Giant ectopic thyroid mass: a case report and review of the literature
Highlight box
Key findings
• A rare case of a giant ectopic thyroid mass (15 cm × 12 cm × 9 cm, 950 g) was identified in the posterior mediastinum of an asymptomatic male patient.
• The ectopic mass was anatomically separate from the cervical thyroid gland, with normal thyroid function.
• Complete surgical resection was successfully performed via right posterolateral thoracotomy, with no postoperative complications.
What is known and what is new?
• Ectopic thyroid tissue is a known but rare developmental anomaly, typically located in the base of the tongue or along the thyroglossal duct tract. Mediastinal ectopic thyroid is uncommon, and giant lesions are even rarer.
• This manuscript presents a unique case of a large posterior mediastinal ectopic thyroid discovered incidentally in an asymptomatic patient with a normally located and functioning cervical thyroid. It contributes to the limited literature on giant mediastinal ectopic thyroid tissue and highlights its potential for asymptomatic presentation despite significant size.
What is the implication, and what should change now?
• Clinicians should consider ectopic thyroid in the differential diagnosis of hypervascular mediastinal masses, especially when thyroid markers are positive.
• Preoperative imaging and biopsy remain essential for planning an appropriate surgical approach.
• Increased awareness and documentation of such rare cases can improve diagnostic accuracy and guide surgical decision-making in managing similar mediastinal lesions.
Introduction
An ectopic thyroid refers to thyroid tissue located outside its normal anatomical position, a condition that is relatively rare. Its estimated prevalence ranges from 1 in 100,000 to 300,000 in the general population and from 1 in 4,000 to 8,000 among individuals with thyroid disorders (1). The earliest documented case of an ectopic thyroid was reported by Hickman in 1869, and numerous cases have since been described in the medical literature (1,2).
While the base of the tongue is the most common site for ectopic thyroid, it can also occur in distant sites such as the mediastinum, subdiaphragmatic organs and even locations like the heart, trachea, submandibular area, lateral cervical regions, axilla, palatine tonsils, carotid bifurcation, iris of the eye, pituitary gland, ascending aorta, thymus, oesophagus, duodenum, gallbladder, stomach, pancreas, mesentery, porta hepatis, adrenal gland, ovary, fallopian tube, uterus and vagina (3). We present this article in accordance with the CARE reporting checklist (available at https://acr.amegroups.com/article/view/10.21037/acr-2025-133/rc).
Case presentation
A 39-year-old male presented with an incidental mediastinal mass discovered on a postero-anterior chest radiograph following a road traffic accident, one day prior to hospital admission. On the day of admission, a contrast-enhanced chest computed tomography (CT) scan was performed, revealing a heterogeneous, enhancing hypervascular mass in the right paratracheal region.
The patient was asymptomatic, with no respiratory distress; the only positive finding on auscultation was decreased air entry in the right hemithorax. No other significant clinical findings were noted.
The patient was electively admitted for surgical resection of the right thoracic ectopic thyroid mass. The patient was asymptomatic, with no respiratory distress. The only positive finding on auscultation was decreased air entry in the right hemithorax. No other positive physical findings.
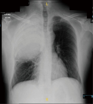
Patient was worked up pre-operatively with general labs, which included complete blood count (CBC), coagulation and thyroid function. A preoperative echocardiogram was also performed and was within normal limits. The radiograph revealed a large right upper heterogeneous opacity with mild tracheal indentation, but no mediastinal shift. The lungs appeared normal, and no obvious calcification was identified (Figure 1).
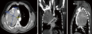
Further evaluation with an intravenous (IV) contrast-enhanced chest CT scan demonstrated a heterogeneous, enhancing hyper-vascular mediastinal mass located in the right paratracheal region.
The mass exhibited areas of cystic degeneration and calcification, along with an independent, normally located thyroid gland with a thyroid nodule (Figure 2). On the second hospital day, a CT-guided biopsy of the lesion was carried out, revealing positive immunohistochemical staining for thyroglobulin and thyroid transcription factor 1 (TTF-1), supporting a thyroid origin. Laboratory tests showed that thyroid-stimulating hormone (TSH) and serum free thyroxine (T4) levels were within normal parameters. These findings led to the diagnosis of ectopic thyroid tissue in the mediastinum. There were minimal diagnostic challenges in this case. However, due to the rarity of ectopic thyroid tissue in the mediastinum and the absence of symptoms, differential diagnoses such as lymphoma, thymic tumors, and metastatic lesions were considered. The high vascularity of the lesion also raised concern for potential biopsy-related bleeding, which was mitigated by careful image-guided biopsy. After obtaining informed consent, surgical resection was performed on the fifth hospital day via a right posterolateral thoracotomy. The patient was scheduled for surgical intervention. The procedure involved the use of a double-lumen endotracheal tube to achieve lung isolation, and the patient was positioned in the left lateral decubitus position. A right posterolateral thoracotomy was then carried out. Intraoperatively, the mass was found to be adherent to the lung parenchyma, posterior mediastinal pleura, right main bronchus, azygous and superior vena cava. The upper border of the gland lay below the 2nd rib. A complete surgical excision of the mass was achieved with the embedded azygous vein resected en-bloc, multiple arterial branches were ligated from the intercostal arteries, the patient was discharged home on postoperative day 3 (hospital day 8) and scheduled for outpatient follow-up at 2 weeks, 1 month, and 3 months postoperatively with chest X-ray.
A gross examination of the excised mass revealed an encapsulated dark red multinodular structure, measuring 15 cm × 12 cm × 9 cm with a firm consistency and weighing 950 g.
Histopathological analysis of the mass confirmed the presence of thyroid tissue (Figure 3).
The patient tolerated the surgical intervention well with no postoperative complications. He adhered to postoperative care instructions and follow-up appointments. There were no signs of infection, hematoma, or respiratory distress during recovery, indicating good tolerability.
Patient perspective
The patient provided the following reflection on his experience: “I had no idea I had this mass until the doctors found it after my accident. The surgery went well, and I felt fine afterward. I’m grateful that it was caught early and removed without any problems. I feel normal and back to work with no issues. I appreciate the team for explaining everything and helping me recover.”
Ethical consideration
All procedures performed in this study were in accordance with the ethical standards of the institutional and/or national research committee(s) and with the Helsinki Declaration and its subsequent amendments. Written informed consent was obtained from the patient for publication of this case report and accompanying images. A copy of the written consent is available for review by the editorial office of this journal.
Discussion
In humans, disruptions in thyroid gland development—known as organogenesis—can result in various abnormalities such as agenesis, ectopic positioning, and hypoplasia, collectively referred to as thyroid dysgenesis (4). Pathologies that affect the normal thyroid can also involve ectopic thyroid tissue, including malignant transformation (5).
FNAC classifies thyroid nodules by the Bethesda system. Bethesda II nodules have a low malignancy risk (~2–3%), while Bethesda III nodules carry a moderate risk (~10–30%) (6,7).
The literature describes two main types of mediastinal thyroid tissue. Primary mediastinal goiters, which are relatively rare and account for less than 1% of intrathoracic goiters (8), arise independently within the mediastinum. In contrast, secondary goiters are significantly more common and originate from downward extension of the cervical thyroid gland, maintaining their vascular supply from cervical thyroid arteries. Reported prevalence of secondary mediastinal goiters varies from 2% to 20%, largely due to inconsistent definitions and reporting criteria. While the majority of these descend into the anterior mediastinum, only about 10–15% are found in the posterior compartment (9-11).
There is no universally accepted definition for a “giant mass” in the thoracic cavity. Some studies describe it as a lesion with a long axis exceeding 10 cm, while others define it as a mass occupying more than half of the hemithorax (9). In this review, all identified cases involved masses situated within the mediastinum. These included lesions in the anterior mediastinum, the superior aspect of the anterior mediastinum, the right paratracheal region, areas posterior to the superior vena cava, and the left brachiocephalic vein, primarily located within the anterior mediastinal and prevascular compartmens.
A PubMed search utilizing three criteria was performed: type of tissue (ectopic thyroid tissue), location (mediastinum) and size (giant >10 cm). Results were limited to 4 cases, demonstrated below (Table 1). These 4 cases of giant ectopic mediastinal thyroid are typically symptomatic (3/4), seen in males (3:1) and are found to have normal TSH levels (3/4). Our belief is that symptomology is mainly related to location within the mediastinum and whether compression is occurring on any structure, rather than simply the size of the lesion.
Table 1
| Case | Age (years) | Gender | Site | Symptoms | Thyroid function | CT chest | Biopsy | Longest axis (cm) | Surgical approach | Pathology | Reference |
|---|---|---|---|---|---|---|---|---|---|---|---|
| 1 | 28 | Male | Right | Dysphagia, hoarseness | Normal | Yes | Yes | 12 | Not mentioned | Goiter | (12) |
| 2 | 35 | Female | Right | Cough, chest pain | Abnormal | Yes | Yes | 11.5 | Sternotomy with cervical extension | Goiter | (13) |
| 3 | 44 | Male | Right | Hemoptysis, orthopnea | Normal | Yes | Yes | 12 | Thoracotomy | Goiter | (8) |
| 4 | 39 | Male | Right | Asymptomatic | Normal | Yes | Yes | 15 | Thoracotomy | Goiter | Our case |
All listed cases were histopathologically confirmed as ectopic thyroid tissue. “Normal” thyroid function indicates euthyroid status based on TSH and free T4 levels. Surgical approach was determined based on mass size and mediastinal location. Giant ectopic thyroids are defined as lesions exceeding 10 cm in any dimension. Data were obtained via a targeted PubMed literature review. CT, computed tomography; T4, thyroxine; TSH, thyroid-stimulating hormone.
Surgery in this case was notable for the extensive thoracic vascular supply to the ectopic thyroid gland, which received arterial branches from the intercostal vessels and drained into the azygous vein as well as the paravertebral venous plexus. The mass was completely encased within thoracic fascia, distinguishing it from secondary mediastinal goiters, which typically descend from the cervical thyroid gland, retain their cervical vascular supply, and are enveloped by platysmal muscle fibers. A harmonic scalpel (HS) was used for dissection and haemostasis. Compared to LigaSure (LS), HS has been shown to be more effective in reducing postoperative bleeding in thyroid surgery (14).
Conclusions
In conclusion, this case highlights the incidental finding of a giant ectopic thyroid mass in the posterior mediastinum. Management required the complete surgical removal of the mass via a right posterolateral thoracotomy. This report highlights the critical role of timely identification and precise diagnostic evaluation in addressing such cases, and timely intervention in managing such rare mediastinal masses. Ectopic thyroid in the mediastinum is a rare pathology and can be associated with normal thyroid function. It should be kept as one of the differential diagnoses unless proven otherwise.
This case report contributes to the limited body of literature on giant mediastinal ectopic thyroid tissue and similar cases are warranted to enhance our understanding of giant mediastinal ectopic thyroid tissue and improve patient care.
Acknowledgments
None.
Footnote
Reporting Checklist: The authors have completed the CARE reporting checklist. Available at https://acr.amegroups.com/article/view/10.21037/acr-2025-133/rc
Peer Review File: Available at https://acr.amegroups.com/article/view/10.21037/acr-2025-133/prf
Funding: None.
Conflicts of Interest: All authors have completed the ICMJE uniform disclosure form (available at https://acr.amegroups.com/article/view/10.21037/acr-2025-133/coif). The authors have no conflicts of interest to declare.
Ethical Statement: The authors are accountable for all aspects of the work in ensuring that questions related to the accuracy or integrity of any part of the work are appropriately investigated and resolved. All procedures performed in this study were in accordance with the ethical standards of the institutional and/or national research committee(s) and with the Helsinki Declaration and its subsequent amendments. Written informed consent was obtained from the patient for publication of this case report and accompanying images. A copy of the written consent is available for review by the editorial office of this journal.
Open Access Statement: This is an Open Access article distributed in accordance with the Creative Commons Attribution-NonCommercial-NoDerivs 4.0 International License (CC BY-NC-ND 4.0), which permits the non-commercial replication and distribution of the article with the strict proviso that no changes or edits are made and the original work is properly cited (including links to both the formal publication through the relevant DOI and the license). See: https://creativecommons.org/licenses/by-nc-nd/4.0/.
References
- Verma N, Abishegam SD, Haji Ahmad ARB. Ectopic thyroid tissue presenting as an external auditory canal mass. Int J Otorhinolaryngol Head Neck Surg 2019;5:476-8.
- Santangelo G, Pellino G, De Falco N, et al. Prevalence, diagnosis and management of ectopic thyroid glands. Int J Surg 2016;28:S1-6. [Crossref] [PubMed]
- deSouza FM, Smith PE. Retrosternal goiter. J Otolaryngol 1983;12:393-6.
- De Felice M, Di Lauro R. Thyroid development and its disorders: genetics and molecular mechanisms. Endocr Rev 2004;25:722-46. [Crossref] [PubMed]
- Noussios G, Anagnostis P, Goulis DG, et al. Ectopic thyroid tissue: anatomical, clinical, and surgical implications of a rare entity. Eur J Endocrinol 2011;165:375-82. [Crossref] [PubMed]
- Mulita F, Iliopoulos F, Tsilivigkos C, et al. Cancer rate of Bethesda category II thyroid nodules. Med Glas (Zenica) 2022;19: [Crossref] [PubMed]
- Mulita F, Plachouri MK, Liolis E, et al. Patient outcomes following surgical management of thyroid nodules classified as Bethesda category III (AUS/FLUS). Endokrynol Pol 2021;72:143-4. [Crossref] [PubMed]
- Sunam GS, Öncel M, Ceran S, et al. Giant Benign Mediastinal Masses Extending into the Pleural Cavity. Surg J (N Y) 2016;2:e46-50. [Crossref] [PubMed]
- Newman E, Shaha AR. Substernal goiter. J Surg Oncol 1995;60:207-12. [Crossref] [PubMed]
- Haller A. Disputationes Anatomicae Selectae. Gottingen: Vandenhoeck; 1749.
- Klein F. Über die Austrottung verschiedener Geschwülste, besonders jener der Ohrspeicheldrüse und der Schilddrüse. J Chir Augenlleilk 1820;12:106-113.
- Chaudhry IU, Cheema AI, AlShamasi Z, et al. Hoarseness of voice, respiratory distress and dysphagia due to giant primary posterior mediastinal ectopic goitre: a rare clinical entity. BMJ Case Rep 2016;2016:bcr2016215132. [Crossref] [PubMed]
- Muzurović E, Smolović B, Miladinović M, et al. Diagnosis and treatment of mediastinal ectopic thyroid tissue with normally located thyroid gland and primary hyperparathyroidism: a case report. Gland Surg 2021;10:1532-41. [Crossref] [PubMed]
- Mulita F, Theofanis G, Verras GI, et al. Comparison of postoperative bleeding using harmonic scalpel and LigaSure in thyroid surgery: a 15-year single-centre retrospective study. Med Glas (Zenica) 2023;20:229-34. [Crossref] [PubMed]
Cite this article as: Abu-Daff SN, Hussein HS, Abass M, Shah I, Hafez B. Giant ectopic thyroid mass: a case report and review of the literature. AME Case Rep 2025;9:164.


