Diffuse pneumatosis intestinalis caused by food protein-induced enterocolitis—a case report
Highlight box
Key findings
• We report a case term baby presented with pneumatosis intestinalis (PI) caused by cow’s milk protein-associated food protein enterocolitis (FPIES).
• The PI was diffuse and managed conservatively without any long-term impacts.
What is known and what is new?
• PI is usually a sign of necrotizing enterocolitis in preterm neonates; however, it can rarely be present in older infants with different etiologies.
• FPIES is a common condition in infants but usually causes mild to moderate symptoms like diarrhea, vomiting, and dehydration, this is one of the rare cases that FPIES causes a severe PI.
What is the implication, and what should change now?
• Clinicians should be aware to the wide differential diagnosis of PI and manage these patients urgently and appropriately.
Introduction
Pneumatosis intestinalis (PI) is the presence of gas and free air in the extraluminal space of the intestines. It mainly occurs during the neonatal period and is more common among preterm neonates, with necrotizing enterocolitis (NEC) being the main etiology. However, PI can be present among term neonates, infants, children, and adults, and the differential diagnosis is wide, depending on the age of presentation (1).
One of the rare etiologies of PI is food protein-induced enterocolitis syndrome (FPIES), which is typically caused by cow’s milk protein (CMP) and typically presents between 3 and 6 months of age. FPIES is characterized by exposure to a food antigen followed by repetitive emesis with or without diarrhea (2). Infants may appear to have sepsis and occasionally may have bloody diarrhea, which can appear similar to neonatal NEC (3).
This case report describes a full-term neonate with diffuse PI secondary to a CMP allergy. We present this article in accordance with the CARE reporting checklist (available at https://acr.amegroups.com/article/view/10.21037/acr-2025-163/rc).
Case presentation
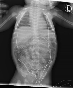
A 2-week-old female infant was admitted to the pediatric emergency department (PED) at Soroka University Medical Center (SUMC) because of a 5-day history of vomiting associated with blood in stool on the day of admission. Her prenatal history was normal, with a full-term baby, a gestational age of 38 weeks, and a standard prenatal follow-up. The delivery was spontaneous vaginal, with a birth weight of 3,030 grams. The immediate perinatal course was reported as uneventful. She was initially fed with cow’s milk-based formula, but did not gain weight. On admission, she appeared weak and apathetic; her blood pressure was 76/56 mmHg, her heart rate was 160 beats/minute, her respiratory rate was 48 per minute, and her body temperature was 36.6 ℃. Her weight was 2,600 grams. Her extremities were cold; capillary refill time was two seconds, and a cutis marmorata skin was present. She had a distended abdomen, with no signs of peritonitis or skin discoloration, and no hepatosplenomegaly; other findings were normal. Lab results showed metabolic acidosis with a wide anion gap (pH 7.33, bicarbonate 12.7, pCO2 24) and high lactate levels (6.0 mg/dL; normal values 0–1.5 mg/dL). The complete blood count results were within the normal range. Her blood chemistry results showed urea at 29mg/dL, sodium at 130 mEq/L, with normal creatinine, albumin at 3.4 mg/dL, and normal liver transaminases. A nasogastric tube was inserted, and fecal content was drained. Abdominal X-ray showed a diffuse PI without any sign of bowel perforation (shown in Figure 1).
The baby was admitted to the pediatric intensive care unit (PICU) and treated with nil per os (NPO), total parenteral nutrition (TPN), and empiric parenteral antibiotic treatment. Blood, urine, and stool cultures, as well as a stool polymerase chain reaction (PCR) for common viral and bacterial pathogens, were negative. After 2 weeks of NPO, TPN, and antibiotic treatment, the abdomen was soft, and an X-ray showed a normal gas pattern with no signs of PI or other abnormalities. An amino acid (AA)-based formula was introduced gradually without vomiting or bloody stool. She was discharged after 22 days with full oral AA formula and followed at the pediatric gastrointestinal clinic, where catch-up growth was noted without any gastrointestinal symptoms.
The patient continued a regular medical follow-up at the pediatric gastroenterology clinic at SUMC. At the age of 1 year, her growth and development are normal, and she has no gastrointestinal symptoms. She was not exposed to milk products until she was one and a half years old. At one and a half years, she underwent a skin prick test, which excluded IgE-mediated allergy, and then started a gradual exposure to milk products without any symptoms.
The parents come to all clinic visits, are cooperative, and are satisfied with the process. They are satisfied with the process their daughter has gone through since hospitalization, and now that they understand the diagnosis well and are calm.
All procedures performed in this study were in accordance with the ethical standards of the institutional research committee and with the Declaration of Helsinki and its subsequent amendments. The parents were informed that we intended to publish the case report and agreed. A copy of the written consent is available for review by the editorial office of this journal.
Discussion
The mechanism of PI is unclear. It is thought that the gas dissects into the intestinal wall from the lumen. The mechanism can include mechanical and bacterial factors that lead to mucosal integrity disruption. PI can be a manifestation of a wide spectrum of diseases, ranging from benign and self-limiting to pathological and life-threatening conditions (4).
The etiology of PI depends on the patient’s age; in the neonatal period, NEC is the leading and most common emergency cause among preterm neonates, but it has also occurred among full-term neonates. Most of these cases developed among full-term neonates who suffer from predisposing illnesses like congenital heart diseases (4,5). Preterm neonates usually suffer from more severe disease and perforation compared to full-term neonates and are more likely to require surgical interventions, vasopressors, and ventilator support (5). In a retrospective study, 167 children, ages between 3 months to 18 years old, were admitted to a quaternary children’s hospital; most of them (92.8%) had benign processes without invasive treatment, and most of the patients (75%) had a developmental delay (4).
Although PI is typically found in NEC, it can present in full-term neonates with other etiologies, including FPIES secondary to CMP allergy (6), infectious diseases, including viral and bacterial, trauma, ischemia, child abuse (4,7), and intestinal failure (8). PI can also occur among adults, and its differential diagnosis includes pulmonary diseases, autoimmune diseases like polarities nodosa, drug-induced inflammatory bowel disease, infections, and appendicitis (1).
In this case, the etiology of PI was FPIES secondary to CMP allergy; FPIES is a non-IgE-mediated food allergy with CM being one of the most commonly reported triggers. The estimated cumulative incidence rates in the United States, Israel, Australia, and Spain range from 0.015% to 0.7% (9). The treatment for this condition is an extensive hydrolysate formula for mild to moderate disease and an AA formula for severe cases (9). The prognosis is good, with most infants achieving tolerance to the responsible food trigger by 12 months of age (10), and the mean age of tolerance, according to some studies, is 12.49±5.50 months (11).
The baby in this case report was presented with PI secondary to FPIES due to CMP, which is strengthened by the fact that the baby did not gain weight under cow’s milk-based formula and did not eat it well, also, started to improve after the accepted treatment for CMP, which included AA formula, and also the fact that she began to tolerate a dairy-based diet after the age of 1 year old (6).
Conclusions
In this case, we present a full-term healthy neonate who presented with late-onset diffuse PI with fecal emesis, without any evidence of infection; the patient’s history and social worker weren’t impressed with child abuse, and there were no risk factors for late-onset NEC. The working diagnosis was PI secondary to CMP allergy, which was managed successfully conservatively without any invasive procedure despite the impressive abdominal X-ray findings and her presenting symptoms.
Although PI is mainly present in preterm infants as a sign of NEC, it can be present in full-term neonates and beyond the neonatal period and can be managed without invasive procedures.
Acknowledgments
None.
Footnote
Reporting Checklist: The authors have completed the CARE reporting checklist. Available at https://acr.amegroups.com/article/view/10.21037/acr-2025-163/rc
Peer Review File: Available at https://acr.amegroups.com/article/view/10.21037/acr-2025-163/prf
Funding: None.
Conflicts of Interest: All authors have completed the ICMJE uniform disclosure form (available at https://acr.amegroups.com/article/view/10.21037/acr-2025-163/coif). The authors have no conflicts of interest to declare.
Ethical Statement: The authors are accountable for all aspects of the work in ensuring that questions related to the accuracy or integrity of any part of the work are appropriately investigated and resolved. All procedures performed in this study were in accordance with the ethical standards of the institutional research committee and with the Declaration of Helsinki and its subsequent amendments. The parents were informed that we intended to publish the case report and agreed. A copy of the written consent is available for review by the editorial office of this journal.
Open Access Statement: This is an Open Access article distributed in accordance with the Creative Commons Attribution-NonCommercial-NoDerivs 4.0 International License (CC BY-NC-ND 4.0), which permits the non-commercial replication and distribution of the article with the strict proviso that no changes or edits are made and the original work is properly cited (including links to both the formal publication through the relevant DOI and the license). See: https://creativecommons.org/licenses/by-nc-nd/4.0/.
References
- Im J, Anjum F. Pneumatosis Intestinalis. In: StatPearls. Treasure Island (FL): StatPearls Publishing; April 27, 2023.
- Burris AD, Burris J, Järvinen KM. Cow's Milk Protein Allergy in Term and Preterm Infants: Clinical Manifestations, Immunologic Pathophysiology, and Management Strategies. Neoreviews 2020;21:e795-e808. [Crossref] [PubMed]
- Powell GK. Enterocolitis in low-birth-weight infants associated with milk and soy protein intolerance. J Pediatr 1976;88:840-4. [Crossref] [PubMed]
- Abramov A, Luks VL, De Bie F, et al. Pneumatosis intestinalis in children beyond the neonatal period: is it always benign? Pediatr Surg Int 2022;38:399-407. [Crossref] [PubMed]
- Overman RE Jr, Criss CN, Gadepalli SK. Necrotizing enterocolitis in term neonates: A different disease process? J Pediatr Surg 2019;54:1143-6. [Crossref] [PubMed]
- Narumoto S, Sakamoto S, Uchida H, et al. Necrotizing enterocolitis in the setting of milk allergy after pediatric living donor liver transplantation. Pediatr Transplant 2018;
- Lee EP, Lin JJ, Hsia SH, et al. Occult child abuse presenting as pneumatosis intestinalis and portomesenteric venous gas - a case report. BMC Pediatr 2019;19:21. [Crossref] [PubMed]
- Reppucci ML, Nolan MM, Cooper E, et al. Pneumatosis Intestinalis in Children With Intestinal Failure: The Result of Intestinal Stress From Enteral Feeding?. J Pediatr Gastroenterol Nutr 2023;76:560-5. [Crossref] [PubMed]
- Vandenplas Y, Broekaert I, Domellöf M, et al. An ESPGHAN Position Paper on the Diagnosis, Management, and Prevention of Cow's Milk Allergy. J Pediatr Gastroenterol Nutr 2024;78:386-413. [Crossref] [PubMed]
- Cook VE, Connors LA, Vander Leek TK, et al. Non-immunoglobulin E-mediated food allergy. Allergy Asthma Clin Immunol 2024;20:70. [Crossref] [PubMed]
- Senocak N, Ertugrul A, Ozmen S, et al. Clinical Features and Clinical Course of Food Protein-Induced Allergic Proctocolitis: 10-Year Experience of a Tertiary Medical Center. J Allergy Clin Immunol Pract 2022;10:1608-13. [Crossref] [PubMed]
Cite this article as: Nassar R, Rochwerger KB, Hazan R, Lazar I, Assi Z, Ling G, Yerushalmi B. Diffuse pneumatosis intestinalis caused by food protein-induced enterocolitis—a case report. AME Case Rep 2025;9:165.


