges due to nonspecific symptoms at presentation and often mimics far more common neurologic and psychiatric disease processes. In addition, due to an incubation period that can extend to decades, linkage to exposure can be incredibly difficult. Due to our patient’s level of encephalopathy, a detailed exposure history could not be fully elicited beyond the limited social history provided by family. The inpatient neurology team determined the most likely diagnosis to be sporadic CJD, which accounts for approximately 85% of cases. Other diagnosis to consider include Wernicke’s and Hashimoto’s encephalopathies, neurosarcoid, autoimmune encephalitis including anti-NMDA receptor, paraneoplastic syndromes, toxic exposures such as lead, mercury, or even medications like methotrexate, vitamin deficiencies, and infectious encephalitis (10). Refer to Table 1 for a more extensive list of differentials.
The initial diagnostic modalities include CSF studies, brain MRI, EEG, and CT scan, with the first two being of value. CSF protein 14-3-3 is released into the CSF during cell damage and was the first protein used in diagnosing CJD, although it can be elevated in other disorders with neuronal destruction (11). The sensitivity nears 87% and specificity of 66% which increases to 85% with enzyme-linked immunosorbent assay (ELISA) (11). TAU, another biomarker, is a microtubule-associated protein marking neuroaxonal degeneration. Discrepancy exists on the cutoff value used to differentiate Alzheimer’s dementia from CJD, but a cutoff value of >1,000–1,500 pg/mL, when combined with protein 14-3-3, can increase the sensitivity to 93% and specificity to 98% (11). Newer, more advanced CSF testing, RT-QuIC, detects PRPSC, with a sensitivity of 80–96% and specificity of 98–100% (11,12). MRI brain with and without contrast is another useful study, especially sequences with diffusion-weighted imaging, and fluid-attenuated inversion recovery (FLAIR). Classic abnormalities seen on MRI FLAIR sequence include high signals in the striatum (basal ganglia), cerebral cortex or thalamus (Figure 2) (12). Sensitivity ranges from 92–98%, and specificity is around 93–94% (13). EEG can supplement the diagnosis suggested by 1–2 Hz periodic sharp wave complexes, although this has fallen out of favor with the progression of CSF testing (12). The high specificity of RT-QuIC assay has markedly enhanced the diagnostic utility of cerebrospinal fluid (CSF) analysis in identifying CJD. However, further research is warranted to elucidate the relative performance of brain MRI versus CSF-based assays, as both modalities are currently employed in tandem due to the complex and nuanced nature of CJD diagnosis.
Historically, definitive diagnosis required a brain biopsy. As advanced testing has emerged, new diagnostic criteria were proposed in 2009. Sporadic CJD was categorized into “definite”, “probable”, and “possible” based on symptoms, timing, physical exam, and classic findings on either MRI, CSF, or EEG. Our patient exhibited criteria for “probable” CJD including (I) neuropsychiatric disorder plus positive RT-QuIC in CSF and (II) rapidly progressive dementia with a negative routine investigation plus myoclonus and visual cerebellar signs plus a typical CJD MRI findings and CSF testing (13). Refer to Figure 3 for a more in-depth breakdown of diagnostic criteria.
Conclusions
We present the case of an older male patient who arrived at our ED with a rapid functional and mental decline, raising strong suspicion for sporadic Creutzfeldt-Jakob disease (sCJD). Within 1 month, he had deteriorated from full independence to complete dependence along with dramatic changes in his personality and behavior. On examination, he exhibited pronounced myoclonus and an exaggerated “startle” reflex, further supporting our suspicion. Comprehensive labs and imaging in the ED were unremarkable, prompting a LP with specific CSF testing, including T-tau, 14-3-3 gamma, and RT-QuIC, as well as an MRI. While a recent six-patient case series showed some promise utilizing an anti-PrPC (cellular prion protein) monoclonal antibody, there is no treatment for any variant of this fatal and devastating disease (15). Once the diagnosis is confirmed, management shifts to focus on comfort. Hospice was arranged, and our veteran passed away peacefully in his home surrounded by family members.
Managing biohazard and waste disposal posed a challenge, as prion diseases are rarely encountered in the emergency setting. Current guidelines recommend incineration of all materials contaminated by infectious tissue, including LP waste, though this does not extend to blood-contaminated products. Institutional protocols may vary, but consultation with the local infection prevention coordinator—available by phone at our institution—can provide guidance.
This case highlights the crucial role of emergency physicians in recognizing prion disease, initiating appropriate diagnostic testing (including LP and MRI when available), and advocating for admission with neurology consultation to confirm this rare diagnosis.
Acknowledgments
None.
Footnote
Reporting Checklist: The authors have completed the CARE reporting checklist. Available at https://acr.amegroups.com/article/view/10.21037/acr-2025-75/rc
Peer Review File: Available at https://acr.amegroups.com/article/view/10.21037/acr-2025-75/prf
Funding: None.
Conflicts of Interest: All authors have completed the ICMJE uniform disclosure form (available at https://acr.amegroups.com/article/view/10.21037/acr-2025-75/coif). The authors have no conflicts of interest to declare.
Ethical Statement: The authors are accountable for all aspects of the work in ensuring that questions related to the accuracy or integrity of any part of the work are appropriately investigated and resolved. All procedures performed in this study were in accordance with the ethical standards of the institutional and/or national research committee(s) and with the Declaration of Helsinki and its subsequent amendments. Verbal informed consent for publication of this case report and accompanying images was obtained from the patient’s next of kin (sons) during hospitalization; however, written informed consent was not obtained after all possible attempts were made.
Open Access Statement: This is an Open Access article distributed in accordance with the Creative Commons Attribution-NonCommercial-NoDerivs 4.0 International License (CC BY-NC-ND 4.0), which permits the non-commercial replication and distribution of the article with the strict proviso that no changes or edits are made and the original work is properly cited (including links to both the formal publication through the relevant DOI and the license). See: https://creativecommons.org/licenses/by-nc-nd/4.0/.
References
- Noor H, Baqai MH, Naveed H, et al. Creutzfeldt-Jakob disease: A comprehensive review of current understanding and research. J Neurol Sci 2024;467:123293. [Crossref] [PubMed]
- World Health Organization. WHO infection control guidelines for transmissible spongiform encephalopathies : report of a WHO consultation. Geneva: World Health Organization; 2000.
- World Health Organization. Global surveillance, diagnosis, and therapy of human transmissible spongiform encephalopathies: report of a WHO consultation. Geneva: World Health Orgaization; 1998.
- Crane MA, Nair-Desai S, Gemmill A, et al. Change in Epidemiology of Creutzfeldt-Jakob Disease in the US, 2007-2020. JAMA Neurol 2024;81:195-7. [Crossref] [PubMed]
- Shiga Y, Miyazawa K, Sato S, et al. Diffusion-weighted MRI abnormalities as an early diagnostic marker for Creutzfeldt-Jakob disease. Neurology 2004;63:443-9. [Crossref] [PubMed]
- Baldwin KJ, Correll CM. Prion Disease. Semin Neurol 2019;39:428-39. [Crossref] [PubMed]
- Uttley L, Carroll C, Wong R, et al. Creutzfeldt-Jakob disease: a systematic review of global incidence, prevalence, infectivity, and incubation. Lancet Infect Dis 2020;20:e2-e10. [Crossref] [PubMed]
.Precautions for Handling of Specimens with Suspected or Confirmed Prion Disease, Department of Clinical Laboratories 2024 . Available online: https://wexnermedical.osu.edu/-/media/files/wexnermedical/healthcare-professionals/clinical-labs/forms-policies-procedures/general-polices-procedures-tip-sheets/lab-safety-29_r11_laboratory-precautions-for-handling-of-specimens.docx- Alcalde-Cabero E, Almazan-Isla J, Brandel JP, et al. Health professions and risk of sporadic Creutzfeldt-Jakob disease, 1965 to 2010. Euro Surveill 2012;17:20144.
- Geschwind MD, Shu H, Haman A, et al. Rapidly progressive dementia. Ann Neurol 2008;64:97-108. [Crossref] [PubMed]
- Jurcau MC, Jurcau A, Diaconu RG, et al. A Systematic Review of Sporadic Creutzfeldt-Jakob Disease: Pathogenesis, Diagnosis, and Therapeutic Attempts. Neurol Int 2024;16:1039-65. [Crossref] [PubMed]
- Mead S, Rudge P. CJD mimics and chameleons. Pract Neurol 2017;17:113-21. [Crossref] [PubMed]
- Zerr I, Kallenberg K, Summers DM, et al. Updated clinical diagnostic criteria for sporadic Creutzfeldt-Jakob disease. Brain 2009;132:2659-68. [Crossref] [PubMed]
- CJD Diagnostic Criteria. Centers for Disease Control. 2024 [cited June 24, 2025]. Available online: https://www.cdc.gov/creutzfeldt-jakob/hcp/clinical-overview/diagnosis.html
- Zerr I. Investigating new treatments for Creutzfeldt-Jakob disease. Lancet Neurol 2022;21:299-300. [Crossref] [PubMed]
Cite this article as: Bernardo C, Koval K, Rosenberg M. The Creutz of a veteran’s life: an emergency department presentation of rapidly progressive dementia and myoclonus—a case report. AME Case Rep 2025;9:157.


