“Not-So-Indolent” neuroendocrine neoplasms: two case reports of gastrointestinal small cell neuroendocrine carcinomas
Highlight box
Key findings
• Gastrointestinal small cell neuroendocrine carcinomas (GI-SCNECs) exhibit aggressive clinical behavior with rapid progression and poor response to conventional therapies, even when managed within a multidisciplinary framework.
What is known and what is new?
• GI neuroendocrine neoplasms (NENs) are typically indolent; however, small cell variants represent a rare, poorly differentiated subset with markedly aggressive biology and poor prognosis.
• These two cases—one gastric, one rectal—underscore the diverse primary sites of GI-SCNECs and illustrate their uniformly aggressive course, rapid clinical decline, and limited therapeutic durability despite early intervention. This reinforces the need to differentiate SCNECs from other NENs at initial presentation.
What is the implication, and what should change now?
• Clinicians should maintain a high index of suspicion for SCNEC in patients presenting with rapidly progressive GI malignancies. Prompt histologic differentiation is critical to guide realistic prognostication and initiate early palliative strategies, given the current lack of effective systemic treatments for this aggressive entity.
Introduction
Neuroendocrine neoplasms (NENs) encompass a diverse group of tumors arising from epithelial cells with neuroendocrine characteristics. They are rare, with an estimated incidence of approximately 0.1 cases per 100,000 population annually, and can originate in various anatomical sites, including the gastrointestinal (GI) tract (1). Most GI-NENs present as well-differentiated tumors with an indolent clinical course. However, a rare subset, known as gastrointestinal neuroendocrine carcinomas (GI-NECs), are poorly differentiated, high-grade tumors characterized by aggressive clinical behavior and poor prognosis (2).
Although survival outcomes vary by site and treatment, patients with localized GI-NECs who undergo surgery or chemoradiotherapy may achieve median survivals ranging from 11 to 49 months. In contrast, those with metastatic disease typically have significantly worse outcomes, with median overall survival ranging from 5.8 to 19 months despite systemic therapy (2).
Herein, we present two cases of the small cell variant of GI-NEC arising from the stomach and rectum, highlighting the aggressive nature of these tumors. We present this article in accordance with the CARE reporting checklist (available at https://acr.amegroups.com/article/view/10.21037/acr-2025-71/rc).
Case presentation
All procedures performed in this study were conducted in accordance with the ethical standards of the institutional and/or national research committee(s) and with the Declaration of Helsinki and its subsequent amendments. Written informed consent was obtained from the patients or their next-of-kin for the publication of this case report and accompanying images. Copies of the written consents are available for review by the editorial office of this journal.
Case 1
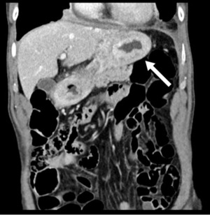
An 80-year-old previously healthy man presented to a tertiary hospital with two weeks of dyspnea, along with progressive solid food dysphagia and weight loss over one month. He had no significant medical history, family history, or psychosocial factors relevant to his current presentation. The primary concern was a rapidly worsening inability to swallow solid foods, associated with profound fatigue and a marked decrease in appetite. A computed tomography (CT) scan revealed extensive circumferential mural thickening involving a long segment of the esophagus, as well as the entire stomach and duodenum, accompanied by regional lymphadenopathy and bilateral pleural effusion (Figure 1).
Esophagogastroduodenoscopy (EGD) demonstrated a large gastric ulcer with a necrotic base involving most of the lesser curvature (Figure 2). There was also luminal narrowing and mucosal friability extending from the mid-esophagus to the gastroesophageal junction. Biopsies from both sites showed infiltration by poorly differentiated cells with hyperchromatic, angulated nuclei, nuclear molding, and minimal cytoplasm. Immunohistochemistry was positive for AE1/AE3, synaptophysin, and chromogranin, and negative for TTF1, CD3, and CD20, confirming neuroendocrine and epithelial differentiation. The Ki-67 proliferation index exceeded 80%, consistent with a high-grade tumor (Figure 3). These findings supported a diagnosis of pure small cell neuroendocrine carcinoma (SCNEC). Cytological analysis of pleural fluid obtained via thoracentesis revealed similar small cell morphology, confirming metastatic disease; however, no cytology image was available for publication.
The patient continued to experience dysphagia despite esophageal stent insertion. His case was reviewed by the oncology service; however, he was deemed unsuitable for palliative chemotherapy due to increasing frailty, likely secondary to rapidly progressive disease, reduced oral intake, and significant weight loss. He subsequently underwent a course of palliative radiotherapy targeted to the esophagus and stomach with the aim of relieving obstruction. Unfortunately, clinical benefit was minimal, and the patient’s condition deteriorated rapidly, with persistent dysphagia and respiratory failure secondary to malignant pleural effusions. Given his poor prognosis and ongoing clinical decline, he was transferred to hospice care and died approximately one month after his initial presentation.
A detailed timeline of clinical events, interventions, and outcomes is summarized in Table 1.
Table 1
| Timeline | Clinical events | Interventions | Outcomes |
|---|---|---|---|
| Week −4 | Onset of progressive dysphagia and weight loss | – | – |
| Week −2 | Development of dyspnea | – | – |
| Day 0 (presentation) | CT scan revealed extensive gastrointestinal involvement and metastatic pleural effusions | – | – |
| Day +2 | Dysphagia, luminal narrowing, necrotic gastric ulcer | EGD with biopsy confirming small cell NEC | Diagnosis established |
| Day +7 | Persistent dysphagia | Esophageal stent placement | Partial symptomatic relief |
| Day +14 | Ongoing dysphagia, progressive disease | Initiation of palliative radiotherapy targeted to gastric lesion | Minimal clinical benefit |
| Day +30 | Respiratory failure from malignant pleural effusions, poor performance status | Transferred to hospice care | Death |
CT, computed tomography; EGD, esophagogastroduodenoscopy; NEC, neuroendocrine carcinoma.
Patient’s family perspective
Our father had always been healthy, so when he started having trouble swallowing, we didn’t expect it to be something serious. But within a few weeks, he became very weak and lost a lot of weight. He could barely eat or move. When the doctors told us he had a very aggressive type of cancer that had already spread, it was a huge shock. The doctors were kind and explained that treatment would be difficult and might not help much. He had a stent placed and received radiotherapy to try to help him swallow, but it didn’t make a big difference. He became weaker every day and eventually struggled to breathe due to fluid in his lungs. The palliative care team helped keep him comfortable, and we were thankful for that.
Case 2
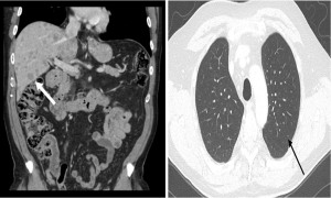
A 69-year-old man presented to a tertiary hospital with a three-month history of right upper quadrant abdominal pain and a 30-pound weight loss. Apart from hypertension, his medical history was otherwise non-contributory, and he had no relevant family history or notable psychosocial factors. A whole-body CT scan demonstrated numerous hepatic lesions along with a vertebral sclerotic lesion, raising concern for metastatic disease, with no evidence of cirrhosis (Figure 4).
EGD and colonoscopy were performed to evaluate for a GI primary. EGD revealed no abnormalities in the esophagus, stomach, or duodenum. Colonoscopy identified a large rectal lesion resembling a submucosal tumor with a friable surface (Figure 5).
Biopsy of the lesion demonstrated solid sheets of atypical, poorly differentiated cells with nuclear molding (Figure 6). Biopsy of the rectal mass revealed a poorly differentiated carcinoma composed of solid nests of atypical cells with nuclear molding and high mitotic activity (Figure 6). Immunohistochemistry was positive for CK7, CK20, synaptophysin, and chromogranin, with a Ki-67 proliferation index of 95%, consistent with a high-grade NEC. No squamous or adenocarcinoma components were identified. The sclerotic vertebral and hepatic lesions were considered metastatic deposits from the rectal NEC.
After review with medical oncology, he was started on palliative carboplatin and etoposide chemotherapy. His prognosis was deemed poor with an expected survival of less than 3 months without therapy and 12 months with chemotherapy. The patient tolerated 6 cycles of carboplatin and etoposide with a repeat CT scan demonstrating stable mild reduction in liver metastasis and progression of bony metastatic disease. Unfortunately, after a brief 4-week treatment break, the patient had clinical and radiographic evidence of disease progression, and thus he was started on another 4-6 cycles of carboplatin and etoposide. He was also referred to radiation oncology for consideration of palliative radiation for disease control/symptom management of his diffuse bone disease. The patient died 11 months after diagnosis.
A detailed timeline of clinical events, interventions, and outcomes is summarized in Table 2.
Table 2
| Timeline | Clinical events | Interventions | Outcomes |
|---|---|---|---|
| Month −3 | Onset of abdominal pain and significant weight loss | – | – |
| Day 0 (presentation) | CT revealed hepatic and vertebral lesions; colonoscopy demonstrated rectal mass | – | – |
| Day +3 | Rectal mass biopsied, confirming small cell NEC | – | Diagnosis established |
| Day +10 | Poor prognosis discussed | Initiation of palliative chemotherapy (carboplatin + etoposide) | Partial disease control |
| Month +6 | Stable pulmonary disease; mild hepatic improvement; progression of bony metastases | Completed 6 cycles of carboplatin + etoposide | Mixed treatment response |
| Month +7 | Clinical and radiographic progression | Restarted carboplatin + etoposide; referred to radiation oncology for palliative radiotherapy | Disease progression despite treatment |
| Month +11 | Clinical deterioration | Supportive care only | Death |
CT, computed tomography; NEC, neuroendocrine carcinoma.
Patient perspective
I started having pain in my stomach that wouldn’t go away, and I was losing weight fast. When the doctors told me it was cancer that had spread to my liver and bones, it was very difficult news. The treatments did not cure it, but they helped control the pain for a time. I was frustrated that I couldn’t do the things I used to, but I appreciated that the doctors were honest with me and focused on keeping me as comfortable as possible.
Discussion
NENs are tumors arising from epithelial cells that exhibit neuroendocrine features and can occur throughout the body. GI-NENs represent a spectrum of neoplasms with significant diversity in clinical behavior, ranging from indolent, well-differentiated NETs to poorly differentiated, aggressive GI-NECs (3). According to the updated World Health Organization (WHO) classification of GI-NENs, GI-NECs can be further subdivided into small cell and large cell types, similar to the classification system used for pulmonary NECs (4-7). Although these subtypes differ histologically, they are phenotypically similar, both exhibiting highly aggressive clinical behavior.
While NENs most commonly originate in the GI tract, GI-NENs remain rare, accounting for only 0.1–2% of all GI neoplasms (8-10). GI-NECs are even rarer, comprising approximately 20% of GI-NENs, with 50–70% of cases presenting with metastatic disease at the time of diagnosis. Among GI-NECs, gastric and rectal locations represent approximately 15–20% and 20–25% of cases, respectively (11).
The clinical presentation of GI-NECs is often nonspecific, leading to delayed diagnosis and advanced disease at the time of presentation. Patients are typically asymptomatic in the early stages and frequently present with symptoms related to metastatic disease. This is partly due to the fact that GI-NECs are non-functioning neoplasms and are not associated with carcinoid syndrome or other hormonal hypersecretory states. The endoscopic appearance of GI-NECs can be variable but commonly includes submucosal tumor-like lesions or ulcerations with distinct margins, as observed in our cases (12).
Histopathological confirmation is essential to avoid misclassification. GI-NECs are characterized by positive immunohistochemical staining for neuroendocrine markers such as synaptophysin and chromogranin A. They are also defined by a high proliferation rate, with a Ki-67 index greater than 20%, which correlates with the poor oncologic prognosis associated with these malignancies (11,13).
Despite advances in the recognition and understanding of GI-NENs, the prognosis of GI-NECs remains extremely poor, with a median survival of less than 12 months (14). Gastric NEC, for example, is considered to have a worse prognosis than gastric adenocarcinoma (15,16). This poor outcome is likely multifactorial, reflecting tumor aggressiveness, delayed diagnosis, and limited responsiveness to conventional treatment. Additionally, there is no established standard oncologic treatment regimen.
Recent consensus guidelines from the North American Neuroendocrine Tumor Society (NANETS) recommend multidisciplinary evaluation and consideration of chemoradiation with or without surgical excision for localized GI-NECs (14). The role of surgery, even in localized disease, remains uncertain due to high relapse rates observed following radical resections (17). For metastatic GI-NECs, palliative systemic chemotherapy is recommended, with platinum and etoposide being the most used regimens. Although a clinical trial is currently underway to evaluate the addition of immunotherapy, there are no formal recommendations for its use currently (14).
Conclusions
GI-NECs are rare but highly aggressive tumors within the spectrum of GI-NENs. Our case reports underscore the diagnostic and therapeutic challenges associated with GI-NECs, which are defined by aggressive behavior, delayed diagnosis, and limited treatment options. Despite advances in diagnostic modalities and treatment strategies, the prognosis remains poor, with a high incidence of distant metastasis at presentation and limited response to current therapies. Further research is warranted to develop strategies for earlier detection and more effective treatments, including the potential role of immunotherapy. Clinicians should maintain a high index of suspicion for NEC in rapidly progressive GI malignancies to facilitate timely diagnosis and intervention.
Acknowledgments
None.
Footnote
Reporting Checklist: The authors have completed the CARE reporting checklist. Available at https://acr.amegroups.com/article/view/10.21037/acr-2025-71/rc
Peer Review File: Available at https://acr.amegroups.com/article/view/10.21037/acr-2025-71/prf
Funding: None.
Conflicts of Interest: All authors have completed the ICMJE uniform disclosure form (available at https://acr.amegroups.com/article/view/10.21037/acr-2025-71/coif). The authors have no conflicts of interest to declare.
Ethical Statement: The authors are accountable for all aspects of the work in ensuring that questions related to the accuracy or integrity of any part of the work are appropriately investigated and resolved. All procedures performed in this study were conducted in accordance with the ethical standards of the institutional and/or national research committee(s) and with the Declaration of Helsinki and its subsequent amendments. Written informed consent was obtained from the patients or their next-of-kin for the publication of this case report and accompanying images. Copies of the written consents are available for review by the editorial office of this journal.
Open Access Statement: This is an Open Access article distributed in accordance with the Creative Commons Attribution-NonCommercial-NoDerivs 4.0 International License (CC BY-NC-ND 4.0), which permits the non-commercial replication and distribution of the article with the strict proviso that no changes or edits are made and the original work is properly cited (including links to both the formal publication through the relevant DOI and the license). See: https://creativecommons.org/licenses/by-nc-nd/4.0/.
References
- Lawrence B, Gustafsson BI, Chan A, et al. The epidemiology of gastroenteropancreatic neuroendocrine tumors. Endocrinol Metab Clin North Am 2011;40:1-18. vii. [Crossref] [PubMed]
- Pellat A, Cottereau AS, Terris B, et al. Neuroendocrine Carcinomas of the Digestive Tract: What Is New? Cancers (Basel) 2021;13:3766. [Crossref] [PubMed]
- Rindi G, Klimstra DS, Abedi-Ardekani B, et al. A common classification framework for neuroendocrine neoplasms: an International Agency for Research on Cancer (IARC) and World Health Organization (WHO) expert consensus proposal. Mod Pathol 2018;31:1770-86. [Crossref] [PubMed]
- Khanna L, Prasad SR, Sunnapwar A, et al. Pancreatic Neuroendocrine Neoplasms: 2020 Update on Pathologic and Imaging Findings and Classification. Radiographics 2020;40:1240-62. [Crossref] [PubMed]
- Kim JY, Hong SM, Ro JY. Recent updates on grading and classification of neuroendocrine tumors. Ann Diagn Pathol 2017;29:11-6. [Crossref] [PubMed]
- Nagtegaal ID, Odze RD, Klimstra D, et al. The 2019 WHO classification of tumours of the digestive system. Histopathology 2020;76:182-8. [Crossref] [PubMed]
- Bakogeorgos M, Kalkanis D, Katsaounis P, et al. Small cell carcinoma of the stomach: A report of two cases and a review of the literature. Mol Clin Oncol 2018;9:11-6. [Crossref] [PubMed]
- Dasari A, Mehta K, Byers LA, et al. Comparative study of lung and extrapulmonary poorly differentiated neuroendocrine carcinomas: A SEER database analysis of 162,983 cases. Cancer 2018;124:807-15. [Crossref] [PubMed]
- Dasari A, Shen C, Halperin D, et al. Trends in the Incidence, Prevalence, and Survival Outcomes in Patients With Neuroendocrine Tumors in the United States. JAMA Oncol 2017;3:1335-42. [Crossref] [PubMed]
- Modlin IM, Oberg K, Chung DC, et al. Gastroenteropancreatic neuroendocrine tumours. Lancet Oncol 2008;9:61-72. [Crossref] [PubMed]
- Sorbye H, Strosberg J, Baudin E, et al. Gastroenteropancreatic high-grade neuroendocrine carcinoma. Cancer 2014;120:2814-23. [Crossref] [PubMed]
- Matsueda K, Uedo N, Kitamura M, et al. Endoscopic features of gastric neuroendocrine carcinoma. J Gastroenterol Hepatol 2023;38:1808-17. [Crossref] [PubMed]
- Takayanagi D, Hirose S, Kuno I, et al. Comparative Analysis of Genetic Alterations, HPV-Status, and PD-L1 Expression in Neuroendocrine Carcinomas of the Cervix. Cancers (Basel) 2021;13:1215. [Crossref] [PubMed]
- Eads JR, Halfdanarson TR, Asmis T, et al. Expert Consensus Practice Recommendations of the North American Neuroendocrine Tumor Society for the management of high grade gastroenteropancreatic and gynecologic neuroendocrine neoplasms. Endocr Relat Cancer 2023;30:e220206. [Crossref] [PubMed]
- Chen J, Wang A, Ji K, et al. Comparison of overall survival of gastric neoplasms containing neuroendocrine carcinoma components with gastric adenocarcinoma: a propensity score matching study. BMC Cancer 2020;20:777. [Crossref] [PubMed]
- La Rosa S, Marando A, Sessa F, et al. Mixed Adenoneuroendocrine Carcinomas (MANECs) of the Gastrointestinal Tract: An Update. Cancers (Basel) 2012;4:11-30. [Crossref] [PubMed]
- Brenner B, Tang LH, Shia J, et al. Small cell carcinomas of the gastrointestinal tract: clinicopathological features and treatment approach. Semin Oncol 2007;34:43-50. [Crossref] [PubMed]
Cite this article as: Dashti A, Kim HJ, Fetz A, Chu J, Farnell D, Schaeffer DF, Gan SI, Moosavi S. “Not-So-Indolent” neuroendocrine neoplasms: two case reports of gastrointestinal small cell neuroendocrine carcinomas. AME Case Rep 2025;9:154.


